| UNIPROT | Q8TEK3 |
| Иммуноген | Рекомбинантный белок human KMT4/Dot1L |
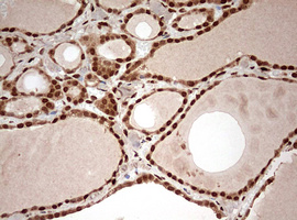
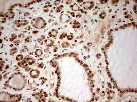
KMT4 Recombinant Rabbit mAb (ARM2152)
Реактивность подтвержденная:
человек, мышь, крыса
Источник (хозяин):
кролик
Валидировано для:
IHC
WB
Характеристики
Техническое описание
| Каталожный номер | ARM2152 |
| Название антигена | DOT1 Like, Histone H3 Methyltransferase (DOT1L) |
| UNIPROT | Q8TEK3 |
| Иммуноген | Рекомбинантный белок human KMT4/Dot1L |
| Английские синонимы | DOT1, KMT4, Histone-lysine N-methyltransferase, H3 lysine-79 specific, Histone H3-K79 methyltransferase, Lysine N-methyltransferase 4 |
Реактивность подтвержденная Нужна другая реактивность? |
человек, мышь, крыса |
| Источник (хозяин) | кролик |
| Изотип | IgG |
| Клональность | моноклональное |
| Рекомбинантное | да |
| Готовое к использованию | нет |
| Концентрация | 1 мг/мл |
| Конъюгат | По запросу: HRP, biotin, Cy3, Cy5, APC, AF488, AF594, AF405 |
| Валидировано для | IHC WB Иммуногистохимия; Вестерн-блоттинг |
| Рекомендуемые разведения | WB 1:500~1:2000; IHC 1:50~1:200 |
| Метод очистки | Антигенспецифическая аффинная хроматография |
| Состав буфера | 50 нмоль Tris-Glycine(pH 7.4); 0.15M NaCl; 40% глицерин; 0.01% азид натрия и 0.05% БСА |
| Условия доставки | термобокс с аккумуляторами холода |
| Условия хранения | Сразу после получения аликвотировать и хранить при -20ºС до 12 месяцев с момента получения. Избегать повторения циклов замерзания/оттаивания |
| Срок хранения | 12 месяцев |
| Производитель | AssayVector |
|
Артикул
|
Наименование |
Производитель
|
|---|
|
Артикул
|
Наименование |
Производитель
|
|---|
|
Артикул
|
Наименование |
Производитель
|
|---|
|
Артикул
|
Наименование |
Производитель
|
|---|
Акции и предложения
Популярные продукты:
Anti-Inter Alpha-Globulin Inhibitor H4 (ITIH4) Polyclonal Antibody (FAH776Hu01)
Источник (хозяин): кролик
Реактивность подтвержденная: человек
Валидировано для: FCM
Реактивность подтвержденная: человек
Валидировано для: FCM
Canine Vasohibin 1 ELISA kit (E08V0412)
Организм: собака
Monkey Dynamin 1 ELISA kit (E09D0247)
Организм: обезьяна
Anti-Mouse CD163 Polyclonal Antibody (PMJ16301)
Источник (хозяин): кролик
Реактивность подтвержденная: мышь
Валидировано для: ELISA, IHC, WB
Реактивность подтвержденная: мышь
Валидировано для: ELISA, IHC, WB
Anti-CD106/VCAM1 Polyclonal Antibody (PHD33101)
Источник (хозяин): кролик
Реактивность подтвержденная: человек
Валидировано для: ELISA, IHC, WB
Реактивность подтвержденная: человек
Валидировано для: ELISA, IHC, WB

