| UNIPROT | Q9Y2U5 |
| Иммуноген | Синтетический пептид, соответствующий human MEKK2 |
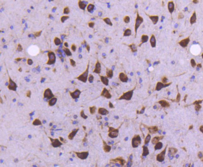
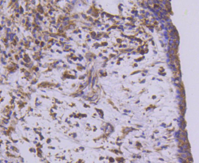
MEKK2 Recombinant Rabbit mAb (ARM2695)
Реактивность подтвержденная:
человек, мышь, крыса
Источник (хозяин):
кролик
Валидировано для:
FCM
IHC
IP
WB
IF
ICC
Характеристики
Техническое описание
| Каталожный номер | ARM2695 |
| Название антигена | Mitogen Activated Protein Kinase Kinase Kinase 2 (MAP3K2) |
| UNIPROT | Q9Y2U5 |
| Иммуноген | Синтетический пептид, соответствующий human MEKK2 |
| Английские синонимы | MEKK2, MEKK2B, MAPKKK2, MAP/ERK Kinase Kinase 2 |
Реактивность подтвержденная Нужна другая реактивность? |
человек, мышь, крыса |
| Источник (хозяин) | кролик |
| Изотип | IgG |
| Клональность | моноклональное |
| Рекомбинантное | да |
| Готовое к использованию | нет |
| Концентрация | 1 мг/мл |
| Конъюгат | По запросу: HRP, biotin, Cy3, Cy5, APC, AF488, AF594, AF405 |
| Валидировано для | FCM IHC IP WB IF ICC Проточная цитометрия; Иммуногистохимия; Иммунопреципитация; Вестерн-блоттинг; Иммунофлуоресценция; Иммуноцитохимия |
| Рекомендуемые разведения | WB 1:500~1:2000; IHC 1:50~1:200; IF/ICC 1:50~1:200; FCM 1:50; IP 1:50 |
| Метод очистки | Антигенспецифическая аффинная хроматография |
| Состав буфера | 50 нмоль Tris-Glycine(pH 7.4); 0.15M NaCl; 40% глицерин; 0.01% азид натрия и 0.05% БСА |
| Условия доставки | термобокс с аккумуляторами холода |
| Условия хранения | Сразу после получения аликвотировать и хранить при -20ºС до 12 месяцев с момента получения. Избегать повторения циклов замерзания/оттаивания |
| Срок хранения | 12 месяцев |
| Производитель | AssayVector |
|
Артикул
|
Наименование |
Производитель
|
|---|
|
Артикул
|
Наименование |
Производитель
|
|---|
|
Артикул
|
Наименование |
Производитель
|
|---|
Акции и предложения
Популярные продукты:
Anti-Cluster Of Differentiation 161 (CD161) Monoclonal Antibody (FAA986Hu04)
Источник (хозяин): мышь
Реактивность подтвержденная: человек
Валидировано для: FCM
Реактивность подтвержденная: человек
Валидировано для: FCM
Polyclonal Antibody to ATPase, H+ Transporting, Mitochondrial F1 Complex Alpha Polypeptide (ATP5a) (PAG388Hu01)
Источник (хозяин): кролик
Реактивность подтвержденная: человек
Валидировано для: IHC, WB
Реактивность подтвержденная: человек
Валидировано для: IHC, WB
Goat Sialic acid ELISA kit (E06S0227)
Организм: коза
Guinea Pig BR serine/threonine protein kinase 2(BRSK2) ELISA kit (E05B0850)
Организм: морская свинка
Goat CTD Phosphatase 1 ELISA kit (E06C0049)
Организм: коза

