| UNIPROT | Q9Y5Y7 |
| Иммуноген | Синтетический пептид, соответствующий human LYVE1 во внутренней части белка |
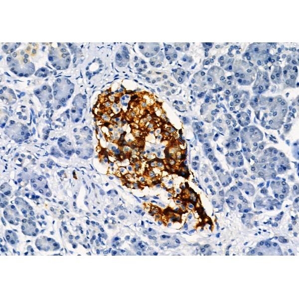
LYVE1 Antibody (AF4202)
Реактивность подтвержденная:
человек, мышь, крыса, обезьяна
Источник (хозяин):
кролик
Валидировано для:
IHC
WB
Характеристики
Техническое описание
| Каталожный номер | AF4202 |
| Название антигена | Lymphatic Vessel Endothelial Hyaluronan Receptor 1 (LYVE1) |
| UNIPROT | Q9Y5Y7 |
| Иммуноген | Синтетический пептид, соответствующий human LYVE1 во внутренней части белка |
| Английские синонимы | XLKD1, CRSBP-1, HAR, Extracellular Link Domain Containing 1, Hyaluronic acid receptor, Cell surface retention sequence-binding protein 1 |
Реактивность подтвержденная Нужна другая реактивность? |
человек, мышь, крыса, обезьяна |
| Источник (хозяин) | кролик |
| Изотип | IgG |
| Клональность | поликлональное |
| Рекомбинантное | нет |
| Готовое к использованию | нет |
| Концентрация | 1 мг/мл |
| Конъюгат | нет |
| Валидировано для | IHC WB Иммуногистохимия; Вестерн-блоттинг |
| Рекомендуемые разведения | WB: 1:500-1:1000; IHC: 1:50-1:200; Оптимальное разведение определяется конечным потребителем |
| Метод очистки | Антисыворотку очищали методом аффинной хроматографии пептидов с использованием связывающей смолы SulfoLink® (Thermo Fisher Scientific) |
| Состав буфера | 1 мг/мл в PBS (без Mg2+ и Ca2+); pH 7.4; 150mM NaCl и глицерин |
| RRID | AB_2837586 |
| Условия доставки | Термобокс с аккумуляторами холода |
| Условия хранения | Хранить при -20ºС. Стабилен 12 месяцев с даты получения |
| Срок хранения | 12 месяцев |
| Производитель | Affinity |
| Ссылка на страницу товара на сайте производителя | https://www.affbiotech.com/goods-4407-AF4202-LYVE1_Antibody.html |
|
Артикул
|
Наименование |
Производитель
|
|---|
|
Артикул
|
Наименование |
Производитель
|
|---|
|
Артикул
|
Наименование |
Производитель
|
|---|
|
Артикул
|
Наименование |
Производитель
|
|---|
Акции и предложения
Популярные продукты:
Mouse 14-3-3 protein epsilon(YWHAE) ELISA kit (E03Y0005)
Организм: мышь
Sheep Filamin C, Gamma ELISA kit (E14F0101)
Организм: овца
Guinea Pig Fibroblast Growth Factor Receptor SubstRate 2 ELISA kit (E05F0125)
Организм: морская свинка
Human IgA Isotype Control Antibody (10987#) (FHD76410)
Источник (хозяин): человек
Валидировано для: CTRL, FCM
Валидировано для: CTRL, FCM
Anti-Gamma-protocadherin-B2 Antibody (N148/5) (RHN24103)
Источник (хозяин): мышь
Реактивность подтвержденная: для всех
Валидировано для: IHC, WB
Реактивность подтвержденная: для всех
Валидировано для: IHC, WB
Anti-Human DEspR/FBXW7-AS1 Antibody (SAA1805) (RHK86701)
Источник (хозяин): мышь
Реактивность подтвержденная: человек
Валидировано для: ELISA
Реактивность подтвержденная: человек
Валидировано для: ELISA

