| UNIPROT | P14174 |
| Иммуноген | Рекомбинантный белок human MIF |
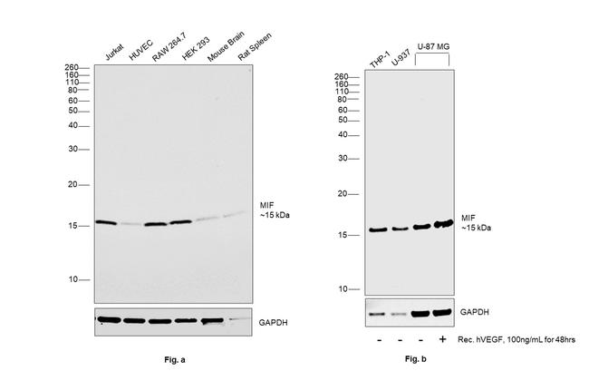
MIF Recombinant Rabbit mAb (ARM1792)
Реактивность подтвержденная:
человек, мышь, крыса
Источник (хозяин):
кролик
Валидировано для:
FCM
WB
IF
ICC
Характеристики
Техническое описание
| Каталожный номер | ARM1792 |
| Название антигена | Macrophage Migration Inhibitory Factor (MIF) |
| UNIPROT | P14174 |
| Иммуноген | Рекомбинантный белок human MIF |
| Английские синонимы | GIF, GLIF, MMIF, Glycosylation-Inhibiting Factor, L-dopachrome isomerase, L-dopachrome tautomerase, Phenylpyruvate tautomerase |
Реактивность подтвержденная Нужна другая реактивность? |
человек, мышь, крыса |
| Источник (хозяин) | кролик |
| Изотип | IgG |
| Клональность | моноклональное |
| Рекомбинантное | да |
| Готовое к использованию | нет |
| Концентрация | 1 мг/мл |
| Конъюгат | По запросу: HRP, biotin, Cy3, Cy5, APC, AF488, AF594, AF405 |
| Валидировано для | FCM WB IF ICC Проточная цитометрия; Вестерн-блоттинг; Иммунофлуоресценция; Иммуноцитохимия |
| Рекомендуемые разведения | WB 1:500~1:2000; IF/ICC 1:50~1:200; FCM 1:50 |
| Метод очистки | Антигенспецифическая аффинная хроматография |
| Состав буфера | 50 нмоль Tris-Glycine(pH 7.4); 0.15M NaCl; 40% глицерин; 0.01% азид натрия и 0.05% БСА |
| Условия доставки | термобокс с аккумуляторами холода |
| Условия хранения | Сразу после получения аликвотировать и хранить при -20ºС до 12 месяцев с момента получения. Избегать повторения циклов замерзания/оттаивания |
| Срок хранения | 12 месяцев |
| Производитель | AssayVector |
|
Артикул
|
Наименование |
Производитель
|
|---|
|
Артикул
|
Наименование |
Производитель
|
|---|
|
Артикул
|
Наименование |
Производитель
|
|---|
|
Артикул
|
Наименование |
Производитель
|
|---|
Акции и предложения
Популярные продукты:
Anti-ASFV Pp62/CP530R Antibody (SAb2417) (RVV46901)
Источник (хозяин): мышь
Реактивность подтвержденная: вирусы
Валидировано для: ELISA
Реактивность подтвержденная: вирусы
Валидировано для: ELISA
Rabbit Type II collagen N-terminal propeptide ELISA kit (E04P1127)
Организм: кролик
Recombinant Human EpCAM/TROP-1 Protein (Fc Tag) (PKSH032383)
Источник (хозяин): HEK293
Организм: человек
Фрагмент: Gln24-Lys265
Теги: C-Fc
Биоактивность: нет
Организм: человек
Фрагмент: Gln24-Lys265
Теги: C-Fc
Биоактивность: нет
Recombinant Human PLA2G7/Lp-PLA2 Protein (His Tag) (PKSH033398)
Источник (хозяин): HEK293
Организм: человек
Фрагмент: Phe22-Asn441
Теги: C-His
Биоактивность: нет
Организм: человек
Фрагмент: Phe22-Asn441
Теги: C-His
Биоактивность: нет
Recombinant Mouse CXCL5/ENA-78 Protein, N-His-SUMO (YME38101)
Источник (хозяин): E.coli
Организм: мышь
Фрагмент: Thr57-Asp97
Теги: N-His-SUMO
Биоактивность: нет
Организм: мышь
Фрагмент: Thr57-Asp97
Теги: N-His-SUMO
Биоактивность: нет
Anti-Human NOTCH2 Nanobody (SAA1287) (RHG01801)
Источник (хозяин): альпака
Реактивность подтвержденная: человек
Валидировано для: ELISA
Реактивность подтвержденная: человек
Валидировано для: ELISA

