| UNIPROT | P50281 |
| Иммуноген | Синтетический пептид, соответствующий human MMP14 |
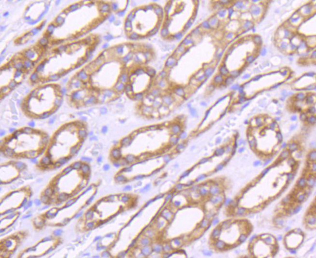
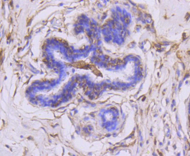
MMP14 Recombinant Rabbit mAb (ARM1035)
Реактивность подтвержденная:
человек, мышь, крыса
Источник (хозяин):
кролик
Валидировано для:
IHC
IP
WB
Характеристики
Техническое описание
| Каталожный номер | ARM1035 |
| Название антигена | Matrix Metalloproteinase 14 (MMP14) |
| UNIPROT | P50281 |
| Иммуноген | Синтетический пептид, соответствующий human MMP14 |
| Английские синонимы | MMP-X1, MT1-MMP, MTMMP1, Membrane Inserted, Membrane-type matrix metalloproteinase 1, Membrane-type-1 matrix metalloproteinase, MMP-14 |
| Русские синонимы | ММП14, ММП-14, MT1-MMP |
Реактивность подтвержденная Нужна другая реактивность? |
человек, мышь, крыса |
| Источник (хозяин) | кролик |
| Изотип | IgG |
| Клональность | моноклональное |
| Рекомбинантное | да |
| Готовое к использованию | нет |
| Концентрация | 1 мг/мл |
| Конъюгат | По запросу: HRP, biotin, Cy3, Cy5, APC, AF488, AF594, AF405 |
| Валидировано для | IHC IP WB Иммуногистохимия; Иммунопреципитация; Вестерн-блоттинг |
| Рекомендуемые разведения | WB 1:500~1:2000; IHC 1:50~1:200; IP 1:50 |
| Метод очистки | Антигенспецифическая аффинная хроматография |
| Состав буфера | 50 нмоль Tris-Glycine(pH 7.4); 0.15M NaCl; 40% глицерин; 0.01% азид натрия и 0.05% БСА |
| Условия доставки | термобокс с аккумуляторами холода |
| Условия хранения | Сразу после получения аликвотировать и хранить при -20ºС до 12 месяцев с момента получения. Избегать повторения циклов замерзания/оттаивания |
| Срок хранения | 12 месяцев |
| Производитель | AssayVector |
|
Артикул
|
Наименование |
Производитель
|
|---|
|
Артикул
|
Наименование |
Производитель
|
|---|
|
Артикул
|
Наименование |
Производитель
|
|---|
|
Артикул
|
Наименование |
Производитель
|
|---|
|
Артикул
|
Наименование |
Производитель
|
|---|
Акции и предложения
Популярные продукты:
Chicken cystathionine β synthase(CBS) ELISA kit (E12C1414)
Организм: курица
Human Genistein ELISA kit (E01G0608)
Организм: человек

