| UNIPROT | Q7LBC6 |
| Иммуноген | Рекомбинантный белок, соответствующий человеческому KDM3B |
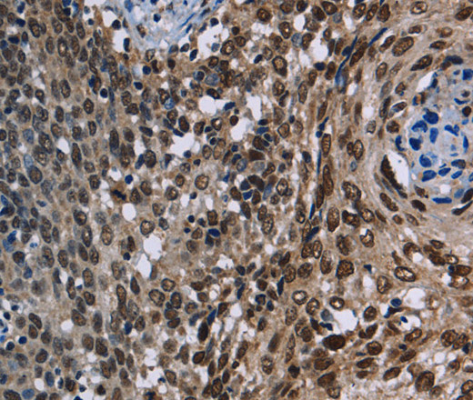
KDM3B Polyclonal Antibody (E-AB-11339)
Реактивность подтвержденная:
человек, мышь
Источник (хозяин):
кролик
Валидировано для:
IHC
WB
Характеристики
Техническое описание
| Каталожный номер | E-AB-11339 |
| Название антигена | Lysine Specific Demethylase 3B (KDM3B) |
| UNIPROT | Q7LBC6 |
| Иммуноген | Рекомбинантный белок, соответствующий человеческому KDM3B |
| Английские синонимы | JMJD1B, NET22, C5orf7, Jumonji Domain Containing 1B, •, Nuclear protein 5qNCA, JmjC domain-containing histone demethylation protein 2B |
Реактивность подтвержденная Нужна другая реактивность? |
человек, мышь |
| Источник (хозяин) | кролик |
| Изотип | IgG |
| Клональность | поликлональное |
| Рекомбинантное | нет |
| Готовое к использованию | нет |
| Концентрация | 0.4 мг/мл |
| Конъюгат | нет |
| Валидировано для | IHC WB Иммуногистохимия; Вестерн-блоттинг |
| Рекомендуемые разведения | WB 1:1000-1:5000; IHC 1:50-1:200 |
| Метод очистки | Аффинная хроматография |
| Состав буфера | PBS с 0.05% азид натрия и 50% глицерин, PH7.4 |
| RRID | AB_531479 |
| Условия доставки | термобокс с аккумуляторами холода |
| Условия хранения | Хранить при -20°C - 12 месяцев. Избегать повторяющихся циклов замораживания/оттаивания |
| Срок хранения | 12 месяцев |
| Производитель | Elabscience |
| Ссылка на страницу товара на сайте производителя | https://www.elabscience.com/p-kdm3b_polyclonal_antibody-e_ab_11339 |
|
Артикул
|
Наименование |
Производитель
|
|---|
|
Артикул
|
Наименование |
Производитель
|
|---|
Акции и предложения
Популярные продукты:
ELISA Kit DIY Materials for Involucrin (INV) (KSB331Hu01)
Организм: человек
Диапазон определения: 0.312-20 нг/мл
Чувствительность: 0.121 нг/мл
Диапазон определения: 0.312-20 нг/мл
Чувствительность: 0.121 нг/мл
Human Cluster Of Differentiation 109 ELISA kit (E01C0311)
Организм: человек
Диапазон определения: 2.5-50 нг/мл
Чувствительность: 0.1 нг/мл
Диапазон определения: 2.5-50 нг/мл
Чувствительность: 0.1 нг/мл
FITC Anti-Mouse CD106 Antibody[M/K-2.7] (FCE2204)
Источник (хозяин): крыса
Реактивность подтвержденная: мышь
Валидировано для: FCM
Реактивность подтвержденная: мышь
Валидировано для: FCM
SARS-CoV-2 Surrogate Virus Neutralization Test Kit (Omicron) (KVV99902)
Организм: вирусы
Диапазон определения: 0.156 - 10 мкг/мл
Чувствительность: 78.1 нг/мл
Диапазон определения: 0.156 - 10 мкг/мл
Чувствительность: 78.1 нг/мл
Anti-INHBA Antibody (R3A86) (RHC33105)
Источник (хозяин): мышь
Реактивность подтвержденная: человек
Валидировано для: WB
Реактивность подтвержденная: человек
Валидировано для: WB

