| UNIPROT | P05231 |
| Иммуноген | EPA079Hu61-Eukaryotic Interleukin 6 (IL6) |
Monoclonal Antibody to Interleukin 6 (IL6) (MAA079Hu25)
Реактивность подтвержденная:
человек
Источник (хозяин):
мышь
Валидировано для:
ICC
IHC
WB
Характеристики
Техническое описание
| Русское название | MAA079Hu25 Моноклональное антитело к IL6 (человек) <Cloud-Clone,Китай> |
| Каталожный номер | MAA079Hu25 |
| Название антигена | Interleukin 6 (IL6) |
| UNIPROT | P05231 |
| Иммуноген | EPA079Hu61-Eukaryotic Interleukin 6 (IL6) |
| Английские синонимы | IL-6, MGI2-A, MGI2A, HGF, BSF2, HSF, IFNB2, B-Cell Stimulatory Factor-2, Hybridoma/Plasmacytoma Growth Factor, Hepatocyte Stimulating Factor, Cytotoxic T-Cell Differentiation Factor |
| Русские синонимы | ИЛ6, ИЛ-6 |
Реактивность подтвержденная Нужна другая реактивность? |
человек |
| Источник (хозяин) | мышь |
| Изотип | IgG1 Kappa |
| Клональность | моноклональное |
| Клон | H25 |
| Рекомбинантное | нет |
| Готовое к использованию | нет |
| Концентрация | 1 мг/мл |
| Конъюгат | По запросу: HRP, biotin, PerCP, PE, Cy3, FITC, Cy7, Cy5.5, PE-Cy5, PE-Cy7, PerCp-Cy5.5, APC, Cy5, PE-Cy3, PE-Cy5.5, APC-Cy7, Biotin-APC, FITC-Biotin, TRITC, APC-Cy5, AF488, AF594, AF405, AF555, AF700, AF647, AF750 |
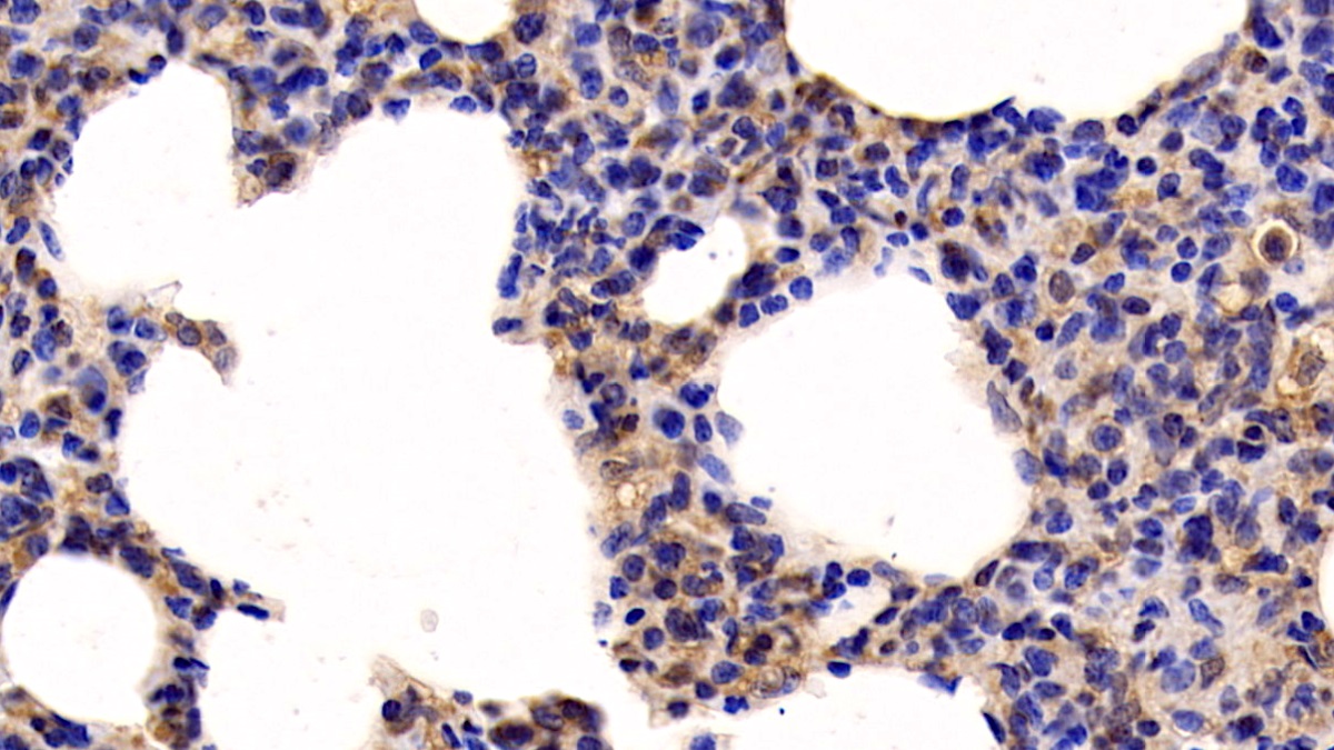
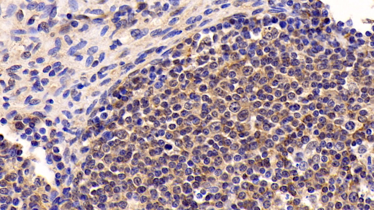
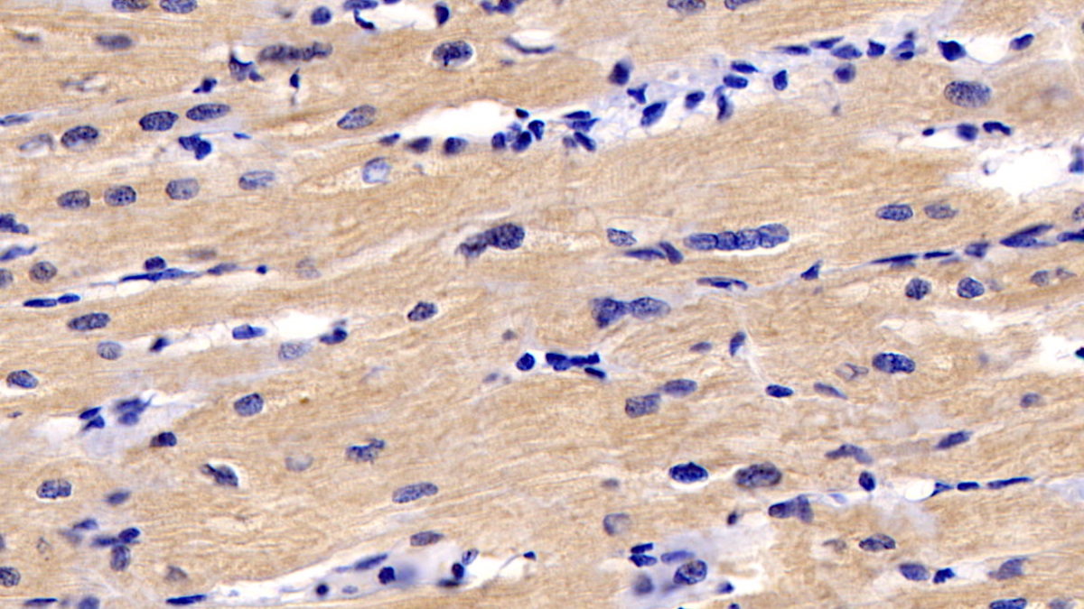
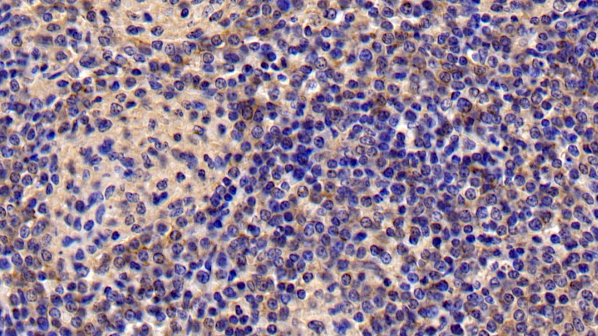
| Валидировано для | ICC IHC WB Иммуноцитохимия; Иммуногистохимия; Вестерн-блоттинг |
| Рекомендуемые разведения | WB: 0.5-3 мкг/мл; IHC: 5-30 мкг/мл; ICC: 5-30 мкг/мл; Оптимальное разведение определяется конечным потребителем |
| Метод очистки | Аффинная хроматография с белком А и белком G |
| Состав буфера | 0.01M PBS, pH7.4, 0.05% Proclin-300, 50% глицерин |
