| UNIPROT | P02753 |
| Иммуноген | EPA929Hu61-Eukaryotic Retinol Binding Protein 4 (RBP4) |
Monoclonal Antibody to Retinol Binding Protein 4 (RBP4) (MAA929Hu26)
Реактивность подтвержденная:
человек
Источник (хозяин):
мышь
Валидировано для:
IHC
Характеристики
Техническое описание
| Русское название | MAA929Hu26 Моноклональное антитело к RBP4 (человек) <Cloud-Clone,Китай> |
| Каталожный номер | MAA929Hu26 |
| Название антигена | Retinol Binding Protein 4, Plasma (RBP4) |
| UNIPROT | P02753 |
| Иммуноген | EPA929Hu61-Eukaryotic Retinol Binding Protein 4 (RBP4) |
| Английские синонимы | PRBP, RBP, Plasma retinol-binding protein |
Реактивность подтвержденная Нужна другая реактивность? |
человек |
| Реактивность предсказываемая | свинья |
| Источник (хозяин) | мышь |
| Изотип | IgG1 Kappa |
| Клональность | моноклональное |
| Клон | C9 |
| Рекомбинантное | нет |
| Готовое к использованию | нет |
| Концентрация | 1 мг/мл |
| Конъюгат | По запросу: HRP, biotin, PerCP, PE, Cy3, FITC, Cy7, Cy5.5, PE-Cy5, PE-Cy7, PerCp-Cy5.5, APC, Cy5, PE-Cy3, PE-Cy5.5, APC-Cy7, Biotin-APC, FITC-Biotin, TRITC, APC-Cy5, AF488, AF594, AF405, AF555, AF700, AF647, AF750 |
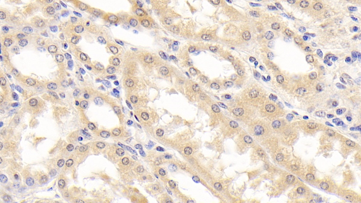
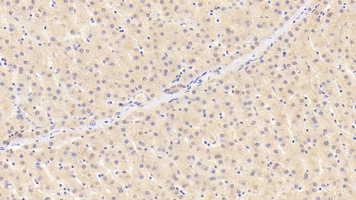
| Валидировано для | IHC Иммуногистохимия |
| Рекомендуемые разведения | WB: 0.01-2 мкг/мл; IHC: 5-30 мкг/мл; ICC: 5-20 мкг/мл; Оптимальное разведение определяется конечным потребителем |
| Метод очистки | Аффинная хроматография с белком А и белком G |
| Состав буфера | 0.01M PBS, pH7.4, 0.05% Proclin-300, 50% глицерин |
| Условия доставки | термобокс с аккумуляторами холода |
| Условия хранения | Сразу после получения аликвотировать и хранить при -20ºС до 24 месяцев. Для частого использования хранить при +4ºС не более 2 недель. Избегать повторения циклов замерзания/оттаивания |
| Срок хранения | 24 месяца |
| Производитель | Cloud-Clone Corp. |
| Ссылка на страницу товара на сайте производителя | http://www.cloud-clone.com/products/MAA929Hu26.html |
|
Артикул
|
Наименование |
Производитель
|
|---|
|
Артикул
|
Наименование |
Производитель
|
|---|
|
Артикул
|
Наименование |
Производитель
|
|---|
|
Артикул
|
Наименование |
Производитель
|
|---|
|
Артикул
|
Наименование |
Производитель
|
|---|
|
Артикул
|
Наименование |
Производитель
|
|---|
|
Артикул
|
Наименование |
Производитель
|
|---|
|
Артикул
|
Наименование |
Производитель
|
|---|
Акции и предложения
Популярные продукты:
Goat Thymic Factor/Thymulin ELISA kit (E06T0916)
Организм: коза
Recombinant Honeybee Hyaluronidase/Hya Protein, C-His (EWK27301)
Источник (хозяин): клетки насекомых
Организм: насекомые
Фрагмент: Phe29-Val382
Теги: C-His
Биоактивность: нет
Организм: насекомые
Фрагмент: Phe29-Val382
Теги: C-His
Биоактивность: нет
Anti-PDK1/PDPK1 Antibody (R2U74) (RHA56303)
Источник (хозяин): мышь
Реактивность подтвержденная: человек, мышь, крыса, обезьяна
Валидировано для: ELISA, FCM, IF, IHC, WB
Реактивность подтвержденная: человек, мышь, крыса, обезьяна
Валидировано для: ELISA, FCM, IF, IHC, WB

