| UNIPROT | Q29549 |
| Иммуноген | RPB180Po01-Recombinant Clusterin (CLU) |
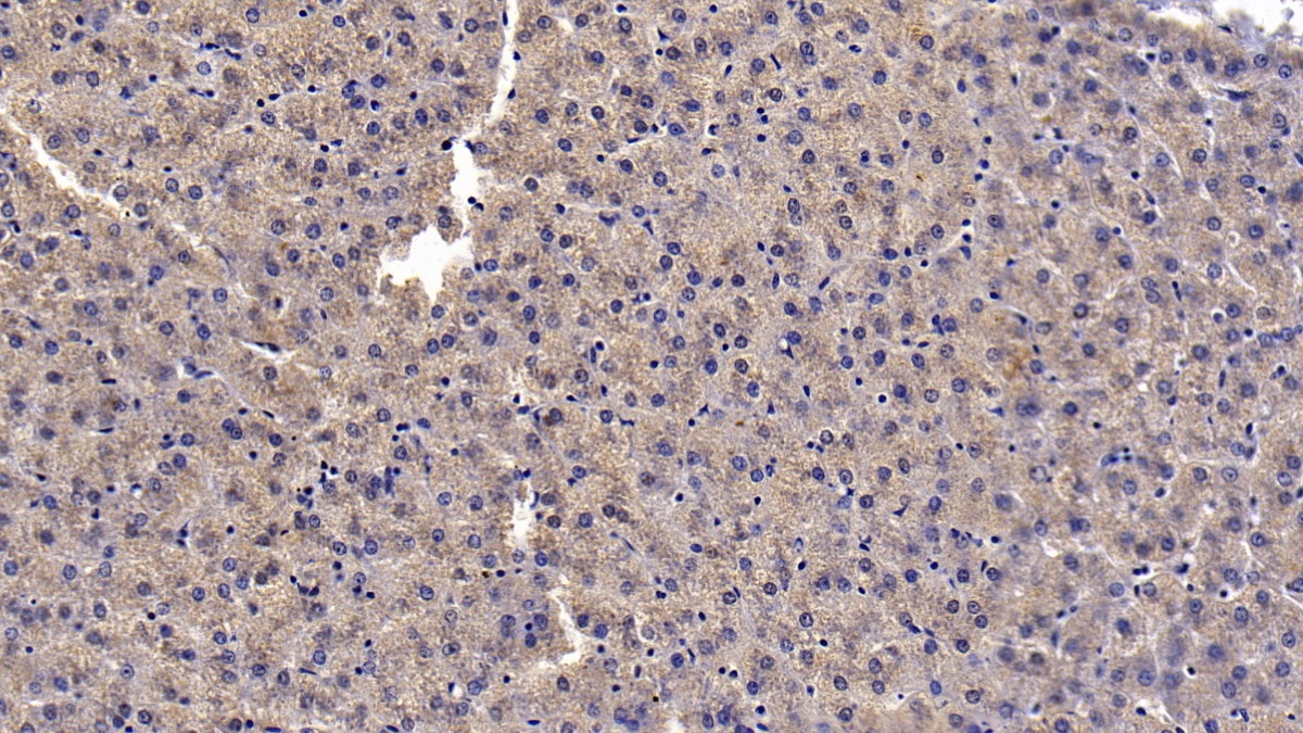
Monoclonal Antibody to Clusterin (CLU) (MAB180Po29)
Реактивность подтвержденная:
свинья
Источник (хозяин):
мышь
Валидировано для:
IHC
WB
Характеристики
Техническое описание
| Русское название | MAB180Po29 Моноклональное антитело к CLU (свинья) <Cloud-Clone,Китай> |
| Каталожный номер | MAB180Po29 |
| Название антигена | Clusterin (CLU) |
| UNIPROT | Q29549 |
| Иммуноген | RPB180Po01-Recombinant Clusterin (CLU) |
| Английские синонимы | CLU, TRPM2, KUB1, CLI, APOJ, SGP2, AAG4, APO-J, SP-40, Apolipoprotein J, Complement Lysis Inhibitor, 40,Sulfated Glycoprotein 2, Testosterone-Repressed Prostate Message 2 |
| Русские синонимы | Аполипопротеин J, димерный кислый гликопротеин, репрессируемый тестостероном маркер простаты-2, сульфатированный гликопротеин-2, ингибитор лизиса, опосредованного комплементом |
Реактивность подтвержденная Нужна другая реактивность? |
свинья |
| Источник (хозяин) | мышь |
| Изотип | IgG1 Kappa |
| Клональность | моноклональное |
| Клон | D22 |
| Рекомбинантное | нет |
| Готовое к использованию | нет |
| Концентрация | 1 мг/мл |
| Конъюгат | По запросу: HRP, biotin, PerCP, PE, Cy3, FITC, Cy7, Cy5.5, PE-Cy5, PE-Cy7, PerCp-Cy5.5, APC, Cy5, PE-Cy3, PE-Cy5.5, APC-Cy7, Biotin-APC, FITC-Biotin, TRITC, APC-Cy5, AF488, AF594, AF405, AF555, AF700, AF647, AF750 |
| Валидировано для | IHC WB Иммуногистохимия; Вестерн-блоттинг |
| Рекомендуемые разведения | WB: 0.5-2 мкг/мл; IHC: 5-20 мкг/мл; ICC: 5-20 мкг/мл; Оптимальное разведение определяется конечным потребителем |
| Метод очистки | Аффинная хроматография с белком А и белком G |
| Состав буфера | 0.01M PBS, pH7.4, 0.05% Proclin-300, 50% глицерин |
| Условия доставки | термобокс с аккумуляторами холода |
| Условия хранения | Сразу после получения аликвотировать и хранить при -20ºС до 24 месяцев. Для частого использования хранить при +4ºС не более 2 недель. Избегать повторения циклов замерзания/оттаивания |
| Срок хранения | 24 месяца |
| Производитель | Cloud-Clone Corp. |
| Ссылка на страницу товара на сайте производителя | http://www.cloud-clone.com/products/MAB180Po29.html |
|
Артикул
|
Наименование |
Производитель
|
|---|
|
Артикул
|
Наименование |
Производитель
|
|---|
|
Артикул
|
Наименование |
Производитель
|
|---|
|
Артикул
|
Наименование |
Производитель
|
|---|
|
Артикул
|
Наименование |
Производитель
|
|---|
|
Артикул
|
Наименование |
Производитель
|
|---|
|
Артикул
|
Наименование |
Производитель
|
|---|
|
Артикул
|
Наименование |
Производитель
|
|---|
|
Артикул
|
Наименование |
Производитель
|
|---|
|
Артикул
|
Наименование |
Производитель
|
|---|
|
Артикул
|
Наименование |
Производитель
|
|---|
Акции и предложения
Популярные продукты:
Monkey Cullin 3(CUL3) ELISA kit (E09C2183)
Организм: обезьяна
Porcine Telomerase Reverse Transcriptase (TERT) ELISA Kit (E07T0063)
Организм: свинья
Chicken CD97 ELISA kit (E12C0579)
Организм: курица
Porcine Alkaline Phosphatase, Intestinal ELISA kit (E07A0370)
Организм: свинья
Anti-SLC40A1 Polyclonal Antibody (PHJ61901)
Источник (хозяин): кролик
Реактивность подтвержденная: человек, мышь, крыса
Валидировано для: ELISA, IHC, WB
Реактивность подтвержденная: человек, мышь, крыса
Валидировано для: ELISA, IHC, WB

