| UNIPROT | P35222 |
| Иммуноген | RPB021Hu01-Recombinant Beta Catenin (β-catenin) |
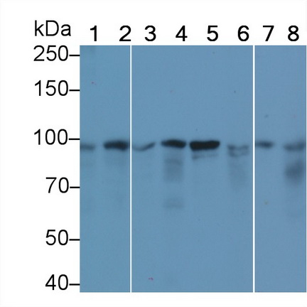
Monoclonal Antibody to Beta Catenin (β-catenin) (MAB021Hu27)
Реактивность подтвержденная:
человек
Источник (хозяин):
мышь
Валидировано для:
IHC
WB
Характеристики
Техническое описание
| Русское название | MAB021Hu27 Моноклональное антитело к β-catenin (человек) <Cloud-Clone,Китай> |
| Каталожный номер | MAB021Hu27 |
| Название антигена | Catenin Beta 1 (CTNNb1) |
| UNIPROT | P35222 |
| Иммуноген | RPB021Hu01-Recombinant Beta Catenin (β-catenin) |
| Английские синонимы | bCat, b-Cat, CTNN-B1, Cadherin-Associated Protein, beta-catenin |
| Русские синонимы | бета-катенин, бета катенин |
Реактивность подтвержденная Нужна другая реактивность? |
человек |
| Реактивность предсказываемая | мышь, крыса, морская свинка, собака, свинья, корова, курица |
| Источник (хозяин) | мышь |
| Изотип | IgG2b Kappa |
| Клональность | моноклональное |
| Клон | C7 |
| Рекомбинантное | нет |
| Готовое к использованию | нет |
| Концентрация | 1 мг/мл |
| Конъюгат | По запросу: HRP, biotin, PerCP, PE, Cy3, FITC, Cy7, Cy5.5, PE-Cy5, PE-Cy7, PerCp-Cy5.5, APC, Cy5, PE-Cy3, PE-Cy5.5, APC-Cy7, Biotin-APC, FITC-Biotin, TRITC, APC-Cy5, AF488, AF594, AF405, AF555, AF700, AF647, AF750 |
| Валидировано для | IHC WB Иммуногистохимия; Вестерн-блоттинг |
| Рекомендуемые разведения | WB: 0.5-2 мкг/мл; IHC: 5-20 мкг/мл; ICC: 5-20 мкг/мл; Оптимальное разведение определяется конечным потребителем |
| Метод очистки | Аффинная хроматография с белком А и белком G |
| Состав буфера | 0.01M PBS, pH7.4, 0.05% Proclin-300, 50% глицерин |
| Условия доставки | термобокс с аккумуляторами холода |
| Условия хранения | Сразу после получения аликвотировать и хранить при -20ºС до 24 месяцев. Для частого использования хранить при +4ºС не более 2 недель. Избегать повторения циклов замерзания/оттаивания |
| Срок хранения | 24 месяца |
| Производитель | Cloud-Clone Corp. |
| Ссылка на страницу товара на сайте производителя | http://www.cloud-clone.com/products/MAB021Hu27.html |
|
Артикул
|
Наименование |
Производитель
|
|---|
|
Артикул
|
Наименование |
Производитель
|
|---|
|
Артикул
|
Наименование |
Производитель
|
|---|
|
Артикул
|
Наименование |
Производитель
|
|---|
|
Артикул
|
Наименование |
Производитель
|
|---|
|
Артикул
|
Наименование |
Производитель
|
|---|
|
Артикул
|
Наименование |
Производитель
|
|---|
|
Артикул
|
Наименование |
Производитель
|
|---|
|
Артикул
|
Наименование |
Производитель
|
|---|
|
Артикул
|
Наименование |
Производитель
|
|---|
Акции и предложения
Популярные продукты:
Recombinant Mouse ALK4/ACVR1B Protein (Fc Tag) (PKSM040959)
Источник (хозяин): HEK293
Организм: мышь
Фрагмент: Leu32-Glu126
Теги: C-Fc
Биоактивность: нет
Организм: мышь
Фрагмент: Leu32-Glu126
Теги: C-Fc
Биоактивность: нет
Anti-CD121a/IL1R1 Antibody (R3D68) (RHD06701)
Источник (хозяин): мышь
Реактивность подтвержденная: человек
Валидировано для: ELISA, FCM, WB
Реактивность подтвержденная: человек
Валидировано для: ELISA, FCM, WB
KLKB1 Polyclonal Antibody (E-AB-66050)
Источник (хозяин): кролик
Реактивность подтвержденная: человек, мышь, крыса
Валидировано для: IHC, WB
Реактивность подтвержденная: человек, мышь, крыса
Валидировано для: IHC, WB
Monoclonal Antibody to Beta Catenin (β-catenin) (MAB021Hu27)
Источник (хозяин): мышь
Реактивность подтвержденная: человек
Валидировано для: IHC, WB
Реактивность подтвержденная: человек
Валидировано для: IHC, WB
Monoclonal Antibody to Beta Catenin (β-catenin) (MAB021Hu25)
Источник (хозяин): мышь
Реактивность подтвержденная: человек
Валидировано для: IHC, WB
Реактивность подтвержденная: человек
Валидировано для: IHC, WB
ELISA Kit for Interleukin 17F (IL17F) (SEB955Mu)
Организм: мышь
Диапазон определения: 15.6-1000 пг/мл
Чувствительность: 6.1 пг/мл
Диапазон определения: 15.6-1000 пг/мл
Чувствительность: 6.1 пг/мл

