| UNIPROT | P02750 |
| Иммуноген | Синтетический пептид, соответствующий human LRG1 |
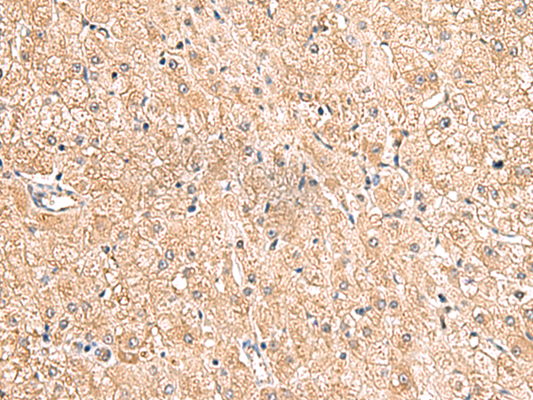
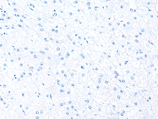
LRG1 Recombinant Rabbit mAb (ARM2506)
Реактивность подтвержденная:
человек
Источник (хозяин):
кролик
Валидировано для:
IHC
IP
WB
Характеристики
Техническое описание
| Каталожный номер | ARM2506 |
| Название антигена | Leucine Rich Alpha-2-Glycoprotein 1 (LRG1) |
| UNIPROT | P02750 |
| Иммуноген | Синтетический пептид, соответствующий human LRG1 |
Реактивность подтвержденная Нужна другая реактивность? |
человек |
| Источник (хозяин) | кролик |
| Изотип | IgG |
| Клональность | моноклональное |
| Рекомбинантное | да |
| Готовое к использованию | нет |
| Концентрация | 1 мг/мл |
| Конъюгат | По запросу: HRP, biotin, Cy3, Cy5, APC, AF488, AF594, AF405 |
| Валидировано для | IHC IP WB Иммуногистохимия; Иммунопреципитация; Вестерн-блоттинг |
| Рекомендуемые разведения | WB 1:500~1:2000; IHC 1:50~1:200; IP 1:50 |
| Метод очистки | Антигенспецифическая аффинная хроматография |
| Состав буфера | 50 нмоль Tris-Glycine(pH 7.4); 0.15M NaCl; 40% глицерин; 0.01% азид натрия и 0.05% БСА |
| Условия доставки | термобокс с аккумуляторами холода |
| Условия хранения | Сразу после получения аликвотировать и хранить при -20ºС до 12 месяцев с момента получения. Избегать повторения циклов замерзания/оттаивания |
| Срок хранения | 12 месяцев |
| Производитель | AssayVector |
|
Артикул
|
Наименование |
Производитель
|
|---|
|
Артикул
|
Наименование |
Производитель
|
|---|
|
Артикул
|
Наименование |
Производитель
|
|---|
|
Артикул
|
Наименование |
Производитель
|
|---|
Акции и предложения
Популярные продукты:
Goat Crk like protein(CRKL) ELISA kit (E06C2069)
Организм: коза
Bovine Glycogen synthase 2 ELISA kit (E11G0666)
Организм: корова
Bovine Cryptochrome 2(CRY2) ELISA kit (E11C2085)
Организм: корова
Porcine 40S ribosomal protein S6(RPS6) ELISA kit (E07R0149)
Организм: свинья
Rabbit Nuclear receptor coactivator 4 ELISA kit (E04N0655)
Организм: кролик
Bovine Bence Jones protein ELISA kit (E11B0663)
Организм: корова

