| UNIPROT | Q15080 |
| Иммуноген | Синтетический пептид, соответствующий human p40-phox |
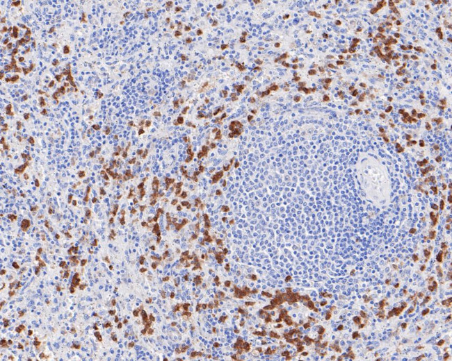
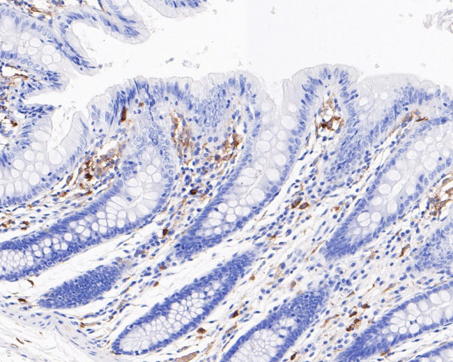
NCF4 Recombinant Rabbit mAb (ARM2221)
Реактивность подтвержденная:
человек
Источник (хозяин):
кролик
Валидировано для:
FCM
IHC
IP
WB
IF
ICC
Характеристики
Техническое описание
| Каталожный номер | ARM2221 |
| Название антигена | Neutrophil Cytosolic Factor 4 (NCF4) |
| UNIPROT | Q15080 |
| Иммуноген | Синтетический пептид, соответствующий human p40-phox |
| Английские синонимы | NCF, P40PHOX, SH3PXD4, Neutrophil NADPH Oxidase Factor 4, SH3 and PX domain-containing protein 4 |
Реактивность подтвержденная Нужна другая реактивность? |
человек |
| Источник (хозяин) | кролик |
| Изотип | IgG |
| Клональность | моноклональное |
| Рекомбинантное | да |
| Готовое к использованию | нет |
| Концентрация | 1 мг/мл |
| Конъюгат | По запросу: HRP, biotin, Cy3, Cy5, APC, AF488, AF594, AF405 |
| Валидировано для | FCM IHC IP WB IF ICC Проточная цитометрия; Иммуногистохимия; Иммунопреципитация; Вестерн-блоттинг; Иммунофлуоресценция; Иммуноцитохимия |
| Рекомендуемые разведения | WB 1:500~1:2000; IHC 1:50~1:200; IF/ICC 1:50~1:200; FCM 1:50; IP 1:50 |
| Метод очистки | Антигенспецифическая аффинная хроматография |
| Состав буфера | 50 нмоль Tris-Glycine(pH 7.4); 0.15M NaCl; 40% глицерин; 0.01% азид натрия и 0.05% БСА |
| Условия доставки | термобокс с аккумуляторами холода |
| Условия хранения | Сразу после получения аликвотировать и хранить при -20ºС до 12 месяцев с момента получения. Избегать повторения циклов замерзания/оттаивания |
| Срок хранения | 12 месяцев |
| Производитель | AssayVector |
|
Артикул
|
Наименование |
Производитель
|
|---|
|
Артикул
|
Наименование |
Производитель
|
|---|
|
Артикул
|
Наименование |
Производитель
|
|---|
|
Артикул
|
Наименование |
Производитель
|
|---|
Акции и предложения
Популярные продукты:
Monoclonal Antibody to Lymphatic Vessel Endothelial Hyaluronan Receptor 1 (LYVE1) (MAH848Hu26)
Источник (хозяин): мышь
Реактивность подтвержденная: человек
Валидировано для: WB
Реактивность подтвержденная: человек
Валидировано для: WB
NCF4 Recombinant Rabbit mAb (ARM2221)
Источник (хозяин): кролик
Реактивность подтвержденная: человек
Валидировано для: FCM, IHC, IP, WB, IF, ICC
Реактивность подтвержденная: человек
Валидировано для: FCM, IHC, IP, WB, IF, ICC
pro Caspase-3 Recombinant Rabbit mAb (ARM1238)
Источник (хозяин): кролик
Реактивность подтвержденная: человек, мышь
Валидировано для: FCM, IHC, IP, WB, IF, ICC
Реактивность подтвержденная: человек, мышь
Валидировано для: FCM, IHC, IP, WB, IF, ICC
Multiplex Assay Kit for Syndecan 1 (SDC1) (LMB966Hu)
Организм: человек
Диапазон определения: 0.1-100 нг/мл
Чувствительность: 0.033 нг/мл
Диапазон определения: 0.1-100 нг/мл
Чувствительность: 0.033 нг/мл
FITC-Linked Polyclonal Antibody to Extracellular Signal Regulated Kinase 1 (ERK1) (LAB357Ra81)
Источник (хозяин): кролик
Реактивность подтвержденная: крыса
Валидировано для: ICC, IF, IHC, WB
Реактивность подтвержденная: крыса
Валидировано для: ICC, IF, IHC, WB
Monoclonal Antibody to Leukocyte Associated Immunoglobulin Like Receptor 1 (LAIR1) (MAB004Mu24)
Источник (хозяин): мышь
Реактивность подтвержденная: мышь
Валидировано для: WB
Реактивность подтвержденная: мышь
Валидировано для: WB

