| UNIPROT | O00483 |
| Иммуноген | Синтетический пептид, соответствующий human NDUFA4 на С-конце |
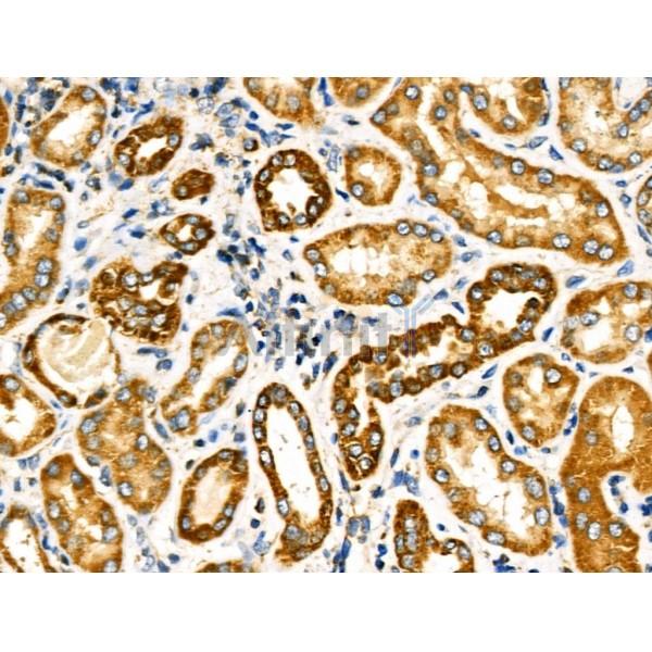
NDUFA4 Antibody (AF5277)
Реактивность подтвержденная:
человек, мышь, крыса
Источник (хозяин):
кролик
Валидировано для:
IHC
WB
IF
ICC
Характеристики
Техническое описание
| Каталожный номер | AF5277 |
| Название антигена | NADH Dehydrogenase Ubiquinone 1 Alpha Subcomplex 4 (NDUFa4) |
| UNIPROT | O00483 |
| Иммуноген | Синтетический пептид, соответствующий human NDUFA4 на С-конце |
| Английские синонимы | MLRQ, CI-9k, CI-MLRQ, Complex I 9kDa Subunit, Cytochrome c oxidase subunit NDUFA4 |
Реактивность подтвержденная Нужна другая реактивность? |
человек, мышь, крыса |
| Реактивность предсказываемая | свинья, рыба, корова, лошадь, овца, курица |
| Источник (хозяин) | кролик |
| Изотип | IgG |
| Клональность | поликлональное |
| Рекомбинантное | нет |
| Готовое к использованию | нет |
| Концентрация | 1 мг/мл |
| Конъюгат | нет |
| Валидировано для | IHC WB IF ICC Иммуногистохимия; Вестерн-блоттинг; Иммунофлуоресценция; Иммуноцитохимия |
| Рекомендуемые разведения | WB: 1:500-1:2000; IF/ICC: 1:100-1:500; IHC: 1:50-1:200; Оптимальное разведение определяется конечным потребителем |
| Метод очистки | Антисыворотку очищали методом аффинной хроматографии пептидов с использованием связывающей смолы SulfoLink® (Thermo Fisher Scientific) |
| Состав буфера | Rabbit IgG в PBS; pH 7.4; 150mM NaCl; 0.02% азид натрия и 50% глицерин |
| RRID | AB_2837763 |
| Условия доставки | Термобокс с аккумуляторами холода |
| Условия хранения | Хранить при -20ºС. Стабилен 12 месяцев с даты получения |
| Срок хранения | 12 месяцев |
| Производитель | Affinity |
| Ссылка на страницу товара на сайте производителя | https://www.affbiotech.com/goods-4584-AF5277-NDUFA4_Antibody.html |
|
Артикул
|
Наименование |
Производитель
|
|---|
|
Артикул
|
Наименование |
Производитель
|
|---|
Акции и предложения
Популярные продукты:
Anti-HAdV-3 Packaging protein 3/L1 Polyclonal Antibody (PVV40201)
Источник (хозяин): кролик
Реактивность подтвержденная: вирусы
Валидировано для: ELISA, WB
Реактивность подтвержденная: вирусы
Валидировано для: ELISA, WB
NDUFA4 Antibody (AF5277)
Источник (хозяин): кролик
Реактивность подтвержденная: человек, мышь, крыса
Валидировано для: IHC, WB, IF, ICC
Реактивность подтвержденная: человек, мышь, крыса
Валидировано для: IHC, WB, IF, ICC
Recombinant Granzyme M (GZmm) (RPA431Mu02)
Источник (хозяин): E.coli
Организм: мышь
Теги: N-концевой His-Tag
Биоактивность: нет
Организм: мышь
Теги: N-концевой His-Tag
Биоактивность: нет
Recombinant Granzyme M (GZmm) (RPA431Po01)
Источник (хозяин): E.coli
Организм: свинья
Теги: N-концевой His-Tag
Биоактивность: нет
Организм: свинья
Теги: N-концевой His-Tag
Биоактивность: нет
Polyclonal Antibody to Interleukin 12A (IL12A) (PAA059Mu02)
Источник (хозяин): кролик
Реактивность подтвержденная: мышь
Валидировано для: ICC, IHC, IP, WB
Реактивность подтвержденная: мышь
Валидировано для: ICC, IHC, IP, WB
ELISA Kit for Platelet Derived Growth Factor C (PDGFC) (SEC920Hu)
Организм: человек
Диапазон определения: 125.00-8000 пг/мл
Чувствительность: 43 пг/мл
Диапазон определения: 125.00-8000 пг/мл
Чувствительность: 43 пг/мл

