| UNIPROT | P14902 |
| Иммуноген | Рекомбинантный белок human Indoleamine 2;3-dioxygenase |
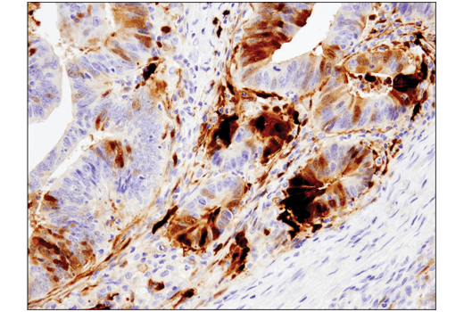
Indoleamine 2;3-dioxygenase Recombinant Rabbit mAb (ARM1432)
Реактивность подтвержденная:
человек
Источник (хозяин):
кролик
Валидировано для:
FCM
IHC
IP
WB
IF
ICC
Характеристики
Техническое описание
| Каталожный номер | ARM1432 |
| Название антигена | Indoleamine-2,3-Dioxygenase (IDO) |
| UNIPROT | P14902 |
| Иммуноген | Рекомбинантный белок human Indoleamine 2;3-dioxygenase |
| Английские синонимы | CD107B, CD 107B, CD-107B, INDO, Indoleamine-Pyrrole 2,3 Dioxygenase |
Реактивность подтвержденная Нужна другая реактивность? |
человек |
| Источник (хозяин) | кролик |
| Изотип | IgG |
| Клональность | моноклональное |
| Рекомбинантное | да |
| Готовое к использованию | нет |
| Концентрация | 1 мг/мл |
| Конъюгат | По запросу: HRP, biotin, Cy3, Cy5, APC, AF488, AF594, AF405 |
| Валидировано для | FCM IHC IP WB IF ICC Проточная цитометрия; Иммуногистохимия; Иммунопреципитация; Вестерн-блоттинг; Иммунофлуоресценция; Иммуноцитохимия |
| Рекомендуемые разведения | WB 1:500~1:2000; IHC 1:50~1:200; IF/ICC 1:50~1:200; FCM 1:50; IP 1:50 |
| Метод очистки | Антигенспецифическая аффинная хроматография |
| Состав буфера | 50 нмоль Tris-Glycine(pH 7.4); 0.15M NaCl; 40% глицерин; 0.01% азид натрия и 0.05% БСА |
| Условия доставки | термобокс с аккумуляторами холода |
| Условия хранения | Сразу после получения аликвотировать и хранить при -20ºС до 12 месяцев с момента получения. Избегать повторения циклов замерзания/оттаивания |
| Срок хранения | 12 месяцев |
| Производитель | AssayVector |
|
Артикул
|
Наименование |
Производитель
|
|---|
|
Артикул
|
Наименование |
Производитель
|
|---|
|
Артикул
|
Наименование |
Производитель
|
|---|
|
Артикул
|
Наименование |
Производитель
|
|---|
Акции и предложения
Популярные продукты:
Sheep SET domain containing 1B ELISA kit (E14S0800)
Организм: овца
Mouse Cadherin 23(CDH23) ELISA kit (E03C1543)
Организм: мышь
Monkey Cytochrome P450 26B1(CYP26B1) ELISA kit (E09C2231)
Организм: обезьяна

