| UNIPROT | P08571 |
| Иммуноген | RPA685Hu02-Recombinant Cluster Of Differentiation 14 (CD14) |
Monoclonal Antibody to Cluster Of Differentiation 14 (CD14) (MAA685Hu21)
Реактивность подтвержденная:
человек
Источник (хозяин):
мышь
Валидировано для:
IHC
WB
Характеристики
Техническое описание
| Русское название | MAA685Hu21 Моноклональное антитело к CD14 (человек) <Cloud-Clone,Китай> |
| Каталожный номер | MAA685Hu21 |
| Название антигена | Cluster Of Differentiation 14 (CD14) |
| UNIPROT | P08571 |
| Иммуноген | RPA685Hu02-Recombinant Cluster Of Differentiation 14 (CD14) |
| Английские синонимы | CD-14, CD 14, Monocyte differentiation antigen CD14, Myeloid cell-specific leucine-rich glycoprotein, sCD14, sCD-14, presepsin, sCD14-ST |
| Русские синонимы | Кластер дифференцировки 14, пресепсин, ИД101 |
Реактивность подтвержденная Нужна другая реактивность? |
человек |
| Реактивность предсказываемая | свинья |
| Источник (хозяин) | мышь |
| Изотип | IgG1 Kappa |
| Клональность | моноклональное |
| Клон | C10 |
| Рекомбинантное | нет |
| Готовое к использованию | нет |
| Концентрация | 1 мг/мл |
| Конъюгат | По запросу: HRP, biotin, PerCP, PE, Cy3, FITC, Cy7, Cy5.5, PE-Cy5, PE-Cy7, PerCp-Cy5.5, APC, Cy5, PE-Cy3, PE-Cy5.5, APC-Cy7, Biotin-APC, FITC-Biotin, TRITC, APC-Cy5, AF488, AF594, AF405, AF555, AF700, AF647, AF750 |
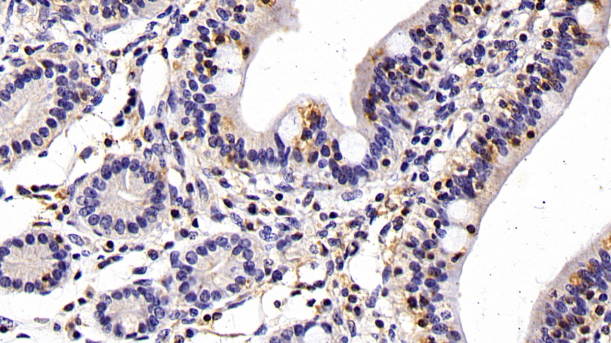
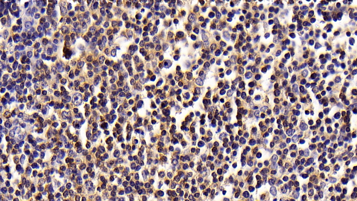
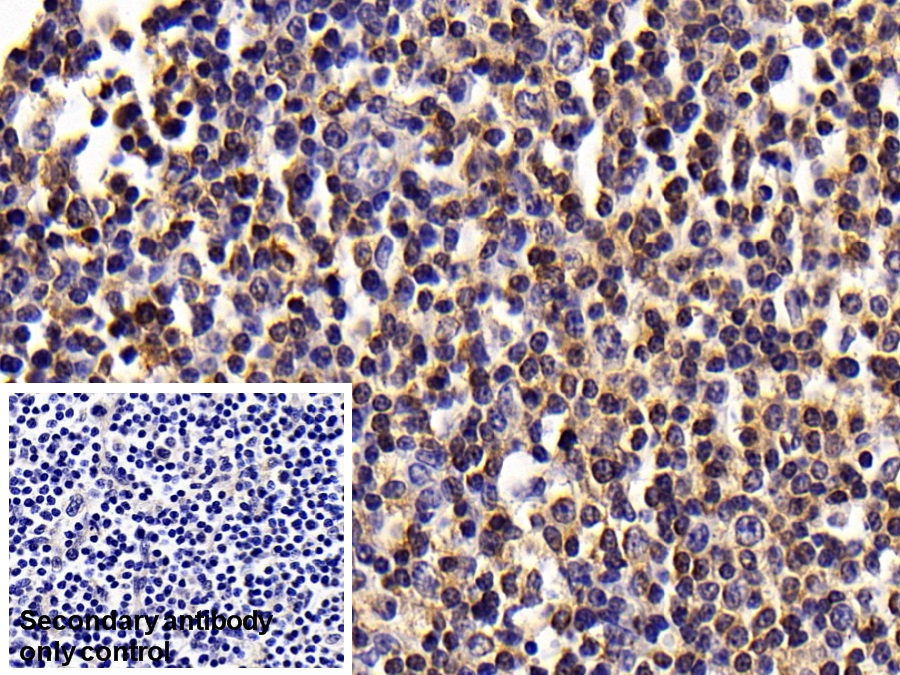
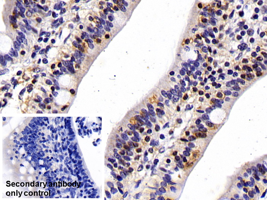
| Валидировано для | IHC WB Иммуногистохимия; Вестерн-блоттинг |
| Рекомендуемые разведения | WB: 0.01-2 мкг/мл; IHC: 5-20 мкг/мл; IF: 5-20 мкг/мл; Оптимальное разведение определяется конечным потребителем |
| Метод очистки | Аффинная хроматография с белком А и белком G |
