| UNIPROT | Q02750 |
| Иммуноген | Синтетический пептид, соответствующий human MEK1 |
MEK1 Recombinant Rabbit mAb (ARM1253)
Реактивность подтвержденная:
человек
Источник (хозяин):
кролик
Валидировано для:
IHC
IP
WB
IF
ICC
Характеристики
Техническое описание
| Каталожный номер | ARM1253 |
| Название антигена | Mitogen Activated Protein Kinase Kinase 1 (MAP2K1) |
| UNIPROT | Q02750 |
| Иммуноген | Синтетический пептид, соответствующий human MEK1 |
| Английские синонимы | MAPKK1, MEK1, MKK1, PRKMK1, Dual specificity mitogen-activated protein kinase kinase 1, ERK activator kinase 1 |
Реактивность подтвержденная Нужна другая реактивность? |
человек |
| Источник (хозяин) | кролик |
| Изотип | IgG |
| Клональность | моноклональное |
| Рекомбинантное | да |
| Готовое к использованию | нет |
| Концентрация | 1 мг/мл |
| Конъюгат | По запросу: HRP, biotin, Cy3, Cy5, APC, AF488, AF594, AF405 |
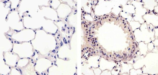
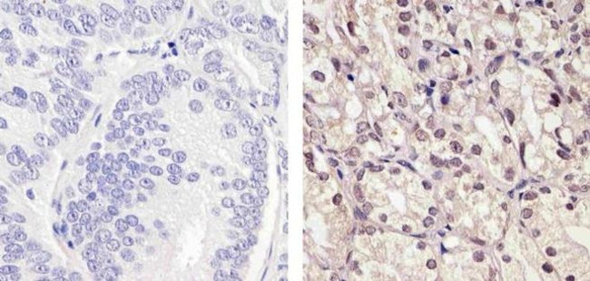
| Валидировано для | IHC IP WB IF ICC Иммуногистохимия; Иммунопреципитация; Вестерн-блоттинг; Иммунофлуоресценция; Иммуноцитохимия |
| Рекомендуемые разведения | WB 1:500~1:2000; IHC 1:50~1:200; IF/ICC 1:50~1:200; IP 1:50 |
| Метод очистки | Антигенспецифическая аффинная хроматография |
| Состав буфера | 50 нмоль Tris-Glycine(pH 7.4); 0.15M NaCl; 40% глицерин; 0.01% азид натрия и 0.05% БСА |
| Условия доставки | термобокс с аккумуляторами холода |
| Условия хранения | Сразу после получения аликвотировать и хранить при -20ºС до 12 месяцев с момента получения. Избегать повторения циклов замерзания/оттаивания |
| Срок хранения | 12 месяцев |
| Производитель | AssayVector |
|
Артикул
|
Наименование |
Производитель
|
|---|
|
Артикул
|
Наименование |
Производитель
|
|---|
|
Артикул
|
Наименование |
Производитель
|
|---|
|
Артикул
|
Наименование |
Производитель
|
|---|
|
Артикул
|
Наименование |
Производитель
|
|---|
Акции и предложения
Популярные продукты:
Monoclonal Antibody to Matrix Gla Protein (MGP) (MAB477Hu23)
Источник (хозяин): мышь
Реактивность подтвержденная: человек
Валидировано для: WB
Реактивность подтвержденная: человек
Валидировано для: WB
Goat Phosphatidylinositol Trisphosphate ELISA kit (E06P1057)
Организм: коза
Guinea Pig Secreted frizzled-related protein 2(SFRP2) ELISA kit (E05S0362)
Организм: морская свинка
Canine Myosin Heavy Chain 2 ELISA kit (E08M0035)
Организм: собака
Porcine Myosin Heavy Chain 2 ELISA kit (E07M0035)
Организм: свинья
Goat Actinin Alpha 3 ELISA kit (E06A0383)
Организм: коза

