| UNIPROT | Q9NXV2 |
| Иммуноген | Синтетический пептид, соответствующий human KCTD5 на N-конце |
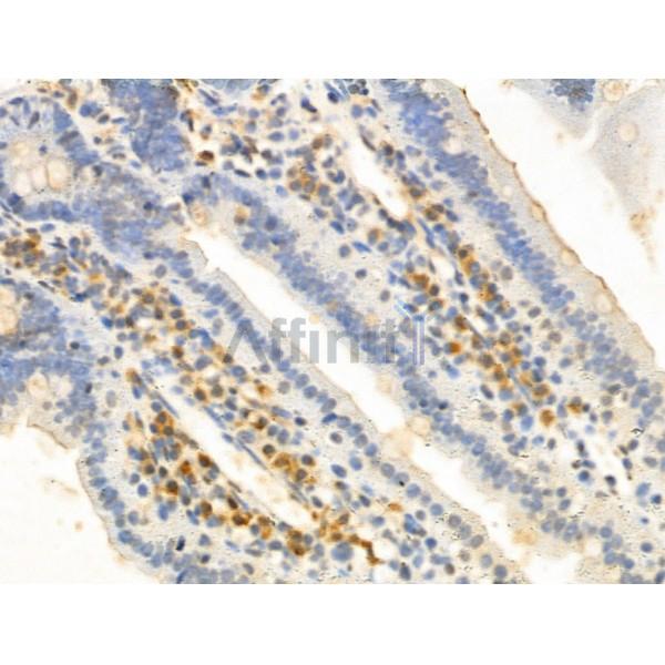
KCTD5 Antibody (DF13105)
Реактивность подтвержденная:
человек, мышь, крыса
Источник (хозяин):
кролик
Валидировано для:
IHC
WB
IF
ICC
Характеристики
Техническое описание
| Каталожный номер | DF13105 |
| Название антигена | Potassium Channel Tetramerisation Domain Containing Protein 5 (KCTD5) |
| UNIPROT | Q9NXV2 |
| Иммуноген | Синтетический пептид, соответствующий human KCTD5 на N-конце |
| Английские синонимы | BTB/POZ domain-containing protein KCTD5 |
Реактивность подтвержденная Нужна другая реактивность? |
человек, мышь, крыса |
| Реактивность предсказываемая | свинья, корова, овца, кролик, собака |
| Источник (хозяин) | кролик |
| Изотип | IgG |
| Клональность | поликлональное |
| Рекомбинантное | нет |
| Готовое к использованию | нет |
| Концентрация | 1 мг/мл |
| Конъюгат | нет |
| Валидировано для | IHC WB IF ICC Иммуногистохимия; Вестерн-блоттинг; Иммунофлуоресценция; Иммуноцитохимия |
| Рекомендуемые разведения | WB: 1:500-1:2000; IF/ICC: 1:100-1:500; IHC: 1:50-1:200; Оптимальное разведение определяется конечным потребителем |
| Метод очистки | Антисыворотку очищали методом аффинной хроматографии пептидов с использованием связывающей смолы SulfoLink® (Thermo Fisher Scientific) |
| Состав буфера | Rabbit IgG в PBS; pH 7.4; 150mM NaCl; 0.02% азид натрия и 50% глицерин |
| RRID | AB_2846065 |
| Условия доставки | Термобокс с аккумуляторами холода |
| Условия хранения | Хранить при -20ºС. Стабилен 12 месяцев с даты получения |
| Срок хранения | 12 месяцев |
| Производитель | Affinity |
| Ссылка на страницу товара на сайте производителя | https://www.affbiotech.com/goods-16415-DF13105-KCTD5_Antibody.html |
Акции и предложения
Популярные продукты:
Anti-Kv1.1 K+ channel Antibody (K20/78) (RHG20601)
Источник (хозяин): мышь
Реактивность подтвержденная: для всех
Валидировано для: IHC, WB
Реактивность подтвержденная: для всех
Валидировано для: IHC, WB
ADGRB1 Polyclonal Antibody (E-AB-13084)
Источник (хозяин): кролик
Реактивность подтвержденная: человек, мышь, крыса
Валидировано для: IHC
Реактивность подтвержденная: человек, мышь, крыса
Валидировано для: IHC
PTGIS Antibody (DF4745)
Источник (хозяин): кролик
Реактивность подтвержденная: человек, мышь, крыса
Валидировано для: IHC, WB, IF, ICC
Реактивность подтвержденная: человек, мышь, крыса
Валидировано для: IHC, WB, IF, ICC
KCTD5 Antibody (DF13105)
Источник (хозяин): кролик
Реактивность подтвержденная: человек, мышь, крыса
Валидировано для: IHC, WB, IF, ICC
Реактивность подтвержденная: человек, мышь, крыса
Валидировано для: IHC, WB, IF, ICC
Multiplex Assay Kit for Von Willebrand Factor (vWF) (LMA833Ra)
Организм: крыса
Диапазон определения: 0.98-1000 нг/мл
Чувствительность: 0.327 нг/мл
Диапазон определения: 0.98-1000 нг/мл
Чувствительность: 0.327 нг/мл