| Условия доставки | термобокс с аккумуляторами холода |
| Условия хранения | Сразу после получения аликвотировать и хранить при -20ºС до 24 месяцев. Для частого использования хранить при +4ºС не более 2 недель. Избегать повторения циклов замерзания/оттаивания |
| Срок хранения | 24 месяца |
| Производитель | Cloud-Clone Corp. |
| Ссылка на страницу товара на сайте производителя | http://www.cloud-clone.com/products/MAA079Hu25.html |
|
Артикул
|
Наименование |
Производитель
|
|---|
|
Артикул
|
Наименование |
Производитель
|
|---|
|
Артикул
|
Наименование |
Производитель
|
|---|
|
Артикул
|
Наименование |
Производитель
|
|---|
|
Артикул
|
Наименование |
Производитель
|
|---|
|
Артикул
|
Наименование |
Производитель
|
|---|
|
Артикул
|
Наименование |
Производитель
|
|---|
|
Артикул
|
Наименование |
Производитель
|
|---|
|
Артикул
|
Наименование |
Производитель
|
|---|
|
Артикул
|
Наименование |
Производитель
|
|---|
|
Артикул
|
Наименование |
Производитель
|
|---|
|
Артикул
|
Наименование |
Производитель
|
|---|
|
Артикул
|
Наименование |
Производитель
|
|---|
|
Артикул
|
Наименование |
Производитель
|
|---|
|
Артикул
|
Наименование |
Производитель
|
|---|
|
Артикул
|
Наименование |
Производитель
|
|---|
Акции и предложения
Популярные продукты:
Human Calpain 10(CAPN10) ELISA kit (E01C1354)
Организм: человек
Диапазон определения: 250-5000 пг/мл
Чувствительность: 1 пг/мл
Диапазон определения: 250-5000 пг/мл
Чувствительность: 1 пг/мл
Rabbit Phenylalanine Hydroxylase ELISA kit (E04P1249)
Организм: кролик
Canine Cadherin 17(CDH17) ELISA kit (E08C1538)
Организм: собака
Porcine Oxidosqualene Cyclase ELISA kit (E07O0326)
Организм: свинья
Guinea Pig Phosphofructokinase Platelet ELISA kit (E05P0642)
Организм: морская свинка

