| UNIPROT | Q16659 |
| Иммуноген | Синтетический пептид, соответствующий human MAPK6 |
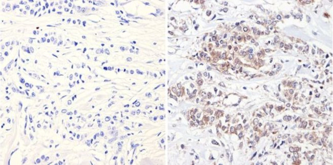
MAPK6 Recombinant Rabbit mAb (ARM1362)
Реактивность подтвержденная:
человек, мышь, крыса
Источник (хозяин):
кролик
Валидировано для:
FCM
IHC
IP
WB
Характеристики
Техническое описание
| Каталожный номер | ARM1362 |
| Название антигена | Mitogen Activated Protein Kinase 6 (MAPK6) |
| UNIPROT | Q16659 |
| Иммуноген | Синтетический пептид, соответствующий human MAPK6 |
| Английские синонимы | ERK3, HsT17250, PRKM6, p97MAPK, Extracellular signal-regulated kinase 3, MAP kinase isoform p97 |
Реактивность подтвержденная Нужна другая реактивность? |
человек, мышь, крыса |
| Источник (хозяин) | кролик |
| Изотип | IgG |
| Клональность | моноклональное |
| Рекомбинантное | да |
| Готовое к использованию | нет |
| Концентрация | 1 мг/мл |
| Конъюгат | По запросу: HRP, biotin, Cy3, Cy5, APC, AF488, AF594, AF405 |
| Валидировано для | FCM IHC IP WB Проточная цитометрия; Иммуногистохимия; Иммунопреципитация; Вестерн-блоттинг |
| Рекомендуемые разведения | WB 1:500~1:2000; IHC 1:50~1:200; FCM 1:50; IP 1:50 |
| Метод очистки | Антигенспецифическая аффинная хроматография |
| Состав буфера | 50 нмоль Tris-Glycine(pH 7.4); 0.15M NaCl; 40% глицерин; 0.01% азид натрия и 0.05% БСА |
| Условия доставки | термобокс с аккумуляторами холода |
| Условия хранения | Сразу после получения аликвотировать и хранить при -20ºС до 12 месяцев с момента получения. Избегать повторения циклов замерзания/оттаивания |
| Срок хранения | 12 месяцев |
| Производитель | AssayVector |
|
Артикул
|
Наименование |
Производитель
|
|---|
|
Артикул
|
Наименование |
Производитель
|
|---|
|
Артикул
|
Наименование |
Производитель
|
|---|
Акции и предложения
Популярные продукты:
ELISA Kit for Dimethylarginine Dimethylaminohydrolase 1 (DDAH1) (RD982S-Mu)
Организм: мышь
Диапазон определения: 0.156-10 нг/мл
Чувствительность: 0.055 нг/мл
Диапазон определения: 0.156-10 нг/мл
Чувствительность: 0.055 нг/мл
Porcine Opioid Receptor Kappa 1 ELISA kit (E07O0856)
Организм: свинья
Human Moesin(MSN) ELISA kit (E01M0401)
Организм: человек
Диапазон определения: 1-25 нг/мл
Чувствительность: 0.1 нг/мл
Диапазон определения: 1-25 нг/мл
Чувствительность: 0.1 нг/мл
Sheep Complement Component 8b ELISA kit (E14C0355)
Организм: овца
Chicken Complement Component 8b ELISA kit (E12C0355)
Организм: курица
Bovine Complement Component 8b ELISA kit (E11C0355)
Организм: корова

