| UNIPROT | P08493 |
| Иммуноген | Синтетический пептид, соответствующий human MGP |
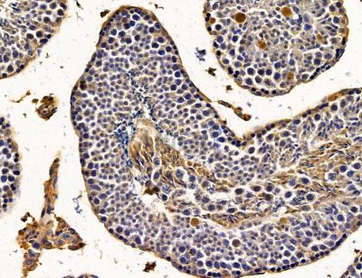
MGP Antibody (DF14775)
Реактивность подтвержденная:
человек, мышь, крыса
Источник (хозяин):
кролик
Валидировано для:
IHC
Характеристики
Техническое описание
| Каталожный номер | DF14775 |
| Название антигена | Matrix Gla Protein (MGP) |
| UNIPROT | P08493 |
| Иммуноген | Синтетический пептид, соответствующий human MGP |
| Английские синонимы | MGLAP, GIG36, Cell growth-inhibiting gene 36 protein |
Реактивность подтвержденная Нужна другая реактивность? |
человек, мышь, крыса |
| Источник (хозяин) | кролик |
| Изотип | IgG |
| Клональность | поликлональное |
| Рекомбинантное | нет |
| Готовое к использованию | нет |
| Концентрация | 1 мг/мл |
| Конъюгат | нет |
| Валидировано для | IHC Иммуногистохимия |
| Рекомендуемые разведения | IHC: 1:50-1:200; Оптимальное разведение определяется конечным потребителем |
| Метод очистки | Антисыворотку очищали методом аффинной хроматографии пептидов с использованием связывающей смолы SulfoLink® (Thermo Fisher Scientific) |
| Состав буфера | Rabbit IgG в PBS; pH 7.4; 150mM NaCl; 0.02% азид натрия и 50% глицерин |
| Условия доставки | Термобокс с аккумуляторами холода |
| Условия хранения | Хранить при -20ºС. Стабилен 12 месяцев с даты получения |
| Срок хранения | 12 месяцев |
| Производитель | Affinity |
| Ссылка на страницу товара на сайте производителя | https://www.affbiotech.com/goods-19219-DF14775-MGP_Antibody.html |
|
Артикул
|
Наименование |
Производитель
|
|---|
|
Артикул
|
Наименование |
Производитель
|
|---|
|
Артикул
|
Наименование |
Производитель
|
|---|
|
Артикул
|
Наименование |
Производитель
|
|---|
|
Артикул
|
Наименование |
Производитель
|
|---|
|
Артикул
|
Наименование |
Производитель
|
|---|
|
Артикул
|
Наименование |
Производитель
|
|---|
|
Артикул
|
Наименование |
Производитель
|
|---|
Акции и предложения
Популярные продукты:
Monkey 14-3-3 protein zeta/delta(YWHAZ) ELISA kit (E09Y0009)
Организм: обезьяна
Guinea Pig B cell CLL/lymphoma 6 member B protein(BCL6B) ELISA kit (E05B0771)
Организм: морская свинка
Sheep Neuropeptide W(NPW) ELISA kit (E14N0558)
Организм: овца
Porcine Neuropeptide W(NPW) ELISA kit (E07N0558)
Организм: свинья
Goat Neuropeptide W(NPW) ELISA kit (E06N0558)
Организм: коза
Recombinant Mouse SFTPD/SP-D Protein (His Tag) (PKSM041282)
Источник (хозяин): HEK293
Организм: мышь
Фрагмент: Ala20-Phe374
Теги: C-His
Биоактивность: нет
Организм: мышь
Фрагмент: Ala20-Phe374
Теги: C-His
Биоактивность: нет

