| UNIPROT | Q12884 |
| Иммуноген | RPC469Hu01-Recombinant Fibroblast Activation Protein Alpha (FAPa) |
Monoclonal Antibody to Fibroblast Activation Protein Alpha (FAPa) (MAC469Hu23)
Реактивность подтвержденная:
человек
Источник (хозяин):
мышь
Валидировано для:
ICC
IHC
WB
Характеристики
Техническое описание
| Русское название | MAC469Hu23 Моноклональное антитело к FAPa (человек) <Cloud-Clone,Китай> |
| Каталожный номер | MAC469Hu23 |
| Название антигена | Fibroblast Activation Protein Alpha (FAPa) |
| UNIPROT | Q12884 |
| Иммуноген | RPC469Hu01-Recombinant Fibroblast Activation Protein Alpha (FAPa) |
| Английские синонимы | APCE, SIMP, DPPIV, Seprase, 170 kDa melanoma membrane-bound gelatinase, Post-proline cleaving enzyme, Serine integral membrane protease, Surface-expressed protease |
Реактивность подтвержденная Нужна другая реактивность? |
человек |
| Источник (хозяин) | мышь |
| Изотип | IgG2b Kappa |
| Клональность | моноклональное |
| Клон | D2 |
| Рекомбинантное | нет |
| Готовое к использованию | нет |
| Концентрация | 1 мг/мл |
| Конъюгат | По запросу: HRP, biotin, PerCP, PE, Cy3, FITC, Cy7, Cy5.5, PE-Cy5, PE-Cy7, PerCp-Cy5.5, APC, Cy5, PE-Cy3, PE-Cy5.5, APC-Cy7, Biotin-APC, FITC-Biotin, TRITC, APC-Cy5, AF488, AF594, AF405, AF555, AF700, AF647, AF750 |
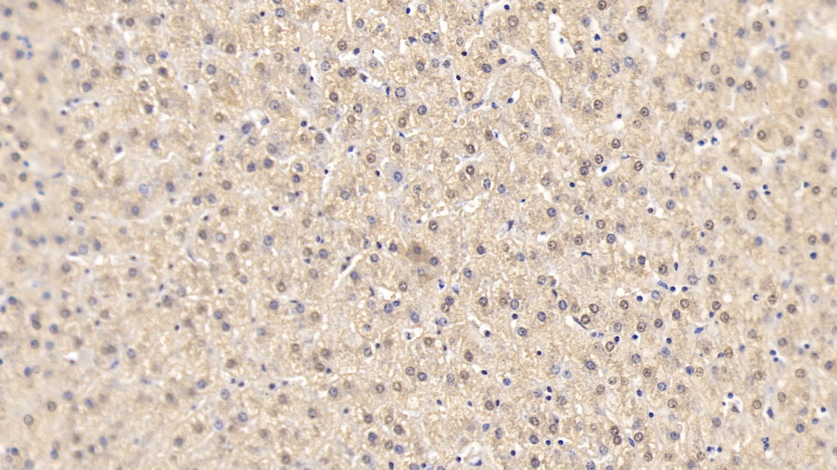
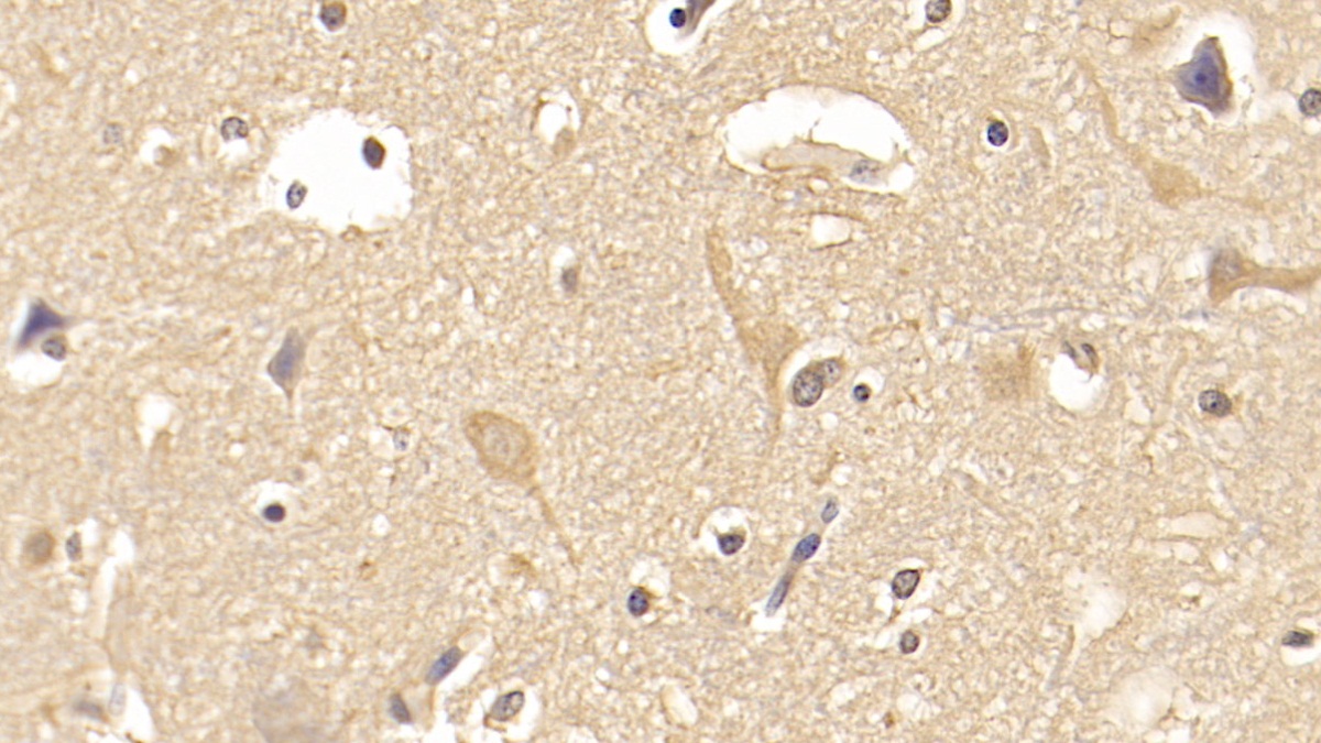
| Валидировано для | ICC IHC WB Иммуноцитохимия; Иммуногистохимия; Вестерн-блоттинг |
| Рекомендуемые разведения | WB: 0.01-2 мкг/мл; IHC: 5-20 мкг/мл; ICC: 5-20 мкг/мл; Оптимальное разведение определяется конечным потребителем |
| Метод очистки | Аффинная хроматография с белком А и белком G |
| Состав буфера | PBS, pH7.4, 0.02% NaN3, 50% глицерин |
| Условия доставки | термобокс с аккумуляторами холода |
