| UNIPROT | P40692 |
| Иммуноген | Рекомбинантный белок human MLH1 |
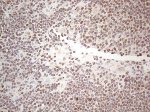
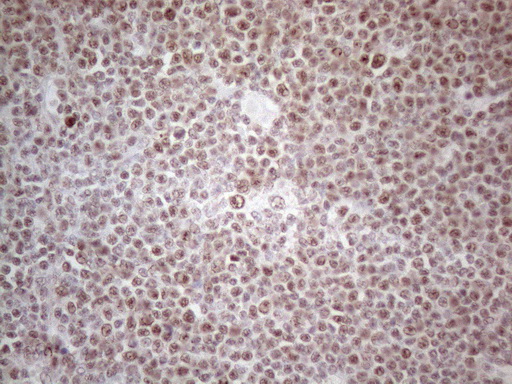
MLH1 Recombinant Rabbit mAb (ARM2104)
Реактивность подтвержденная:
человек
Источник (хозяин):
кролик
Валидировано для:
FCM
IHC
IF
ICC
Характеристики
Техническое описание
| Каталожный номер | ARM2104 |
| Название антигена | MutL Homolog 1 (MLH1) |
| UNIPROT | P40692 |
| Иммуноген | Рекомбинантный белок human MLH1 |
| Английские синонимы | COCA2, FCC2, HNPCC, HNPCC2, hMLH1, DNA mismatch repair protein Mlh1 |
Реактивность подтвержденная Нужна другая реактивность? |
человек |
| Источник (хозяин) | кролик |
| Изотип | IgG |
| Клональность | моноклональное |
| Рекомбинантное | да |
| Готовое к использованию | нет |
| Концентрация | 1 мг/мл |
| Конъюгат | По запросу: HRP, biotin, Cy3, Cy5, APC, AF488, AF594, AF405 |
| Валидировано для | FCM IHC IF ICC Проточная цитометрия; Иммуногистохимия; Иммунофлуоресценция; Иммуноцитохимия |
| Рекомендуемые разведения | IHC 1:50~1:200; IF/ICC 1:50~1:200; FCM 1:50 |
| Метод очистки | Антигенспецифическая аффинная хроматография |
| Состав буфера | 50 нмоль Tris-Glycine(pH 7.4); 0.15M NaCl; 40% глицерин; 0.01% азид натрия и 0.05% БСА |
| Условия доставки | термобокс с аккумуляторами холода |
| Условия хранения | Сразу после получения аликвотировать и хранить при -20ºС до 12 месяцев с момента получения. Избегать повторения циклов замерзания/оттаивания |
| Срок хранения | 12 месяцев |
| Производитель | AssayVector |
|
Артикул
|
Наименование |
Производитель
|
|---|
|
Артикул
|
Наименование |
Производитель
|
|---|
|
Артикул
|
Наименование |
Производитель
|
|---|
Акции и предложения
Популярные продукты:
Anti-Inter Alpha-Globulin Inhibitor H4 (ITIH4) Polyclonal Antibody (FAH776Hu01)
Источник (хозяин): кролик
Реактивность подтвержденная: человек
Валидировано для: FCM
Реактивность подтвержденная: человек
Валидировано для: FCM
Canine Vasohibin 1 ELISA kit (E08V0412)
Организм: собака
Monkey Dynamin 1 ELISA kit (E09D0247)
Организм: обезьяна
Anti-Mouse CD163 Polyclonal Antibody (PMJ16301)
Источник (хозяин): кролик
Реактивность подтвержденная: мышь
Валидировано для: ELISA, IHC, WB
Реактивность подтвержденная: мышь
Валидировано для: ELISA, IHC, WB
Anti-CD106/VCAM1 Polyclonal Antibody (PHD33101)
Источник (хозяин): кролик
Реактивность подтвержденная: человек
Валидировано для: ELISA, IHC, WB
Реактивность подтвержденная: человек
Валидировано для: ELISA, IHC, WB

