| UNIPROT | Q86UE4 |
| Иммуноген | Синтетический пептид, соответствующий human LYRIC/AEG1 |
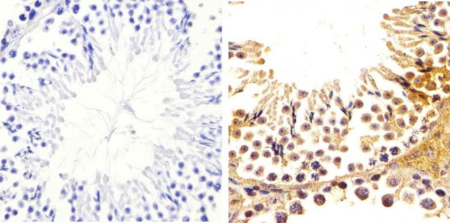
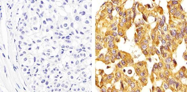
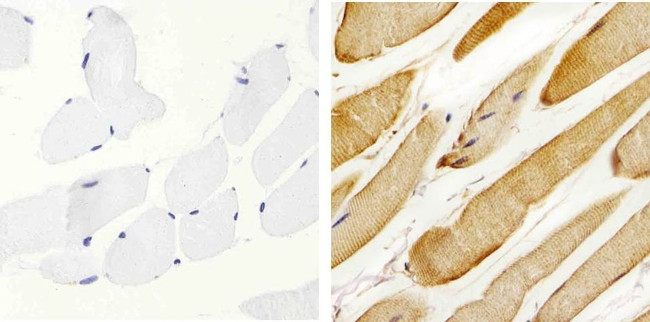
LYRIC Recombinant Rabbit mAb (ARM2624)
Реактивность подтвержденная:
человек, мышь, крыса
Источник (хозяин):
кролик
Валидировано для:
IHC
WB
IF
ICC
Характеристики
Техническое описание
| Каталожный номер | ARM2624 |
| Название антигена | Metadherin (MTDH) |
| UNIPROT | Q86UE4 |
| Иммуноген | Синтетический пептид, соответствующий human LYRIC/AEG1 |
| Английские синонимы | 3D3, AEG1, LYRIC, Astrocyte elevated gene-1 protein, Lysine-rich CEACAM1 co-isolated protein, Metastasis adhesion protein |
Реактивность подтвержденная Нужна другая реактивность? |
человек, мышь, крыса |
| Источник (хозяин) | кролик |
| Изотип | IgG |
| Клональность | моноклональное |
| Рекомбинантное | да |
| Готовое к использованию | нет |
| Концентрация | 1 мг/мл |
| Конъюгат | По запросу: HRP, biotin, Cy3, Cy5, APC, AF488, AF594, AF405 |
| Валидировано для | IHC WB IF ICC Иммуногистохимия; Вестерн-блоттинг; Иммунофлуоресценция; Иммуноцитохимия |
| Рекомендуемые разведения | WB 1:500~1:2000; IHC 1:50~1:200; IF/ICC 1:50~1:200 |
| Метод очистки | Антигенспецифическая аффинная хроматография |
| Состав буфера | 50 нмоль Tris-Glycine(pH 7.4); 0.15M NaCl; 40% глицерин; 0.01% азид натрия и 0.05% БСА |
| Условия доставки | термобокс с аккумуляторами холода |
| Условия хранения | Сразу после получения аликвотировать и хранить при -20ºС до 12 месяцев с момента получения. Избегать повторения циклов замерзания/оттаивания |
| Срок хранения | 12 месяцев |
| Производитель | AssayVector |
|
Артикул
|
Наименование |
Производитель
|
|---|
|
Артикул
|
Наименование |
Производитель
|
|---|
|
Артикул
|
Наименование |
Производитель
|
|---|
|
Артикул
|
Наименование |
Производитель
|
|---|
Акции и предложения
Популярные продукты:
Human Oxidized Glutathione ELISA kit (E01O0028)
Организм: человек
Диапазон определения: 50-1000 пг/мл
Чувствительность: 1 пг/мл
Диапазон определения: 50-1000 пг/мл
Чувствительность: 1 пг/мл
Rabbit Cortactin binding protein 2(CTTNBP2) ELISA kit (E04C2173)
Организм: кролик
Sheep Cytochrome P450 26C1(CYP26C1) ELISA kit (E14C2232)
Организм: овца
Monkey Dysferlin ELISA kit (E09D0325)
Организм: обезьяна
Rat Growth Differentiation Factor 6 ELISA kit (E02G0139)
Организм: крыса
Rat Lipoarabinomannan ELISA kit (E02L0207)
Организм: крыса

