| UNIPROT | P33993 |
| Иммуноген | Синтетический пептид, соответствующий human MCM7 |
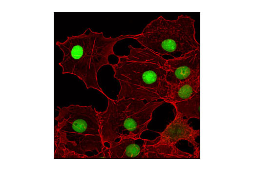
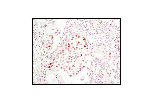
MCM7 Recombinant Rabbit mAb (ARM2696)
Реактивность подтвержденная:
человек, мышь, крыса
Источник (хозяин):
кролик
Валидировано для:
FCM
IHC
IP
WB
IF
ICC
Характеристики
Техническое описание
| Каталожный номер | ARM2696 |
| Название антигена | Minichromosome Maintenance Deficient 7 (MCM7) |
| UNIPROT | P33993 |
| Иммуноген | Синтетический пептид, соответствующий human MCM7 |
| Английские синонимы | CDC47, P1.1-MCM3, MCM2, PNAS-146, DNA replication licensing factor MCM7 |
Реактивность подтвержденная Нужна другая реактивность? |
человек, мышь, крыса |
| Источник (хозяин) | кролик |
| Изотип | IgG |
| Клональность | моноклональное |
| Рекомбинантное | да |
| Готовое к использованию | нет |
| Концентрация | 1 мг/мл |
| Конъюгат | По запросу: HRP, biotin, Cy3, Cy5, APC, AF488, AF594, AF405 |
| Валидировано для | FCM IHC IP WB IF ICC Проточная цитометрия; Иммуногистохимия; Иммунопреципитация; Вестерн-блоттинг; Иммунофлуоресценция; Иммуноцитохимия |
| Рекомендуемые разведения | WB 1:500~1:2000; IHC 1:50~1:200; IF/ICC 1:50~1:200; FCM 1:50; IP 1:50 |
| Метод очистки | Антигенспецифическая аффинная хроматография |
| Состав буфера | 50 нмоль Tris-Glycine(pH 7.4); 0.15M NaCl; 40% глицерин; 0.01% азид натрия и 0.05% БСА |
| Условия доставки | термобокс с аккумуляторами холода |
| Условия хранения | Сразу после получения аликвотировать и хранить при -20ºС до 12 месяцев с момента получения. Избегать повторения циклов замерзания/оттаивания |
| Срок хранения | 12 месяцев |
| Производитель | AssayVector |
|
Артикул
|
Наименование |
Производитель
|
|---|
|
Артикул
|
Наименование |
Производитель
|
|---|
Акции и предложения
Популярные продукты:
Canine β ureidopropionase (UPB1) ELISA kit (E08B0984)
Организм: собака
ELISA Kit for Steroidogenic Acute Regulatory Protein (STAR) (SEG512Hu)
Организм: человек
Диапазон определения: 0.156-10 нг/мл
Чувствительность: 0.064 нг/мл
Диапазон определения: 0.156-10 нг/мл
Чувствительность: 0.064 нг/мл
Multiplex Assay Kit for Cytochrome C Oxidase Subunit IV Isoform 1 (COX4I1) (LMD286Mu)
Организм: мышь
Диапазон определения: 0.05-50 нг/мл
Чувствительность: 0.017 нг/мл
Диапазон определения: 0.05-50 нг/мл
Чувствительность: 0.017 нг/мл
Polyclonal Antibody to Complement Component 3a (C3a) (PAA387Ca02)
Источник (хозяин): кролик
Реактивность подтвержденная: собака
Валидировано для: WB
Реактивность подтвержденная: собака
Валидировано для: WB
Bovine Cystinosin(CTNS) ELISA kit (E11C2155)
Организм: корова

