| UNIPROT | P52701 |
| Иммуноген | Синтетический пептид, соответствующий human MSH6 |
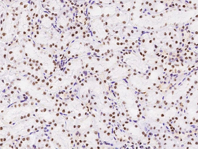
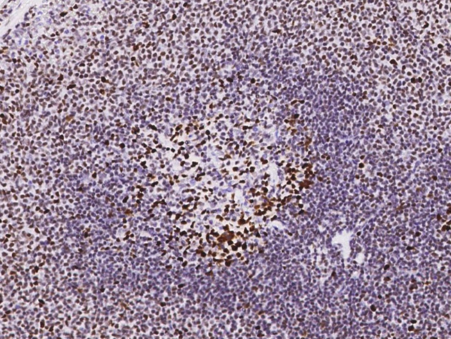
MSH6 Recombinant Rabbit mAb (ARM1123)
Реактивность подтвержденная:
человек, мышь, крыса
Источник (хозяин):
кролик
Валидировано для:
IHC
WB
IF
ICC
Характеристики
Техническое описание
| Каталожный номер | ARM1123 |
| Название антигена | MutS Homolog 6 (MSH6) |
| UNIPROT | P52701 |
| Иммуноген | Синтетический пептид, соответствующий human MSH6 |
| Английские синонимы | GTBP, HNPCC5, HSAP, GTMBP, p160, G/T mismatch-binding protein, MutS-alpha 160 kDa subunit, DNA mismatch repair protein Msh6 |
Реактивность подтвержденная Нужна другая реактивность? |
человек, мышь, крыса |
| Источник (хозяин) | кролик |
| Изотип | IgG |
| Клональность | моноклональное |
| Рекомбинантное | да |
| Готовое к использованию | нет |
| Концентрация | 1 мг/мл |
| Конъюгат | По запросу: HRP, biotin, Cy3, Cy5, APC, AF488, AF594, AF405 |
| Валидировано для | IHC WB IF ICC Иммуногистохимия; Вестерн-блоттинг; Иммунофлуоресценция; Иммуноцитохимия |
| Рекомендуемые разведения | WB 1:500~1:2000; IHC 1:50~1:200; IF/ICC 1:50~1:200 |
| Метод очистки | Антигенспецифическая аффинная хроматография |
| Состав буфера | 50 нмоль Tris-Glycine(pH 7.4); 0.15M NaCl; 40% глицерин; 0.01% азид натрия и 0.05% БСА |
| Условия доставки | термобокс с аккумуляторами холода |
| Условия хранения | Сразу после получения аликвотировать и хранить при -20ºС до 12 месяцев с момента получения. Избегать повторения циклов замерзания/оттаивания |
| Срок хранения | 12 месяцев |
| Производитель | AssayVector |
|
Артикул
|
Наименование |
Производитель
|
|---|
|
Артикул
|
Наименование |
Производитель
|
|---|
|
Артикул
|
Наименование |
Производитель
|
|---|
|
Артикул
|
Наименование |
Производитель
|
|---|
|
Артикул
|
Наименование |
Производитель
|
|---|
Акции и предложения
Популярные продукты:
Anti-HTLV-1 Glycoprotein 46/gp46 Antibody (SAb2285) (RVV45301)
Источник (хозяин): человек
Реактивность подтвержденная: вирусы
Валидировано для: ELISA, NEUT
Реактивность подтвержденная: вирусы
Валидировано для: ELISA, NEUT
ELISA Kit DIY Materials for Glutathione S Transferase (GST) (KSX158Ge01)
Организм: для всех
Диапазон определения: 1.56-100 нг/мл
Чувствительность: 0.57 нг/мл
Диапазон определения: 1.56-100 нг/мл
Чувствительность: 0.57 нг/мл
Porcine β 1 syntrophin(SNTB1) ELISA kit (E07B0718)
Организм: свинья
Recombinant Human Cyclophilin A Protein (PKSH033420)
Источник (хозяин): E.coli
Организм: человек
Фрагмент: Met 1-Glu165
Теги: без тега
Биоактивность: нет
Организм: человек
Фрагмент: Met 1-Glu165
Теги: без тега
Биоактивность: нет

