| UNIPROT | Q9Y6G3 |
| Иммуноген | Рекомбинантный гибридный белок из человеческого MRPL42 |
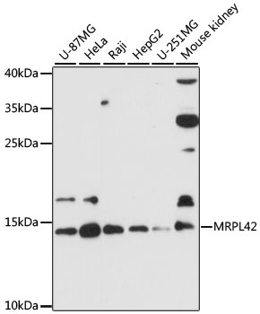
MRPL42 Polyclonal Antibody (E-AB-90491)
Реактивность подтвержденная:
человек, мышь
Источник (хозяин):
кролик
Валидировано для:
WB
Характеристики
Техническое описание
| Каталожный номер | E-AB-90491 |
| Название антигена | Mitochondrial Ribosomal Protein L42 (MRPL42) |
| UNIPROT | Q9Y6G3 |
| Иммуноген | Рекомбинантный гибридный белок из человеческого MRPL42 |
| Английские синонимы | MRP-L31, RPML31, MRPS32, MRPL31, 39S ribosomal protein L31, mitochondrial |
Реактивность подтвержденная Нужна другая реактивность? |
человек, мышь |
| Источник (хозяин) | кролик |
| Изотип | IgG |
| Клональность | поликлональное |
| Рекомбинантное | нет |
| Готовое к использованию | нет |
| Концентрация | 1мг/мл |
| Конъюгат | нет |
| Валидировано для | WB Вестерн-блоттинг |
| Рекомендуемые разведения | WB 1:1000-1:2000 |
| Метод очистки | Аффинная хроматография |
| Состав буфера | PBS с 0.01% тиомерсал,50% глицерин,pH7.3 |
| Условия доставки | термобокс с аккумуляторами холода |
| Условия хранения | Хранить при -20°C - 12 месяцев. Избегать повторяющихся циклов замораживания/оттаивания |
| Срок хранения | 12 месяцев |
| Производитель | Elabscience |
| Ссылка на страницу товара на сайте производителя | https://www.elabscience.com/p-mrpl42_polyclonal_antibody-e_ab_90491 |
|
Артикул
|
Наименование |
Производитель
|
|---|
|
Артикул
|
Наименование |
Производитель
|
|---|
Акции и предложения
Популярные продукты:
Anti-Human CNTFR Antibody (SAb2424) (RHD72601)
Источник (хозяин): мышь
Реактивность подтвержденная: человек
Валидировано для: ELISA
Реактивность подтвержденная: человек
Валидировано для: ELISA
ELISA Kit DIY Materials for Spermidine/Spermine N1-Acetyltransferase 1 (SAT1) (KSG799Hu01)
Организм: человек
Диапазон определения: 0.78-50 нг/мл
Чувствительность: 0.31 нг/мл
Диапазон определения: 0.78-50 нг/мл
Чувствительность: 0.31 нг/мл
ELISA Kit DIY Materials for Fatty Acid Binding Protein 6, Ileal (FABP6) (KSA344Hu01)
Организм: человек
Диапазон определения: 0.625-40 нг/мл
Чувствительность: 0.239 нг/мл
Диапазон определения: 0.625-40 нг/мл
Чувствительность: 0.239 нг/мл
Monkey Artemin ELISA kit (E09A0032)
Организм: обезьяна
Bovine Epoxide hydrolase 2(EPHX2) ELISA kit (E11E0381)
Организм: корова
Chicken Inositol oxygenase(MIOX) ELISA kit (E12I0452)
Организм: курица
Диапазон определения: 50-1000 пг/мл
Чувствительность: 1 нг/мл
Диапазон определения: 50-1000 пг/мл
Чувствительность: 1 нг/мл

