| UNIPROT | P49736 |
| Иммуноген | Синтетический пептид, соответствующий human MCM2 |
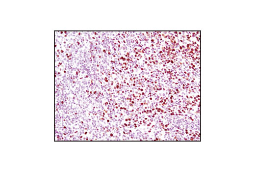
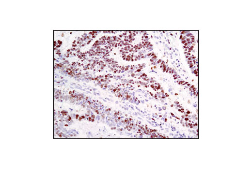
MCM2 Recombinant Rabbit mAb (ARM2635)
Реактивность подтвержденная:
человек, мышь, крыса
Источник (хозяин):
кролик
Валидировано для:
FCM
IHC
WB
IF
ICC
Характеристики
Техническое описание
| Каталожный номер | ARM2635 |
| Название антигена | Minichromosome Maintenance Deficient 2 (MCM2) |
| UNIPROT | P49736 |
| Иммуноген | Синтетический пептид, соответствующий human MCM2 |
| Английские синонимы | BM28, CCNL1, CDCL1, Cdc19, Mitotin, DNA Replication Licensing Factor MCM2, Nuclear protein BM28 |
Реактивность подтвержденная Нужна другая реактивность? |
человек, мышь, крыса |
| Источник (хозяин) | кролик |
| Изотип | IgG |
| Клональность | моноклональное |
| Рекомбинантное | да |
| Готовое к использованию | нет |
| Концентрация | 1 мг/мл |
| Конъюгат | По запросу: HRP, biotin, Cy3, Cy5, APC, AF488, AF594, AF405 |
| Валидировано для | FCM IHC WB IF ICC Проточная цитометрия; Иммуногистохимия; Вестерн-блоттинг; Иммунофлуоресценция; Иммуноцитохимия |
| Рекомендуемые разведения | WB 1:500~1:2000; IHC 1:50~1:200; IF/ICC 1:50~1:200; FCM 1:50 |
| Метод очистки | Антигенспецифическая аффинная хроматография |
| Состав буфера | 50 нмоль Tris-Glycine(pH 7.4); 0.15M NaCl; 40% глицерин; 0.01% азид натрия и 0.05% БСА |
| Условия доставки | термобокс с аккумуляторами холода |
| Условия хранения | Сразу после получения аликвотировать и хранить при -20ºС до 12 месяцев с момента получения. Избегать повторения циклов замерзания/оттаивания |
| Срок хранения | 12 месяцев |
| Производитель | AssayVector |
|
Артикул
|
Наименование |
Производитель
|
|---|
|
Артикул
|
Наименование |
Производитель
|
|---|
|
Артикул
|
Наименование |
Производитель
|
|---|
|
Артикул
|
Наименование |
Производитель
|
|---|
|
Артикул
|
Наименование |
Производитель
|
|---|
|
Артикул
|
Наименование |
Производитель
|
|---|
Акции и предложения
Популярные продукты:
Anti-Arginyl tRNA Synthetase (RARS) Monoclonal Antibody (FAC997Hu02)
Источник (хозяин): мышь
Реактивность подтвержденная: человек
Валидировано для: FCM
Реактивность подтвержденная: человек
Валидировано для: FCM
MCM2 Recombinant Rabbit mAb (ARM2635)
Источник (хозяин): кролик
Реактивность подтвержденная: человек, мышь, крыса
Валидировано для: FCM, IHC, WB, IF, ICC
Реактивность подтвержденная: человек, мышь, крыса
Валидировано для: FCM, IHC, WB, IF, ICC
MCM2 Recombinant Rabbit mAb (ARM2478)
Источник (хозяин): кролик
Реактивность подтвержденная: человек
Валидировано для: FCM, IHC, IP, WB, IF, ICC
Реактивность подтвержденная: человек
Валидировано для: FCM, IHC, IP, WB, IF, ICC
LGI1 Recombinant Rabbit mAb (ARM2254)
Источник (хозяин): кролик
Реактивность подтвержденная: человек, мышь, крыса
Валидировано для: IHC, IP, WB
Реактивность подтвержденная: человек, мышь, крыса
Валидировано для: IHC, IP, WB
MARS Recombinant Rabbit mAb (ARM1878)
Источник (хозяин): кролик
Реактивность подтвержденная: человек, крыса
Валидировано для: IHC, IP, WB, IF, ICC
Реактивность подтвержденная: человек, крыса
Валидировано для: IHC, IP, WB, IF, ICC

