| UNIPROT | P11279 |
| Иммуноген | Синтетический пептид, соответствующий human LAMP1 |
LAMP1 Recombinant Rabbit mAb (ARM2634)
Реактивность подтвержденная:
человек
Источник (хозяин):
кролик
Валидировано для:
IHC
WB
Характеристики
Техническое описание
| Каталожный номер | ARM2634 |
| Название антигена | Lysosomal Associated Membrane Protein 1 (LAMP1) |
| UNIPROT | P11279 |
| Иммуноген | Синтетический пептид, соответствующий human LAMP1 |
| Английские синонимы | CD107-A, CD107a, CD 107a, CD-107a, LAMPA, LGP120, Lysosome-associated membrane protein 1, CD107 antigen-like family member A |
| Русские синонимы | Кластер дифференцировки 107А |
Реактивность подтвержденная Нужна другая реактивность? |
человек |
| Источник (хозяин) | кролик |
| Изотип | IgG |
| Клональность | моноклональное |
| Рекомбинантное | да |
| Готовое к использованию | нет |
| Концентрация | 1 мг/мл |
| Конъюгат | По запросу: HRP, biotin, Cy3, Cy5, APC, AF488, AF594, AF405 |
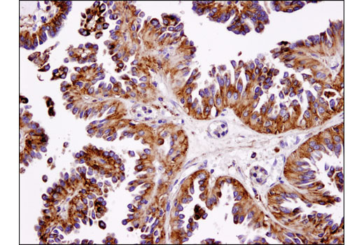
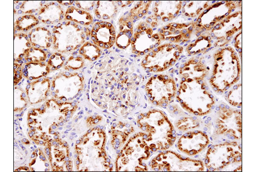
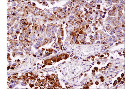
| Валидировано для | IHC WB Иммуногистохимия; Вестерн-блоттинг |
| Рекомендуемые разведения | WB 1:500~1:2000; IHC 1:50~1:200 |
| Метод очистки | Антигенспецифическая аффинная хроматография |
| Состав буфера | 50 нмоль Tris-Glycine(pH 7.4); 0.15M NaCl; 40% глицерин; 0.01% азид натрия и 0.05% БСА |
| Условия доставки | термобокс с аккумуляторами холода |
| Условия хранения | Сразу после получения аликвотировать и хранить при -20ºС до 12 месяцев с момента получения. Избегать повторения циклов замерзания/оттаивания |
| Срок хранения | 12 месяцев |
| Производитель | AssayVector |
|
Артикул
|
Наименование |
Производитель
|
|---|
|
Артикул
|
Наименование |
Производитель
|
|---|
|
Артикул
|
Наименование |
Производитель
|
|---|
|
Артикул
|
Наименование |
Производитель
|
|---|
Акции и предложения
Популярные продукты:
FOLR3 Mouse Monoclonal Antibody (BF8896)
Источник (хозяин): мышь
Реактивность подтвержденная: человек
Валидировано для: WB
Реактивность подтвержденная: человек
Валидировано для: WB
CYP1B1 Mouse Monoclonal Antibody (BF8078)
Источник (хозяин): мышь
Реактивность подтвержденная: человек, мышь
Валидировано для: WB
Реактивность подтвержденная: человек, мышь
Валидировано для: WB
Anti-Influenza A virus (H5N1) HA/Hemagglutinin Antibody (D04) (VVV03811)
Источник (хозяин): человек
Реактивность подтвержденная: вирусы
Валидировано для: ELISA, NEUT
Реактивность подтвержденная: вирусы
Валидировано для: ELISA, NEUT
Goat Claspin(CLSPN) ELISA kit (E06C1815)
Организм: коза
Goat Advillin(AVIL) ELISA kit (E06A1778)
Организм: коза

