| UNIPROT | P00790 |
| Иммуноген | RPA165Hu01-Recombinant Pepsinogen A (PGA) |
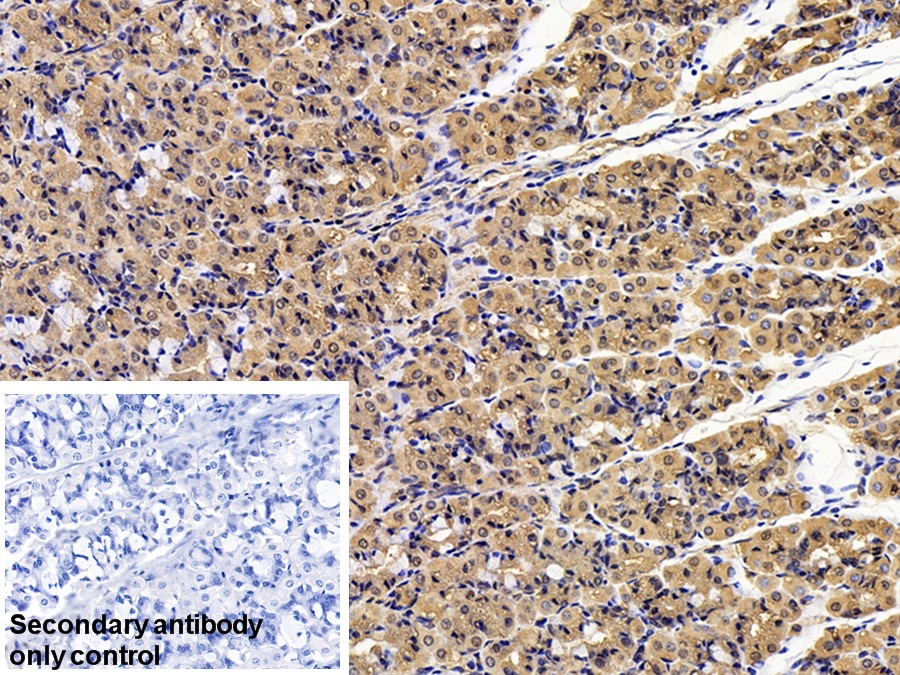
Monoclonal Antibody to Pepsinogen A (PGA) (MAA165Hu22)
Реактивность подтвержденная:
человек
Источник (хозяин):
мышь
Валидировано для:
IHC
WB
Характеристики
Техническое описание
| Русское название | MAA165Hu22 Моноклональное антитело к PGA (человек) <Cloud-Clone,Китай> |
| Каталожный номер | MAA165Hu22 |
| Название антигена | Pepsinogen A (PGA) |
| UNIPROT | P00790 |
| Иммуноген | RPA165Hu01-Recombinant Pepsinogen A (PGA) |
| Английские синонимы | PGA5, PG-A, Pepsinogen 5 Group I, Pepsinogen-5, Pepsin A-5 |
Реактивность подтвержденная Нужна другая реактивность? |
человек |
| Реактивность предсказываемая | крыса, свинья |
| Источник (хозяин) | мышь |
| Изотип | IgG1 Kappa |
| Клональность | моноклональное |
| Клон | C12 |
| Рекомбинантное | нет |
| Готовое к использованию | нет |
| Концентрация | 1 мг/мл |
| Конъюгат | По запросу: HRP, biotin, PerCP, PE, Cy3, FITC, Cy7, Cy5.5, PE-Cy5, PE-Cy7, PerCp-Cy5.5, APC, Cy5, PE-Cy3, PE-Cy5.5, APC-Cy7, Biotin-APC, FITC-Biotin, TRITC, APC-Cy5, AF488, AF594, AF405, AF555, AF700, AF647, AF750 |
| Валидировано для | IHC WB Иммуногистохимия; Вестерн-блоттинг |
| Рекомендуемые разведения | WB: 0.5-3 мкг/мл; IHC: 5-30 мкг/мл; ICC: 5-30 мкг/мл; Оптимальное разведение определяется конечным потребителем |
| Метод очистки | Аффинная хроматография с белком А и белком G |
| Состав буфера | 0.01M PBS, pH7.4, 0.05% Proclin-300, 50% глицерин |
| Условия доставки | термобокс с аккумуляторами холода |
| Условия хранения | Сразу после получения аликвотировать и хранить при -20ºС до 24 месяцев. Для частого использования хранить при +4ºС не более 2 недель. Избегать повторения циклов замерзания/оттаивания |
| Срок хранения | 24 месяца |
| Производитель | Cloud-Clone Corp. |
| Ссылка на страницу товара на сайте производителя | http://www.cloud-clone.com/products/MAA165Hu22.html |
|
Артикул
|
Наименование |
Производитель
|
|---|
|
Артикул
|
Наименование |
Производитель
|
|---|
|
Артикул
|
Наименование |
Производитель
|
|---|
Акции и предложения
Популярные продукты:
Monoclonal Antibody to Pepsinogen A (PGA) (MAA165Ra22)
Источник (хозяин): мышь
Реактивность подтвержденная: крыса
Валидировано для: WB
Реактивность подтвержденная: крыса
Валидировано для: WB
Chicken Glycocalicin ELISA kit (E12G0097)
Организм: курица
Anti-HIV-2 p26 Antibody (SAb2369) (RVV19309)
Источник (хозяин): мышь
Реактивность подтвержденная: вирусы
Валидировано для: CLIA, ELISA
Реактивность подтвержденная: вирусы
Валидировано для: CLIA, ELISA
Anti-GGGGS Linker Antibody (R4E06) (RGP16001)
Источник (хозяин): кролик
Реактивность подтвержденная: для всех
Валидировано для: ELISA, FCM, ICC, IF, IHC, WB
Реактивность подтвержденная: для всех
Валидировано для: ELISA, FCM, ICC, IF, IHC, WB
Sheep 14-3-3 protein gamma(YWHAG) ELISA kit (E14Y0006)
Организм: овца
Porcine 14-3-3 protein gamma(YWHAG) ELISA kit (E07Y0006)
Организм: свинья