| Состав буфера | 0.01M PBS, pH7.4, 0.05% Proclin-300, 50% глицерин |
| Условия доставки | термобокс с аккумуляторами холода |
| Условия хранения | Сразу после получения аликвотировать и хранить при -20ºС до 24 месяцев. Для частого использования хранить при +4ºС не более 2 недель. Избегать повторения циклов замерзания/оттаивания |
| Срок хранения | 24 месяца |
| Производитель | Cloud-Clone Corp. |
| Ссылка на страницу товара на сайте производителя | http://www.cloud-clone.com/products/MAA685Hu21.html |
|
Артикул
|
Наименование |
Производитель
|
|---|
|
Артикул
|
Наименование |
Производитель
|
|---|
|
Артикул
|
Наименование |
Производитель
|
|---|
|
Артикул
|
Наименование |
Производитель
|
|---|
|
Артикул
|
Наименование |
Производитель
|
|---|
|
Артикул
|
Наименование |
Производитель
|
|---|
Акции и предложения
Популярные продукты:
Recombinant T-Box Protein 5 (TBX5) (RPH856Mu01)
Источник (хозяин): E.coli
Организм: мышь
Фрагмент: Met51-Gln251
Теги: N-концевой His-Tag
Биоактивность: нет
Организм: мышь
Фрагмент: Met51-Gln251
Теги: N-концевой His-Tag
Биоактивность: нет
InVivoMAb Anti-Human IL16 Antibody (FS0292) (VHG68801)
Источник (хозяин): мышь
Реактивность подтвержденная: человек
Валидировано для: ELISA, NEUT
Реактивность подтвержденная: человек
Валидировано для: ELISA, NEUT
Anti-Neutrophil gelatinase-associated lipocalin (NGAL) Monoclonal Antibody (FAB388Hu04)
Источник (хозяин): мышь
Реактивность подтвержденная: человек
Валидировано для: FCM
Реактивность подтвержденная: человек
Валидировано для: FCM
Human Trafficking protein particle complex subunit 3(TRAPPC3) ELISA kit (E01T0731)
Организм: человек
Диапазон определения: 100-2500 пг/мл
Чувствительность: 1 пг/мл
Диапазон определения: 100-2500 пг/мл
Чувствительность: 1 пг/мл

