| UNIPROT | Q13751 |
| Иммуноген | Синтетический пептид, соответствующий human LAMB3 во внутренней части белка |
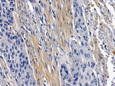
LAMB3 Antibody (DF2381)
Реактивность подтвержденная:
человек, мышь
Источник (хозяин):
кролик
Валидировано для:
IHC
WB
IF
ICC
Характеристики
Техническое описание
| Каталожный номер | DF2381 |
| Название антигена | Laminin Beta 3 (LAMb3) |
| UNIPROT | Q13751 |
| Иммуноген | Синтетический пептид, соответствующий human LAMB3 во внутренней части белка |
| Английские синонимы | LAM-B3, LAMNB1, Nicein subunit beta, Kalinin subunit beta, Epiligrin subunit beta, Laminin B1k chain, Laminin-5 subunit beta |
Реактивность подтвержденная Нужна другая реактивность? |
человек, мышь |
| Реактивность предсказываемая | свинья, корова, овца, кролик, собака |
| Источник (хозяин) | кролик |
| Изотип | IgG |
| Клональность | поликлональное |
| Рекомбинантное | нет |
| Готовое к использованию | нет |
| Концентрация | 1 мг/мл |
| Конъюгат | нет |
| Валидировано для | IHC WB IF ICC Иммуногистохимия; Вестерн-блоттинг; Иммунофлуоресценция; Иммуноцитохимия |
| Рекомендуемые разведения | IHC: 1:50-1:200; WB: 1:500-1:2000; IF/ICC: 1:100-1:500; Оптимальное разведение определяется конечным потребителем |
| Метод очистки | Антисыворотку очищали методом аффинной хроматографии пептидов с использованием связывающей смолы SulfoLink® (Thermo Fisher Scientific) |
| Состав буфера | Rabbit IgG в PBS; pH 7.4; 150mM NaCl; 0.02% азид натрия и 50% глицерин |
| RRID | AB_2839589 |
| Условия доставки | Термобокс с аккумуляторами холода |
| Условия хранения | Хранить при -20ºС. Стабилен 12 месяцев с даты получения |
| Срок хранения | 12 месяцев |
| Производитель | Affinity |
| Ссылка на страницу товара на сайте производителя | https://www.affbiotech.com/goods-6462-DF2381-LAMB3_Antibody.html |
|
Артикул
|
Наименование |
Производитель
|
|---|
|
Артикул
|
Наименование |
Производитель
|
|---|
|
Артикул
|
Наименование |
Производитель
|
|---|
Акции и предложения
Популярные продукты:
Anti-REG3G Polyclonal Antibody (PHJ08501)
Источник (хозяин): кролик
Реактивность подтвержденная: человек
Валидировано для: ELISA, IHC, WB
Реактивность подтвержденная: человек
Валидировано для: ELISA, IHC, WB
RASSF2 Recombinant Rabbit mAb (ARM1229)
Источник (хозяин): кролик
Реактивность подтвержденная: человек
Валидировано для: WB
Реактивность подтвержденная: человек
Валидировано для: WB
Caspase 9 Antibody (DF7048)
Источник (хозяин): кролик
Реактивность подтвержденная: человек, мышь, крыса
Валидировано для: WB, IF, ICC
Реактивность подтвержденная: человек, мышь, крыса
Валидировано для: WB, IF, ICC
LAMB3 Antibody (DF2381)
Источник (хозяин): кролик
Реактивность подтвержденная: человек, мышь
Валидировано для: IHC, WB, IF, ICC
Реактивность подтвержденная: человек, мышь
Валидировано для: IHC, WB, IF, ICC
ELISA Kit for Salusin Beta (SALb) (RC026C-Mu)
Организм: мышь
Диапазон определения: 4.94-400 пг/мл
Чувствительность: 1.82 пг/мл
Диапазон определения: 4.94-400 пг/мл
Чувствительность: 1.82 пг/мл
ELISA Kit for Chemokine C-C-Motif Ligand 1 (CCL1) (SEB132Hu)
Организм: человек
Диапазон определения: 78-5000 пг/мл
Чувствительность: 30 пг/мл
Диапазон определения: 78-5000 пг/мл
Чувствительность: 30 пг/мл

