| UNIPROT | P01308 |
| Иммуноген | RPA448Hu01-Recombinant Insulin (INS) |
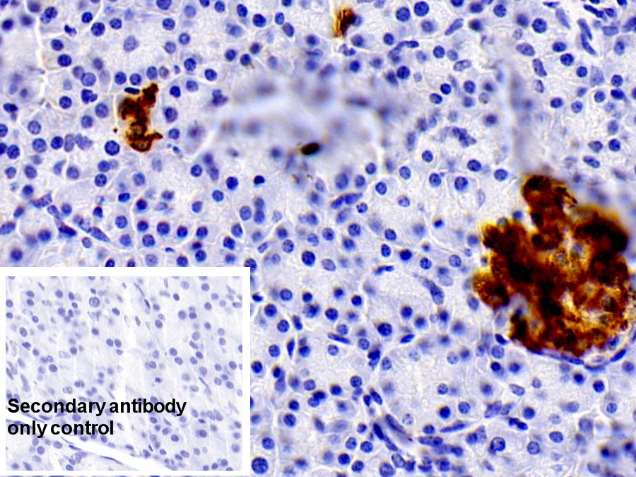
Monoclonal Antibody to Insulin (INS) (MAA448Hu25)
Реактивность подтвержденная:
человек
Источник (хозяин):
мышь
Валидировано для:
IHC
Характеристики
Техническое описание
| Русское название | MAA448Hu25 Моноклональное антитело к INS (человек) <Cloud-Clone,Китай> |
| Каталожный номер | MAA448Hu25 |
| Название антигена | Insulin (INS) |
| UNIPROT | P01308 |
| Иммуноген | RPA448Hu01-Recombinant Insulin (INS) |
Реактивность подтвержденная Нужна другая реактивность? |
человек |
| Реактивность предсказываемая | свинья |
| Источник (хозяин) | мышь |
| Изотип | IgG1 Kappa |
| Клональность | моноклональное |
| Клон | H13 |
| Рекомбинантное | нет |
| Готовое к использованию | нет |
| Концентрация | 1 мг/мл |
| Конъюгат | По запросу: HRP, biotin, PerCP, PE, Cy3, FITC, Cy7, Cy5.5, PE-Cy5, PE-Cy7, PerCp-Cy5.5, APC, Cy5, PE-Cy3, PE-Cy5.5, APC-Cy7, Biotin-APC, FITC-Biotin, TRITC, APC-Cy5, AF488, AF594, AF405, AF555, AF700, AF647, AF750 |
| Валидировано для | IHC Иммуногистохимия |
| Рекомендуемые разведения | WB: 0.5-2 мкг/мл; IHC: 5-20 мкг/мл; ICC: 5-20 мкг/мл; Оптимальное разведение определяется конечным потребителем |
| Метод очистки | Аффинная хроматография с белком А и белком G |
| Состав буфера | 0.01M PBS, pH7.4, 0.05% Proclin-300, 50% глицерин |
| Условия доставки | термобокс с аккумуляторами холода |
| Условия хранения | Сразу после получения аликвотировать и хранить при -20ºС до 24 месяцев. Для частого использования хранить при +4ºС не более 2 недель. Избегать повторения циклов замерзания/оттаивания |
| Срок хранения | 24 месяца |
| Производитель | Cloud-Clone Corp. |
| Ссылка на страницу товара на сайте производителя | http://www.cloud-clone.com/products/MAA448Hu25.html |
|
Артикул
|
Наименование |
Производитель
|
|---|
|
Артикул
|
Наименование |
Производитель
|
|---|
|
Артикул
|
Наименование |
Производитель
|
|---|
|
Артикул
|
Наименование |
Производитель
|
|---|
|
Артикул
|
Наименование |
Производитель
|
|---|
|
Артикул
|
Наименование |
Производитель
|
|---|
|
Артикул
|
Наименование |
Производитель
|
|---|
|
Артикул
|
Наименование |
Производитель
|
|---|
|
Артикул
|
Наименование |
Производитель
|
|---|
|
Артикул
|
Наименование |
Производитель
|
|---|
Акции и предложения
Популярные продукты:
ELISA Kit for Histone Cluster 1, H4a (HIST1H4A) (SEQ004Hu)
Организм: человек
Диапазон определения: 0.156-10 нг/мл
Чувствительность: 0.054 нг/мл
Диапазон определения: 0.156-10 нг/мл
Чувствительность: 0.054 нг/мл
Human GTPase NRas(NRAS) ELISA kit (E01G0453)
Организм: человек
Monkey Syndecan 1/CD138 ELISA kit (E09S0301)
Организм: обезьяна
Диапазон определения: 5-100 нг/мл
Чувствительность: 1 нг/мл
Диапазон определения: 5-100 нг/мл
Чувствительность: 1 нг/мл
Monkey Glucocorticoid Induced Tumor Necrosis Factor Receptor ELISA Kit (E09G0586)
Организм: обезьяна
Диапазон определения: 2.5-50 нг/мл
Диапазон определения: 2.5-50 нг/мл
Goat Deoxyribonuclease-1(DNASE1) ELISA kit (E06D0290)
Организм: коза

