| UNIPROT | P09237 |
| Иммуноген | Синтетический пептид, соответствующий human MMP7 на С-конце |
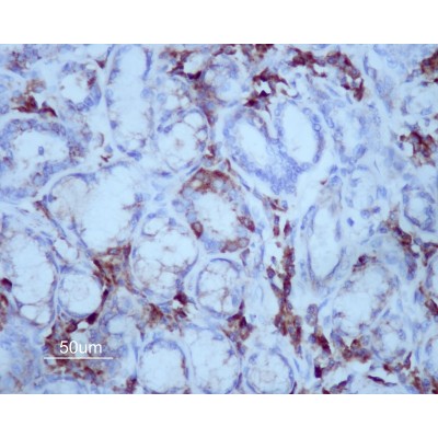
MMP7 Antibody (DF6134)
Реактивность подтвержденная:
человек, мышь, крыса
Источник (хозяин):
кролик
Валидировано для:
IHC
WB
IF
ICC
Характеристики
Техническое описание
| Каталожный номер | DF6134 |
| Название антигена | Matrix Metalloproteinase 7 (MMP7) |
| UNIPROT | P09237 |
| Иммуноген | Синтетический пептид, соответствующий human MMP7 на С-конце |
| Английские синонимы | MPSL1, MAT, PUMP-1, Matrilysin Uterine, Matrilysin, Matrin, Pump-1 Protease, Uterine Metalloproteinase, MMP-7 |
| Русские синонимы | ММП7, ММП-7, Матрилизин |
Реактивность подтвержденная Нужна другая реактивность? |
человек, мышь, крыса |
| Реактивность предсказываемая | свинья, корова, овца, кролик, собака, курица |
| Источник (хозяин) | кролик |
| Изотип | IgG |
| Клональность | поликлональное |
| Рекомбинантное | нет |
| Готовое к использованию | нет |
| Концентрация | 1 мг/мл |
| Конъюгат | нет |
| Валидировано для | IHC WB IF ICC Иммуногистохимия; Вестерн-блоттинг; Иммунофлуоресценция; Иммуноцитохимия |
| Рекомендуемые разведения | WB: 1:500-1:2000; IHC: 1:50-1:200; IF/ICC: 1:100-1:500; Оптимальное разведение определяется конечным потребителем |
| Метод очистки | Антисыворотку очищали методом аффинной хроматографии пептидов с использованием связывающей смолы SulfoLink® (Thermo Fisher Scientific) |
| Состав буфера | Rabbit IgG в PBS; pH 7.4; 150mM NaCl; 0.02% азид натрия и 50% глицерин |
| RRID | AB_2838101 |
| Условия доставки | Термобокс с аккумуляторами холода |
| Условия хранения | Хранить при -20ºС. Стабилен 12 месяцев с даты получения |
| Срок хранения | 12 месяцев |
| Производитель | Affinity |
| Ссылка на страницу товара на сайте производителя | https://www.affbiotech.com/goods-4936-DF6134-MMP7_Antibody.html |
|
Артикул
|
Наименование |
Производитель
|
|---|
|
Артикул
|
Наименование |
Производитель
|
|---|
|
Артикул
|
Наименование |
Производитель
|
|---|
|
Артикул
|
Наименование |
Производитель
|
|---|
|
Артикул
|
Наименование |
Производитель
|
|---|
|
Артикул
|
Наименование |
Производитель
|
|---|
|
Артикул
|
Наименование |
Производитель
|
|---|
Акции и предложения
Популярные продукты:
ELISA Kit DIY Materials for Steroid 5 Alpha Reductase 2 (SRD5a2) (KSM285Hu01)
Организм: человек
Диапазон определения: 0.312-20 нг/мл
Чувствительность: 0.117 нг/мл
Диапазон определения: 0.312-20 нг/мл
Чувствительность: 0.117 нг/мл
Goat Cystatin 8(CST8) ELISA kit (E06C2127)
Организм: коза
Rabbit Bile salt sulfotransferase(SULT2A1) ELISA kit (E04B0976)
Организм: кролик
Guinea Pig Peripherin ELISA kit (E05P1061)
Организм: морская свинка
Monkey Claudin 3(CLDN3) ELISA kit (E09C0987)
Организм: обезьяна
Sheep Tyrosine protein kinase Lck(LCK) ELISA kit (E14T0623)
Организм: овца

