| UNIPROT | P12268 |
| Иммуноген | Синтетический пептид, соответствующий human IMPDH2 |
IMPDH2 Recombinant Rabbit mAb (ARM2256)
Реактивность подтвержденная:
человек, мышь, крыса
Источник (хозяин):
кролик
Валидировано для:
FCM
IHC
IP
WB
IF
ICC
Характеристики
Техническое описание
| Каталожный номер | ARM2256 |
| Название антигена | Inosine 5"-Monophosphate Dehydrogenase 2 (IMPDH2) |
| UNIPROT | P12268 |
| Иммуноген | Синтетический пептид, соответствующий human IMPDH2 |
| Английские синонимы | IMPD2 |
Реактивность подтвержденная Нужна другая реактивность? |
человек, мышь, крыса |
| Источник (хозяин) | кролик |
| Изотип | IgG |
| Клональность | моноклональное |
| Рекомбинантное | да |
| Готовое к использованию | нет |
| Концентрация | 1 мг/мл |
| Конъюгат | По запросу: HRP, biotin, Cy3, Cy5, APC, AF488, AF594, AF405 |
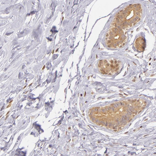
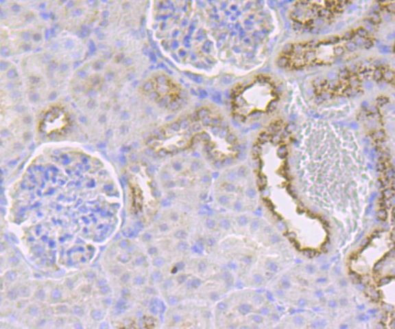
| Валидировано для | FCM IHC IP WB IF ICC Проточная цитометрия; Иммуногистохимия; Иммунопреципитация; Вестерн-блоттинг; Иммунофлуоресценция; Иммуноцитохимия |
| Рекомендуемые разведения | WB 1:500~1:2000; IHC 1:50~1:200; IF/ICC 1:50~1:200; FCM 1:50; IP 1:50 |
| Метод очистки | Антигенспецифическая аффинная хроматография |
| Состав буфера | 50 нмоль Tris-Glycine(pH 7.4); 0.15M NaCl; 40% глицерин; 0.01% азид натрия и 0.05% БСА |
| Условия доставки | термобокс с аккумуляторами холода |
| Условия хранения | Сразу после получения аликвотировать и хранить при -20ºС до 12 месяцев с момента получения. Избегать повторения циклов замерзания/оттаивания |
| Срок хранения | 12 месяцев |
| Производитель | AssayVector |
|
Артикул
|
Наименование |
Производитель
|
|---|
|
Артикул
|
Наименование |
Производитель
|
|---|
Акции и предложения
Популярные продукты:
XRCC1 Mouse Monoclonal Antibody (BF8324)
Источник (хозяин): мышь
Реактивность подтвержденная: человек, мышь, крыса
Валидировано для: WB
Реактивность подтвержденная: человек, мышь, крыса
Валидировано для: WB
ELISA Kit for Meteorin (METRN) (SEH662Hu)
Организм: человек
Диапазон определения: 0.156-10 нг/мл
Чувствительность: 0.55 нг/мл
Диапазон определения: 0.156-10 нг/мл
Чувствительность: 0.55 нг/мл
Human Protein dachsous homolog 2 ELISA kit (E01D0585)
Организм: человек
Диапазон определения: 25 нг/мл
Диапазон определения: 25 нг/мл
Guinea Pig S100 Calcium Binding Protein A9 ELISA kit (E05S0039)
Организм: морская свинка
Canine Anti Methylglyoxal Antibody ELISA kit (E08A0426)
Организм: собака

