| UNIPROT | P09622 |
| Иммуноген | Синтетический пептид, соответствующий human Lipoamide Dehydrogenase |
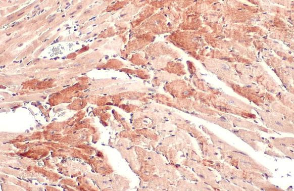
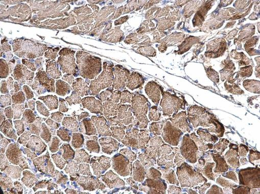
Lipoamide Dehydrogenase Recombinant Rabbit mAb (ARM1085)
Реактивность подтвержденная:
человек, мышь, крыса
Источник (хозяин):
кролик
Валидировано для:
IHC
WB
IF
ICC
Характеристики
Техническое описание
| Каталожный номер | ARM1085 |
| Название антигена | Dihydrolipoyl Dehydrogenase (DLD) |
| UNIPROT | P09622 |
| Иммуноген | Синтетический пептид, соответствующий human Lipoamide Dehydrogenase |
| Английские синонимы | LAD, GCSL, Dihydrolipoamide Dehydrogenase, E3 Component Of Pyruvate Dehydrogenase Complex, 2-Oxo-Glutarate Complex, Branched Chain Keto Acid Dehydrogenase Complex |
Реактивность подтвержденная Нужна другая реактивность? |
человек, мышь, крыса |
| Источник (хозяин) | кролик |
| Изотип | IgG |
| Клональность | моноклональное |
| Рекомбинантное | да |
| Готовое к использованию | нет |
| Концентрация | 1 мг/мл |
| Конъюгат | По запросу: HRP, biotin, Cy3, Cy5, APC, AF488, AF594, AF405 |
| Валидировано для | IHC WB IF ICC Иммуногистохимия; Вестерн-блоттинг; Иммунофлуоресценция; Иммуноцитохимия |
| Рекомендуемые разведения | WB 1:500~1:2000; IHC 1:50~1:200; IF/ICC 1:50~1:200 |
| Метод очистки | Антигенспецифическая аффинная хроматография |
| Состав буфера | 50 нмоль Tris-Glycine(pH 7.4); 0.15M NaCl; 40% глицерин; 0.01% азид натрия и 0.05% БСА |
| Условия доставки | термобокс с аккумуляторами холода |
| Условия хранения | Сразу после получения аликвотировать и хранить при -20ºС до 12 месяцев с момента получения. Избегать повторения циклов замерзания/оттаивания |
| Срок хранения | 12 месяцев |
| Производитель | AssayVector |
|
Артикул
|
Наименование |
Производитель
|
|---|
|
Артикул
|
Наименование |
Производитель
|
|---|
|
Артикул
|
Наименование |
Производитель
|
|---|
|
Артикул
|
Наименование |
Производитель
|
|---|
Акции и предложения
Популярные продукты:
Anti-Human CD22 Antibody (HB227) (FHD38540)
Источник (хозяин): мышь
Реактивность подтвержденная: человек
Валидировано для: ELISA, FCM
Реактивность подтвержденная: человек
Валидировано для: ELISA, FCM
Sheep Phosphatidylethanol ELISA kit (E14P1129)
Организм: овца
Human SET domain containing 1B ELISA kit (E01S0800)
Организм: человек
Goat 14 3 3 protein zeta/delta(YWHAZ) ELISA kit (E06P0216)
Организм: коза
Porcine soluble Guanylate Cyclase subunit α3 ELISA kit (E07S0469)
Организм: свинья
Monkey Hexose-6-Phosphate Dehydrogenase ELISA kit (E09H1504)
Организм: обезьяна

