| UNIPROT | P09238 |
| Иммуноген | Синтетический пептид, соответствующий human MMP10 во внутренней части белка |
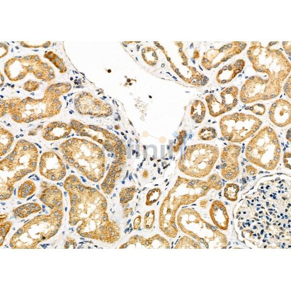
MMP10 Antibody (DF7152)
Реактивность подтвержденная:
человек, мышь, крыса
Источник (хозяин):
кролик
Валидировано для:
IHC
WB
IF
ICC
Характеристики
Техническое описание
| Каталожный номер | DF7152 |
| Название антигена | Matrix Metalloproteinase 10 (MMP10) |
| UNIPROT | P09238 |
| Иммуноген | Синтетический пептид, соответствующий human MMP10 во внутренней части белка |
| Английские синонимы | STMY2, SL2, Stromelysin 2, Transin-2, MMP-10 |
| Русские синонимы | ММП10, ММП-10, Стромелизин 2 |
Реактивность подтвержденная Нужна другая реактивность? |
человек, мышь, крыса |
| Реактивность предсказываемая | свинья, кролик |
| Источник (хозяин) | кролик |
| Изотип | IgG |
| Клональность | поликлональное |
| Рекомбинантное | нет |
| Готовое к использованию | нет |
| Концентрация | 1 мг/мл |
| Конъюгат | нет |
| Валидировано для | IHC WB IF ICC Иммуногистохимия; Вестерн-блоттинг; Иммунофлуоресценция; Иммуноцитохимия |
| Рекомендуемые разведения | WB: 1:500-1:2000; IF/ICC: 1:100-1:500; IHC: 1:50-1:200; Оптимальное разведение определяется конечным потребителем |
| Метод очистки | Антисыворотку очищали методом аффинной хроматографии пептидов с использованием связывающей смолы SulfoLink® (Thermo Fisher Scientific) |
| Состав буфера | Rabbit IgG в PBS; pH 7.4; 150mM NaCl; 0.02% азид натрия и 50% глицерин |
| RRID | AB_2839104 |
| Условия доставки | Термобокс с аккумуляторами холода |
| Условия хранения | Хранить при -20ºС. Стабилен 12 месяцев с даты получения |
| Срок хранения | 12 месяцев |
| Производитель | Affinity |
| Ссылка на страницу товара на сайте производителя | https://www.affbiotech.com/goods-5954-DF7152-MMP10_Antibody.html |
|
Артикул
|
Наименование |
Производитель
|
|---|
|
Артикул
|
Наименование |
Производитель
|
|---|
|
Артикул
|
Наименование |
Производитель
|
|---|
|
Артикул
|
Наименование |
Производитель
|
|---|
|
Артикул
|
Наименование |
Производитель
|
|---|
|
Артикул
|
Наименование |
Производитель
|
|---|
Акции и предложения
Популярные продукты:
Sheep Angiotensin 3 ELISA kit (E14A0205)
Организм: овца
Chicken Angiotensin 3 ELISA kit (E12A0205)
Организм: курица
Goat Angiotensin 3 ELISA kit (E06A0205)
Организм: коза
Rabbit ATP dependent RNA helicase DDX50(DDX50) ELISA kit (E04A1835)
Организм: кролик
Goat Cylicin 2(CYLC2) ELISA kit (E06C2221)
Организм: коза
Rabbit Calsequestrin 2(CASQ2) ELISA kit (E04C1395)
Организм: кролик

