| UNIPROT | P02764 |
| Иммуноген | RPA816Ra02-Recombinant Alpha-1-Acid Glycoprotein (a1AGP) |
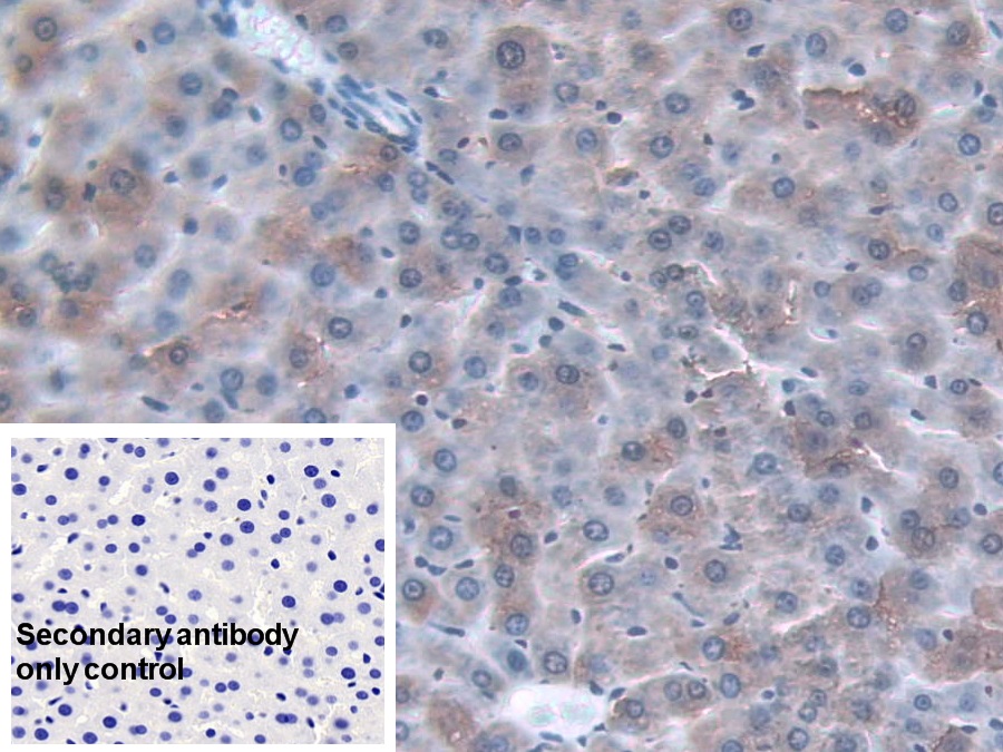
Monoclonal Antibody to Alpha-1-Acid Glycoprotein (a1AGP) (MAA816Ra25)
Реактивность подтвержденная:
крыса
Источник (хозяин):
мышь
Валидировано для:
IHC
Характеристики
Техническое описание
| Русское название | MAA816Ra25 Моноклональное антитело к a1AGP (крыса) <Cloud-Clone,Китай> |
| Каталожный номер | MAA816Ra25 |
| Название антигена | Alpha-1-Acid Glycoprotein (a1AGP) |
| UNIPROT | P02764 |
| Иммуноген | RPA816Ra02-Recombinant Alpha-1-Acid Glycoprotein (a1AGP) |
| Английские синонимы | AGP1, a1-AGP, ORM1, OMD 1, Orosomucoid 1 |
Реактивность подтвержденная Нужна другая реактивность? |
крыса |
| Источник (хозяин) | мышь |
| Изотип | IgG2b Kappa |
| Клональность | моноклональное |
| Клон | C8 |
| Рекомбинантное | нет |
| Готовое к использованию | нет |
| Концентрация | 1 мг/мл |
| Конъюгат | По запросу: HRP, biotin, PerCP, PE, Cy3, FITC, Cy7, Cy5.5, PE-Cy5, PE-Cy7, PerCp-Cy5.5, APC, Cy5, PE-Cy3, PE-Cy5.5, APC-Cy7, Biotin-APC, FITC-Biotin, TRITC, APC-Cy5, AF488, AF594, AF405, AF555, AF700, AF647, AF750 |
| Валидировано для | IHC Иммуногистохимия |
| Рекомендуемые разведения | IHC: 5-30 мкг/мл; Оптимальное разведение определяется конечным потребителем |
| Метод очистки | Аффинная хроматография с белком А и белком G |
| Состав буфера | 0.01M PBS, pH7.4, 0.05% Proclin-300, 50% глицерин |
| Условия доставки | термобокс с аккумуляторами холода |
| Условия хранения | Сразу после получения аликвотировать и хранить при -20ºС до 24 месяцев. Для частого использования хранить при +4ºС не более 2 недель. Избегать повторения циклов замерзания/оттаивания |
| Срок хранения | 24 месяца |
| Производитель | Cloud-Clone Corp. |
| Ссылка на страницу товара на сайте производителя | http://www.cloud-clone.com/products/MAA816Ra25.html |
|
Артикул
|
Наименование |
Производитель
|
|---|
|
Артикул
|
Наименование |
Производитель
|
|---|
|
Артикул
|
Наименование |
Производитель
|
|---|
|
Артикул
|
Наименование |
Производитель
|
|---|
|
Артикул
|
Наименование |
Производитель
|
|---|
|
Артикул
|
Наименование |
Производитель
|
|---|
|
Артикул
|
Наименование |
Производитель
|
|---|
Акции и предложения
Популярные продукты:
Brd4 Mouse Monoclonal Antibody (BF9440)
Источник (хозяин): мышь
Реактивность подтвержденная: человек
Валидировано для: WB
Реактивность подтвержденная: человек
Валидировано для: WB
EPHA2 Mouse Monoclonal Antibody (BF8406)
Источник (хозяин): мышь
Реактивность подтвержденная: человек
Валидировано для: ICC, IF, WB
Реактивность подтвержденная: человек
Валидировано для: ICC, IF, WB
Anti-Aspergillus Galactomannan Antibody (SAb2309) (RGP16401)
Источник (хозяин): мышь
Реактивность подтвержденная: грибы
Валидировано для: ELISA
Реактивность подтвержденная: грибы
Валидировано для: ELISA
Anti-Cluster Of Differentiation 14 (CD14) Monoclonal Antibody (FAA685Hu06)
Источник (хозяин): мышь
Реактивность подтвержденная: человек
Валидировано для: FCM
Реактивность подтвержденная: человек
Валидировано для: FCM
Sheep Caprin 1(CAPRIN1) ELISA kit (E14C1368)
Организм: овца
Sheep Centrobin(CNTROB) ELISA kit (E14C1877)
Организм: овца

