| UNIPROT | Q8BFS3 |
| Иммуноген | RPD869Ra01-Recombinant Relaxin 3 (RLN3) |
Monoclonal Antibody to Relaxin 3 (RLN3) (MAD869Ra23)
Реактивность подтвержденная:
крыса
Источник (хозяин):
мышь
Валидировано для:
IHC
WB
Характеристики
Техническое описание
| Русское название | MAD869Ra23 Моноклональное антитело к RLN3 (крыса) <Cloud-Clone,Китай> |
| Каталожный номер | MAD869Ra23 |
| Название антигена | Relaxin 3 (RLN3) |
| UNIPROT | Q8BFS3 |
| Иммуноген | RPD869Ra01-Recombinant Relaxin 3 (RLN3) |
| Английские синонимы | ZINS4, RXN3, H3, INSL7, Insulin-like peptide 7, Prorelaxin H3 |
Реактивность подтвержденная Нужна другая реактивность? |
крыса |
| Реактивность предсказываемая | человек |
| Источник (хозяин) | мышь |
| Изотип | IgG2b Kappa |
| Клональность | моноклональное |
| Клон | D10 |
| Рекомбинантное | нет |
| Готовое к использованию | нет |
| Концентрация | 1 мг/мл |
| Конъюгат | По запросу: HRP, biotin, PerCP, PE, Cy3, FITC, Cy7, Cy5.5, PE-Cy5, PE-Cy7, PerCp-Cy5.5, APC, Cy5, PE-Cy3, PE-Cy5.5, APC-Cy7, Biotin-APC, FITC-Biotin, TRITC, APC-Cy5, AF488, AF594, AF405, AF555, AF700, AF647, AF750 |
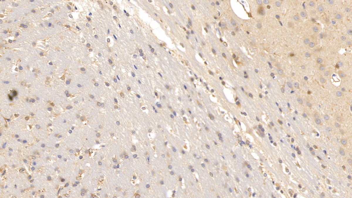
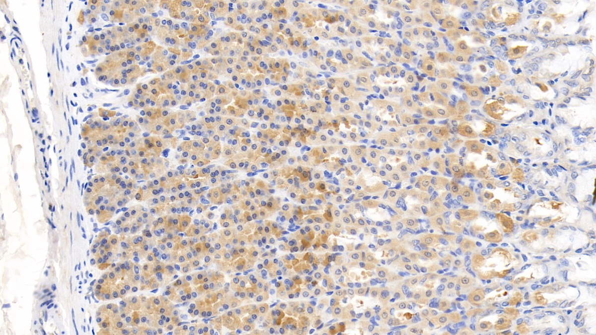
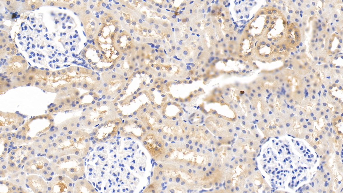
| Валидировано для | IHC WB Иммуногистохимия; Вестерн-блоттинг |
| Рекомендуемые разведения | WB: 0.5-2 мкг/мл; IHC: 5-20 мкг/мл; ICC: 5-20 мкг/мл; Оптимальное разведение определяется конечным потребителем |
| Метод очистки | Аффинная хроматография с белком А и белком G |
| Состав буфера | 0.01M PBS, pH7.4, 0.05% Proclin-300, 50% глицерин |
| Условия доставки | термобокс с аккумуляторами холода |
| Условия хранения | Сразу после получения аликвотировать и хранить при -20ºС до 24 месяцев. Для частого использования хранить при +4ºС не более 2 недель. Избегать повторения циклов замерзания/оттаивания |
| Срок хранения | 24 месяца |
| Производитель | Cloud-Clone Corp. |
| Ссылка на страницу товара на сайте производителя | http://www.cloud-clone.com/products/MAD869Ra23.html |
|
Артикул
|
Наименование |
Производитель
|
|---|
|
Артикул
|
Наименование |
Производитель
|
|---|
|
Артикул
|
Наименование |
Производитель
|
|---|
Акции и предложения
Популярные продукты:
Polyclonal Antibody to Matrix Metalloproteinase 1 (MMP1) (PAA097Hu06)
Источник (хозяин): кролик
Реактивность подтвержденная: человек
Валидировано для: WB
Реактивность подтвержденная: человек
Валидировано для: WB
Bovine Atrophin 1(ATN1) ELISA kit (E11A1758)
Организм: корова
Porcine Matrix metalloproteinsae 1 ELISA kit (E07M0294)
Организм: свинья
Диапазон определения: 2.5-50 нг/мл
Чувствительность: 0.1 нг/мл
Диапазон определения: 2.5-50 нг/мл
Чувствительность: 0.1 нг/мл
Guinea Pig Matrix metalloproteinsae 1 ELISA kit (E05M0294)
Организм: морская свинка
Bovine Interstitial collagenase(MMP1) ELISA kit (E11I0453)
Организм: корова

