| UNIPROT | P08172 |
| Иммуноген | Синтетический пептид, соответствующий human Muscarinic Acetylcholine Receptor 2 |
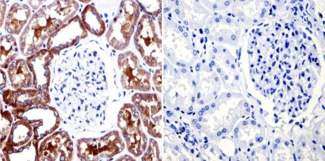
Muscarinic Acetylcholine Receptor 2 Recombinant Rabbit mAb (ARM1369)
Реактивность подтвержденная:
человек, мышь, крыса
Источник (хозяин):
кролик
Валидировано для:
IHC
IP
WB
Характеристики
Техническое описание
| Каталожный номер | ARM1369 |
| Название антигена | Cholinergic Receptor, Muscarinic 2 (CHRM2) |
| UNIPROT | P08172 |
| Иммуноген | Синтетический пептид, соответствующий human Muscarinic Acetylcholine Receptor 2 |
| Английские синонимы | CHR-M2, HM2, M-AChRM2, Muscarinic Acetylcholine Receptor M2, Cholinergic Receptor,Muscarinic 2 |
Реактивность подтвержденная Нужна другая реактивность? |
человек, мышь, крыса |
| Источник (хозяин) | кролик |
| Изотип | IgG |
| Клональность | моноклональное |
| Рекомбинантное | да |
| Готовое к использованию | нет |
| Концентрация | 1 мг/мл |
| Конъюгат | По запросу: HRP, biotin, Cy3, Cy5, APC, AF488, AF594, AF405 |
| Валидировано для | IHC IP WB Иммуногистохимия; Иммунопреципитация; Вестерн-блоттинг |
| Рекомендуемые разведения | WB 1:500~1:2000; IHC 1:50~1:200; IP 1:50 |
| Метод очистки | Антигенспецифическая аффинная хроматография |
| Состав буфера | 50 нмоль Tris-Glycine(pH 7.4); 0.15M NaCl; 40% глицерин; 0.01% азид натрия и 0.05% БСА |
| Условия доставки | термобокс с аккумуляторами холода |
| Условия хранения | Сразу после получения аликвотировать и хранить при -20ºС до 12 месяцев с момента получения. Избегать повторения циклов замерзания/оттаивания |
| Срок хранения | 12 месяцев |
| Производитель | AssayVector |
|
Артикул
|
Наименование |
Производитель
|
|---|
|
Артикул
|
Наименование |
Производитель
|
|---|
|
Артикул
|
Наименование |
Производитель
|
|---|
|
Артикул
|
Наименование |
Производитель
|
|---|
|
Артикул
|
Наименование |
Производитель
|
|---|
Акции и предложения
Популярные продукты:
Anti-Human OPRK1 Nanobody (SAA1169) (RHE29201)
Источник (хозяин): альпака
Реактивность подтвержденная: человек
Валидировано для: ELISA
Реактивность подтвержденная: человек
Валидировано для: ELISA
RXFP2 Polyclonal Antibody (E-AB-66267)
Источник (хозяин): кролик
Реактивность подтвержденная: мышь, крыса
Валидировано для: WB
Реактивность подтвержденная: мышь, крыса
Валидировано для: WB
OPRK1 Polyclonal Antibody (E-AB-64902)
Источник (хозяин): кролик
Реактивность подтвержденная: человек, мышь, крыса
Валидировано для: IHC, WB
Реактивность подтвержденная: человек, мышь, крыса
Валидировано для: IHC, WB
Muscarinic Acetylcholine Receptor 2 Recombinant Rabbit mAb (ARM1369)
Источник (хозяин): кролик
Реактивность подтвержденная: человек, мышь, крыса
Валидировано для: IHC, IP, WB
Реактивность подтвержденная: человек, мышь, крыса
Валидировано для: IHC, IP, WB
OPRK1 Antibody (DF5044)
Источник (хозяин): кролик
Реактивность подтвержденная: человек, мышь, крыса
Валидировано для: WB, IF, ICC
Реактивность подтвержденная: человек, мышь, крыса
Валидировано для: WB, IF, ICC

