| UNIPROT | Q38SD2 |
| Иммуноген | Синтетический пептид, соответствующий human LRRK1 на С-конце |
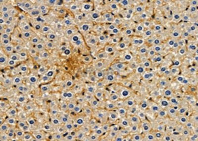
LRRK1 Antibody (DF8834)
Реактивность подтвержденная:
человек, мышь
Источник (хозяин):
кролик
Валидировано для:
IHC
WB
IF
ICC
Характеристики
Техническое описание
| Каталожный номер | DF8834 |
| Название антигена | Leucine Rich Repeat Kinase 1 (LRRK1) |
| UNIPROT | Q38SD2 |
| Иммуноген | Синтетический пептид, соответствующий human LRRK1 на С-конце |
| Английские синонимы | RIPK6, Roco1, Leucine-rich repeat serine/threonine-protein kinase 1 |
Реактивность подтвержденная Нужна другая реактивность? |
человек, мышь |
| Реактивность предсказываемая | лошадь, лягушка |
| Источник (хозяин) | кролик |
| Изотип | IgG |
| Клональность | поликлональное |
| Рекомбинантное | нет |
| Готовое к использованию | нет |
| Концентрация | 1 мг/мл |
| Конъюгат | нет |
| Валидировано для | IHC WB IF ICC Иммуногистохимия; Вестерн-блоттинг; Иммунофлуоресценция; Иммуноцитохимия |
| Рекомендуемые разведения | IF/ICC: 1:100-1:500; WB: 1:1000-3000; IHC: 1:50-1:200; Оптимальное разведение определяется конечным потребителем |
| Метод очистки | Антисыворотку очищали методом аффинной хроматографии пептидов с использованием связывающей смолы SulfoLink® (Thermo Fisher Scientific) |
| Состав буфера | Rabbit IgG в PBS; pH 7.4; 150mM NaCl; 0.02% азид натрия и 50% глицерин |
| RRID | AB_2842031 |
| Условия доставки | Термобокс с аккумуляторами холода |
| Условия хранения | Хранить при -20ºС. Стабилен 12 месяцев с даты получения |
| Срок хранения | 12 месяцев |
| Производитель | Affinity |
| Ссылка на страницу товара на сайте производителя | https://www.affbiotech.com/goods-12307-DF8834-LRRK1_Antibody.html |
|
Артикул
|
Наименование |
Производитель
|
|---|
|
Артикул
|
Наименование |
Производитель
|
|---|
Акции и предложения
Популярные продукты:
Guinea Pig Survival Of Motor Neuron 1(SMN1) ELISA kit (E05S0124)
Организм: морская свинка
Guinea Pig C type lectin domain family 4 member C(CLEC4C) ELISA kit (E05C1779)
Организм: морская свинка

