| UNIPROT | P49959 |
| Иммуноген | Синтетический пептид, соответствующий human Mre11 на С-конце |
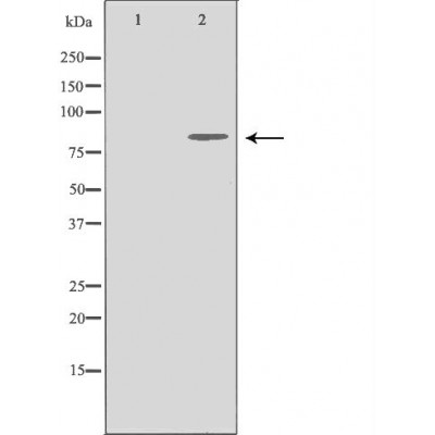
Mre11 Antibody (DF7013)
Реактивность подтвержденная:
человек, мышь, крыса
Источник (хозяин):
кролик
Валидировано для:
IHC
WB
IF
ICC
Характеристики
Техническое описание
| Каталожный номер | DF7013 |
| Название антигена | Meiotic Recombination 11 Homolog A (MRE11A) |
| UNIPROT | P49959 |
| Иммуноген | Синтетический пептид, соответствующий human Mre11 на С-конце |
| Английские синонимы | ATLD, HNGS1, MRE11, MRE11B, AT-Like Disease |
Реактивность подтвержденная Нужна другая реактивность? |
человек, мышь, крыса |
| Источник (хозяин) | кролик |
| Изотип | IgG |
| Клональность | поликлональное |
| Рекомбинантное | нет |
| Готовое к использованию | нет |
| Концентрация | 1 мг/мл |
| Конъюгат | нет |
| Валидировано для | IHC WB IF ICC Иммуногистохимия; Вестерн-блоттинг; Иммунофлуоресценция; Иммуноцитохимия |
| Рекомендуемые разведения | WB: 1:500-1:2000; IHC: 1:50-1:200; IF/ICC: 1:100-1:500; Оптимальное разведение определяется конечным потребителем |
| Метод очистки | Антисыворотку очищали методом аффинной хроматографии пептидов с использованием связывающей смолы SulfoLink® (Thermo Fisher Scientific) |
| Состав буфера | Rabbit IgG в PBS; pH 7.4; 150mM NaCl; 0.02% азид натрия и 50% глицерин |
| RRID | AB_2838969 |
| Условия доставки | Термобокс с аккумуляторами холода |
| Условия хранения | Хранить при -20ºС. Стабилен 12 месяцев с даты получения |
| Срок хранения | 12 месяцев |
| Производитель | Affinity |
| Ссылка на страницу товара на сайте производителя | https://www.affbiotech.com/goods-5815-DF7013-Mre11_Antibody.html |
|
Артикул
|
Наименование |
Производитель
|
|---|
|
Артикул
|
Наименование |
Производитель
|
|---|
|
Артикул
|
Наименование |
Производитель
|
|---|
|
Артикул
|
Наименование |
Производитель
|
|---|
Акции и предложения
Популярные продукты:
Anti-Clobetasol Propionate/CBP Monoclonal Antibody (1A488) (MGK61509)
Источник (хозяин): мышь
Реактивность подтвержденная: для всех
Валидировано для: ELISA
Реактивность подтвержденная: для всех
Валидировано для: ELISA
Anti-CD29/ITGB1 Antibody (AIIB2), PerCP (FHC17634)
Источник (хозяин): мышь
Реактивность подтвержденная: человек, мышь
Валидировано для: ELISA, FCM, IF, WB
Реактивность подтвержденная: человек, мышь
Валидировано для: ELISA, FCM, IF, WB
ELISA Kit for Acyl Coenzyme A Dehydrogenase, Short/Branched Chain (ACADSB) (SEG348Hu)
Организм: человек
Диапазон определения: 0.156-10 нг/мл
Чувствительность: 0.113 нг/мл
Диапазон определения: 0.156-10 нг/мл
Чувствительность: 0.113 нг/мл
Sheep Methylcytosine Dioxygenase TET1 ELISA Kit (E14T0868)
Организм: овца
Rat Cholesterol 25 hydroxylase(CH25H) ELISA kit (E02C1649)
Организм: крыса

