| UNIPROT | P26893 |
| Иммуноген | RPA079Po01-Recombinant Interleukin 6 (IL6) |
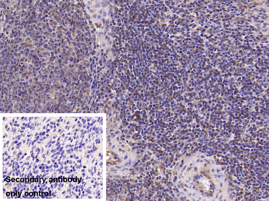
Monoclonal Antibody to Interleukin 6 (IL6) (MAA079Po27)
Реактивность подтвержденная:
свинья
Источник (хозяин):
мышь
Валидировано для:
IHC
Характеристики
Техническое описание
| Русское название | MAA079Po27 Моноклональное антитело к IL6 (свинья) <Cloud-Clone,Китай> |
| Каталожный номер | MAA079Po27 |
| Название антигена | Interleukin 6 (IL6) |
| UNIPROT | P26893 |
| Иммуноген | RPA079Po01-Recombinant Interleukin 6 (IL6) |
| Английские синонимы | IL-6, MGI2-A, MGI2A, HGF, BSF2, HSF, IFNB2, B-Cell Stimulatory Factor-2, Hybridoma/Plasmacytoma Growth Factor, Hepatocyte Stimulating Factor, Cytotoxic T-Cell Differentiation Factor |
| Русские синонимы | ИЛ6, ИЛ-6 |
Реактивность подтвержденная Нужна другая реактивность? |
свинья |
| Источник (хозяин) | мышь |
| Изотип | IgG2b Kappa |
| Клональность | моноклональное |
| Клон | C8 |
| Рекомбинантное | нет |
| Готовое к использованию | нет |
| Концентрация | 1 мг/мл |
| Конъюгат | По запросу: HRP, biotin, PerCP, PE, Cy3, FITC, Cy7, Cy5.5, PE-Cy5, PE-Cy7, PerCp-Cy5.5, APC, Cy5, PE-Cy3, PE-Cy5.5, APC-Cy7, Biotin-APC, FITC-Biotin, TRITC, APC-Cy5, AF488, AF594, AF405, AF555, AF700, AF647, AF750 |
| Валидировано для | IHC Иммуногистохимия |
| Рекомендуемые разведения | WB: 0.01-2 мкг/мл; IHC: 5-20 мкг/мл; ICC: 5-20 мкг/мл; Оптимальное разведение определяется конечным потребителем |
| Метод очистки | Аффинная хроматография с белком А и белком G |
| Состав буфера | 0.01M PBS, pH7.4, 0.05% Proclin-300, 50% глицерин |
| Условия доставки | термобокс с аккумуляторами холода |
| Условия хранения | Сразу после получения аликвотировать и хранить при -20ºС до 24 месяцев. Для частого использования хранить при +4ºС не более 2 недель. Избегать повторения циклов замерзания/оттаивания |
| Срок хранения | 24 месяца |
| Производитель | Cloud-Clone Corp. |
| Ссылка на страницу товара на сайте производителя | http://www.cloud-clone.com/products/MAA079Po27.html |
|
Артикул
|
Наименование |
Производитель
|
|---|
|
Артикул
|
Наименование |
Производитель
|
|---|
|
Артикул
|
Наименование |
Производитель
|
|---|
|
Артикул
|
Наименование |
Производитель
|
|---|
|
Артикул
|
Наименование |
Производитель
|
|---|
|
Артикул
|
Наименование |
Производитель
|
|---|
|
Артикул
|
Наименование |
Производитель
|
|---|
|
Артикул
|
Наименование |
Производитель
|
|---|
|
Артикул
|
Наименование |
Производитель
|
|---|
|
Артикул
|
Наименование |
Производитель
|
|---|
|
Артикул
|
Наименование |
Производитель
|
|---|
|
Артикул
|
Наименование |
Производитель
|
|---|
|
Артикул
|
Наименование |
Производитель
|
|---|
|
Артикул
|
Наименование |
Производитель
|
|---|
|
Артикул
|
Наименование |
Производитель
|
|---|
|
Артикул
|
Наименование |
Производитель
|
|---|
Акции и предложения
Популярные продукты:
Goat Lactic Acid ELISA kit (E06L0004)
Организм: коза
Guinea Pig Phosphatidylserine ELISA kit (E05P0727)
Организм: морская свинка
Sheep Free cholesterol ELISA kit (E14F0212)
Организм: овца
Mouse Free cholesterol ELISA kit (E03F0212)
Организм: мышь
Sheep Glycogen Phosphorylase, Brain ELISA kit (E14P0749)
Организм: овца

