| UNIPROT | O43347 |
| Иммуноген | Синтетический пептид, соответствующий human MSI1 на С-конце |
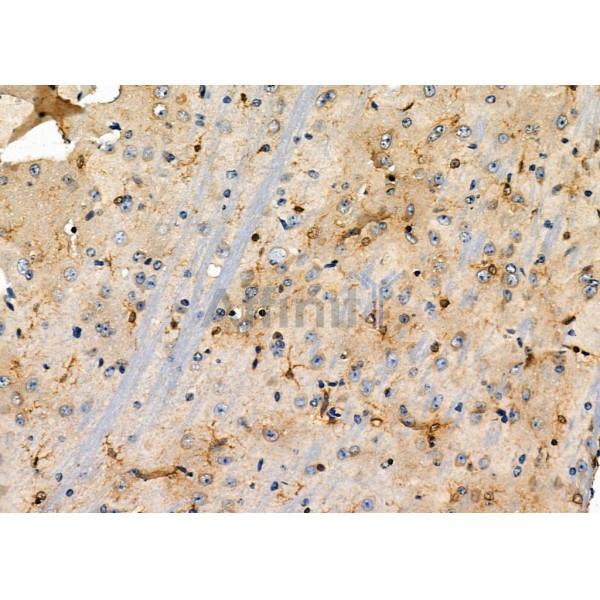
MSI1 Antibody (DF2971)
Реактивность подтвержденная:
человек
Источник (хозяин):
кролик
Валидировано для:
IHC
WB
Характеристики
Техническое описание
| Каталожный номер | DF2971 |
| Название антигена | Musashi Homolog 1 (MSI1) |
| UNIPROT | O43347 |
| Иммуноген | Синтетический пептид, соответствующий human MSI1 на С-конце |
| Английские синонимы | RNA-binding protein Musashi homolog 1 |
Реактивность подтвержденная Нужна другая реактивность? |
человек |
| Реактивность предсказываемая | свинья, рыба, корова, лошадь, овца, кролик, собака, курица, лягушка |
| Источник (хозяин) | кролик |
| Изотип | IgG |
| Клональность | поликлональное |
| Рекомбинантное | нет |
| Готовое к использованию | нет |
| Концентрация | 1 мг/мл |
| Конъюгат | нет |
| Валидировано для | IHC WB Иммуногистохимия; Вестерн-блоттинг |
| Рекомендуемые разведения | WB: 1:1000-3000; IHC: 1:50-1:200; Оптимальное разведение определяется конечным потребителем |
| Метод очистки | Антисыворотку очищали методом аффинной хроматографии пептидов с использованием связывающей смолы SulfoLink® (Thermo Fisher Scientific) |
| Состав буфера | Rabbit IgG в PBS; pH 7.4; 150mM NaCl; 0.02% азид натрия и 50% глицерин |
| RRID | AB_2840951 |
| Условия доставки | Термобокс с аккумуляторами холода |
| Условия хранения | Хранить при -20ºС. Стабилен 12 месяцев с даты получения |
| Срок хранения | 12 месяцев |
| Производитель | Affinity |
| Ссылка на страницу товара на сайте производителя | https://www.affbiotech.com/goods-11216-DF2971-MSI1_Antibody.html |
|
Артикул
|
Наименование |
Производитель
|
|---|
|
Артикул
|
Наименование |
Производитель
|
|---|
Акции и предложения
Популярные продукты:
ELISA Kit DIY Materials for B-Raf Proto Oncogene Serine/Threonine Protein Kinase (BRAF) (KSG347Hu01)
Организм: человек
Диапазон определения: 0.312-20 нг/мл
Чувствительность: 0.119 нг/мл
Диапазон определения: 0.312-20 нг/мл
Чувствительность: 0.119 нг/мл
Porcine Alpha internexin(INA) ELISA kit (E07A1887)
Организм: свинья
Canine Immunoglobulin D ELISA kit (E08I0059)
Организм: собака
Canine Fibronectin ELISA kit (E08F0004)
Организм: собака
Диапазон определения: 0.5-10 нг/мл
Чувствительность: 0.1 нг/мл
Диапазон определения: 0.5-10 нг/мл
Чувствительность: 0.1 нг/мл

