| UNIPROT | Q8NB16 |
| Иммуноген | Рекомбинантный белок human MLKL |
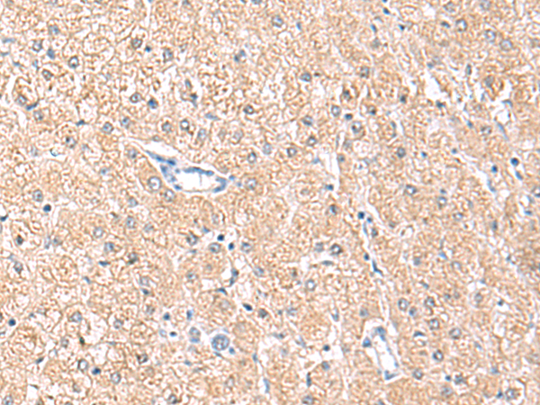
MLKL Recombinant Rabbit mAb (ARM1163)
Реактивность подтвержденная:
человек
Источник (хозяин):
кролик
Валидировано для:
IHC
WB
Характеристики
Техническое описание
| Каталожный номер | ARM1163 |
| Название антигена | Mixed Lineage Kinase Domain Like Protein (MLKL) |
| UNIPROT | Q8NB16 |
| Иммуноген | Рекомбинантный белок human MLKL |
Реактивность подтвержденная Нужна другая реактивность? |
человек |
| Источник (хозяин) | кролик |
| Изотип | IgG |
| Клональность | моноклональное |
| Рекомбинантное | да |
| Готовое к использованию | нет |
| Концентрация | 1 мг/мл |
| Конъюгат | По запросу: HRP, biotin, Cy3, Cy5, APC, AF488, AF594, AF405 |
| Валидировано для | IHC WB Иммуногистохимия; Вестерн-блоттинг |
| Рекомендуемые разведения | WB 1:500~1:2000; IHC 1:50~1:200 |
| Метод очистки | Антигенспецифическая аффинная хроматография |
| Состав буфера | 50 нмоль Tris-Glycine(pH 7.4); 0.15M NaCl; 40% глицерин; 0.01% азид натрия и 0.05% БСА |
| Условия доставки | термобокс с аккумуляторами холода |
| Условия хранения | Сразу после получения аликвотировать и хранить при -20ºС до 12 месяцев с момента получения. Избегать повторения циклов замерзания/оттаивания |
| Срок хранения | 12 месяцев |
| Производитель | AssayVector |
|
Артикул
|
Наименование |
Производитель
|
|---|
|
Артикул
|
Наименование |
Производитель
|
|---|
|
Артикул
|
Наименование |
Производитель
|
|---|
|
Артикул
|
Наименование |
Производитель
|
|---|
Акции и предложения
Популярные продукты:
ELISA Kit DIY Materials for Prolyl-4-Hydroxylase Alpha Polypeptide II (P4Ha2) (KSE254Hu01)
Организм: человек
Диапазон определения: 0.156-10 нг/мл
Чувствительность: 0.055 нг/мл
Диапазон определения: 0.156-10 нг/мл
Чувствительность: 0.055 нг/мл
Mouse Sulfhydryl oxidase 1(QSOX1) ELISA kit (E03S0347)
Организм: мышь
Chicken Collagen Type II ELISA kit (E12C0779)
Организм: курица
Диапазон определения: 50-1000 нг/мл
Чувствительность: 1 нг/мл
Диапазон определения: 50-1000 нг/мл
Чувствительность: 1 нг/мл
IDH3A Mouse Monoclonal Antibody (BF9532)
Источник (хозяин): мышь
Реактивность подтвержденная: человек
Валидировано для: WB
Реактивность подтвержденная: человек
Валидировано для: WB
LDHA Mouse Monoclonal Antibody (BF9380)
Источник (хозяин): мышь
Реактивность подтвержденная: человек
Валидировано для: WB
Реактивность подтвержденная: человек
Валидировано для: WB
InVivoMAb Anti-Mouse CD8α Antibody (2.43) (VMB96002)
Источник (хозяин): крыса
Реактивность подтвержденная: мышь
Валидировано для: Depletion, ELISA, WB
Реактивность подтвержденная: мышь
Валидировано для: Depletion, ELISA, WB

