| UNIPROT | Q9H492 |
| Иммуноген | Синтетический пептид, соответствующий human MAP1LC3A |
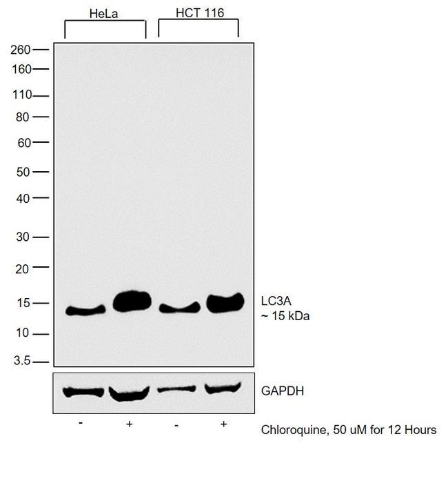
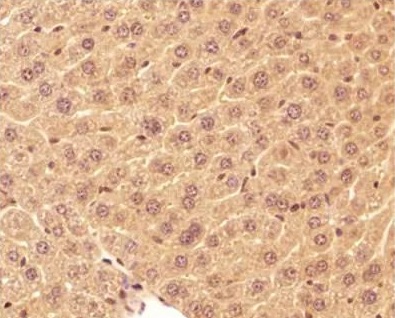
LC3A Recombinant Rabbit mAb (ARM2313)
Реактивность подтвержденная:
человек, мышь, крыса
Источник (хозяин):
кролик
Валидировано для:
IHC
IP
WB
IF
ICC
Характеристики
Техническое описание
| Каталожный номер | ARM2313 |
| Название антигена | Microtubule Associated Protein 1 Light Chain 3 Alpha (MAP1LC3a) |
| UNIPROT | Q9H492 |
| Иммуноген | Синтетический пептид, соответствующий human MAP1LC3A |
| Английские синонимы | MAP1ALC3, MAP1BLC3, LC3, LC3A, ATG8E, Autophagy-related ubiquitin-like modifier LC3 A, MAP1 light chain 3-like protein 1 |
Реактивность подтвержденная Нужна другая реактивность? |
человек, мышь, крыса |
| Источник (хозяин) | кролик |
| Изотип | IgG |
| Клональность | моноклональное |
| Рекомбинантное | да |
| Готовое к использованию | нет |
| Концентрация | 1 мг/мл |
| Конъюгат | По запросу: HRP, biotin, Cy3, Cy5, APC, AF488, AF594, AF405 |
| Валидировано для | IHC IP WB IF ICC Иммуногистохимия; Иммунопреципитация; Вестерн-блоттинг; Иммунофлуоресценция; Иммуноцитохимия |
| Рекомендуемые разведения | WB 1:500~1:2000; IHC 1:50~1:200; IF/ICC 1:50~1:200; IP 1:50 |
| Метод очистки | Антигенспецифическая аффинная хроматография |
| Состав буфера | 50 нмоль Tris-Glycine(pH 7.4); 0.15M NaCl; 40% глицерин; 0.01% азид натрия и 0.05% БСА |
| Условия доставки | термобокс с аккумуляторами холода |
| Условия хранения | Сразу после получения аликвотировать и хранить при -20ºС до 12 месяцев с момента получения. Избегать повторения циклов замерзания/оттаивания |
| Срок хранения | 12 месяцев |
| Производитель | AssayVector |
|
Артикул
|
Наименование |
Производитель
|
|---|
|
Артикул
|
Наименование |
Производитель
|
|---|
|
Артикул
|
Наименование |
Производитель
|
|---|
|
Артикул
|
Наименование |
Производитель
|
|---|
|
Артикул
|
Наименование |
Производитель
|
|---|
Акции и предложения
Популярные продукты:
ARHGAP42 Mouse Monoclonal Antibody (BF8862)
Источник (хозяин): мышь
Реактивность подтвержденная: человек
Валидировано для: WB
Реактивность подтвержденная: человек
Валидировано для: WB
GSTP1 Mouse Monoclonal Antibody (BF9405)
Источник (хозяин): мышь
Реактивность подтвержденная: человек
Валидировано для: WB
Реактивность подтвержденная: человек
Валидировано для: WB
ELISA Kit DIY Materials for Cluster Of Differentiation 1a (CD1a) (KSB175Hu01)
Организм: человек
Диапазон определения: 0.156-10 нг/мл
Чувствительность: 0.054 нг/мл
Диапазон определения: 0.156-10 нг/мл
Чувствительность: 0.054 нг/мл
Sheep Caprin 1(CAPRIN1) ELISA kit (E14C1368)
Организм: овца
Monkey Ubiquitin-specific protease 14 ELISA kit (E09U0092)
Организм: обезьяна

