| UNIPROT | Q16653 |
| Иммуноген | Рекомбинантный белок human Myelin oligodendrocyte glycoprotein |
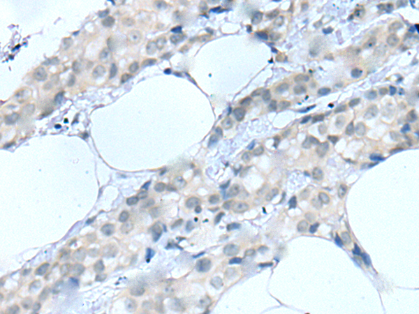
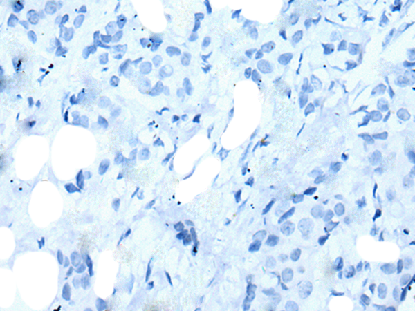
Myelin oligodendrocyte glycoprotein Recombinant Rabbit mAb (ARM1957)
Реактивность подтвержденная:
человек, мышь, крыса
Источник (хозяин):
кролик
Валидировано для:
IHC
IP
WB
Характеристики
Техническое описание
| Каталожный номер | ARM1957 |
| Название антигена | Myelin Oligodendrocyte Glycoprotein (MOG) |
| UNIPROT | Q16653 |
| Иммуноген | Рекомбинантный белок human Myelin oligodendrocyte glycoprotein |
Реактивность подтвержденная Нужна другая реактивность? |
человек, мышь, крыса |
| Источник (хозяин) | кролик |
| Изотип | IgG |
| Клональность | моноклональное |
| Рекомбинантное | да |
| Готовое к использованию | нет |
| Концентрация | 1 мг/мл |
| Конъюгат | По запросу: HRP, biotin, Cy3, Cy5, APC, AF488, AF594, AF405 |
| Валидировано для | IHC IP WB Иммуногистохимия; Иммунопреципитация; Вестерн-блоттинг |
| Рекомендуемые разведения | WB 1:500~1:2000; IHC 1:50~1:200; IP 1:50 |
| Метод очистки | Антигенспецифическая аффинная хроматография |
| Состав буфера | 50 нмоль Tris-Glycine(pH 7.4); 0.15M NaCl; 40% глицерин; 0.01% азид натрия и 0.05% БСА |
| Условия доставки | термобокс с аккумуляторами холода |
| Условия хранения | Сразу после получения аликвотировать и хранить при -20ºС до 12 месяцев с момента получения. Избегать повторения циклов замерзания/оттаивания |
| Срок хранения | 12 месяцев |
| Производитель | AssayVector |
|
Артикул
|
Наименование |
Производитель
|
|---|
|
Артикул
|
Наименование |
Производитель
|
|---|
|
Артикул
|
Наименование |
Производитель
|
|---|
|
Артикул
|
Наименование |
Производитель
|
|---|
|
Артикул
|
Наименование |
Производитель
|
|---|
|
Артикул
|
Наименование |
Производитель
|
|---|
|
Артикул
|
Наименование |
Производитель
|
|---|
|
Артикул
|
Наименование |
Производитель
|
|---|
Акции и предложения
Популярные продукты:
Monoclonal Antibody to Apolipoprotein A5 (APOA5) (MAB997Mu23)
Источник (хозяин): мышь
Реактивность подтвержденная: мышь
Валидировано для: ICC, IF
Реактивность подтвержденная: мышь
Валидировано для: ICC, IF
Bovine Adenosine receptor A2a(ADORA2A) ELISA kit (E11A1280)
Организм: корова
Bovine Peripherin ELISA kit (E11P1061)
Организм: корова