| Условия хранения | Сразу после получения аликвотировать и хранить при -20ºС до 24 месяцев. Для частого использования хранить при +4ºС не более 2 недель. Избегать повторения циклов замерзания/оттаивания |
| Срок хранения | 24 месяца |
| Производитель | Cloud-Clone Corp. |
| Ссылка на страницу товара на сайте производителя | http://www.cloud-clone.com/products/MAC469Hu23.html |
|
Артикул
|
Наименование |
Производитель
|
|---|
|
Артикул
|
Наименование |
Производитель
|
|---|
|
Артикул
|
Наименование |
Производитель
|
|---|
|
Артикул
|
Наименование |
Производитель
|
|---|
|
Артикул
|
Наименование |
Производитель
|
|---|
Акции и предложения
Популярные продукты:
Sheep Myozenin 1(MYOZ1) ELISA kit (E14M0425)
Организм: овца
Bovine Neuraminidase ELISA kit (E11N0003)
Организм: корова
Recombinant Human Interleukin-23/IL-23 (C-Fc) (PKSH033874)
Источник (хозяин): HEK293
Организм: человек
Фрагмент: Ile23-Ser328&Ala21-Pro189
Теги: C-Fc
Биоактивность: да
Организм: человек
Фрагмент: Ile23-Ser328&Ala21-Pro189
Теги: C-Fc
Биоактивность: да
Recombinant Human CD4/LEU3 Protein (aa 1-208, His Tag) (PKSH031631)
Источник (хозяин): HEK293
Организм: человек
Фрагмент: Met 1-Ser 208
Теги: C-His
Биоактивность: да
Организм: человек
Фрагмент: Met 1-Ser 208
Теги: C-His
Биоактивность: да
Recombinant Mouse FOLR1 Protein (aa 1-231, His Tag) (PKSM040605)
Источник (хозяин): HEK293
Организм: мышь
Фрагмент: Met 1-Met 231
Теги: C-His
Биоактивность: нет
Организм: мышь
Фрагмент: Met 1-Met 231
Теги: C-His
Биоактивность: нет
Recombinant Mouse IL-12 p40 protein(His Tag) (PKSM041465)
Источник (хозяин): E.coli
Организм: мышь
Фрагмент: Met 23-Ser 335
Теги: C-His
Биоактивность: да
Организм: мышь
Фрагмент: Met 23-Ser 335
Теги: C-His
Биоактивность: да

