| UNIPROT | Q9Y375 |
| Иммуноген | Синтетический пептид, соответствующий human NDUFAF1 |
NDUFAF1 Recombinant Rabbit mAb (ARM1260)
Реактивность подтвержденная:
человек
Источник (хозяин):
кролик
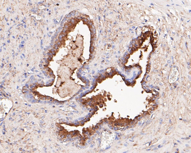
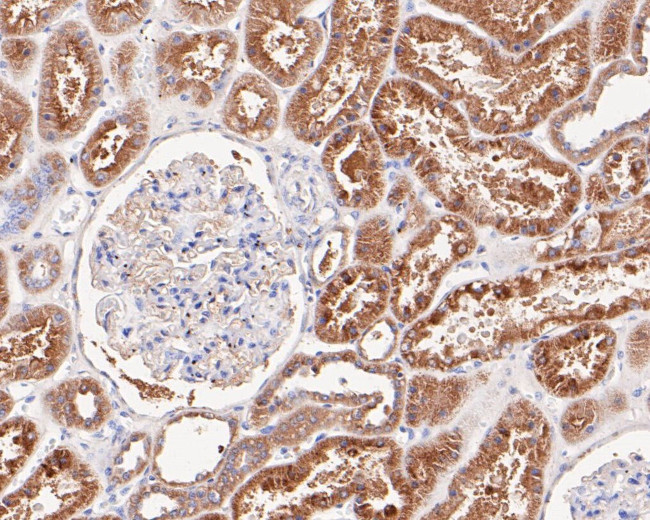
Валидировано для:
FCM
IHC
IP
WB
IF
ICC
Характеристики
Техническое описание
| Каталожный номер | ARM1260 |
| Название антигена | NADH Dehydrogenase Ubiquinone 1 Alpha Subcomplex Assembly Factor 1 (NDUFaF1) |
| UNIPROT | Q9Y375 |
| Иммуноген | Синтетический пептид, соответствующий human NDUFAF1 |
| Английские синонимы | CGI-65, CGI65, CIA30, Complex I intermediate-associated protein 30, mitochondrial |
Реактивность подтвержденная Нужна другая реактивность? |
человек |
| Источник (хозяин) | кролик |
| Изотип | IgG |
| Клональность | моноклональное |
| Рекомбинантное | да |
| Готовое к использованию | нет |
| Концентрация | 1 мг/мл |
| Конъюгат | По запросу: HRP, biotin, Cy3, Cy5, APC, AF488, AF594, AF405 |
| Валидировано для | FCM IHC IP WB IF ICC Проточная цитометрия; Иммуногистохимия; Иммунопреципитация; Вестерн-блоттинг; Иммунофлуоресценция; Иммуноцитохимия |
| Рекомендуемые разведения | WB 1:500~1:2000; IHC 1:50~1:200; IF/ICC 1:50~1:200; FCM 1:50; IP 1:50 |
| Метод очистки | Антигенспецифическая аффинная хроматография |
| Состав буфера | 50 нмоль Tris-Glycine(pH 7.4); 0.15M NaCl; 40% глицерин; 0.01% азид натрия и 0.05% БСА |
| Условия доставки | термобокс с аккумуляторами холода |
| Условия хранения | Сразу после получения аликвотировать и хранить при -20ºС до 12 месяцев с момента получения. Избегать повторения циклов замерзания/оттаивания |
| Срок хранения | 12 месяцев |
| Производитель | AssayVector |
|
Артикул
|
Наименование |
Производитель
|
|---|
|
Артикул
|
Наименование |
Производитель
|
|---|
|
Артикул
|
Наименование |
Производитель
|
|---|
|
Артикул
|
Наименование |
Производитель
|
|---|
Акции и предложения
Популярные продукты:
Monkey ADP ribosylation factor 3(ARF3) ELISA kit (E09A1625)
Организм: обезьяна
Monkey Arylacetamide deacetylase(AADAC) ELISA kit (E09A1115)
Организм: обезьяна
Monkey 6 phosphogluconolactonase(PGLS) ELISA kit (E09P0905)
Организм: обезьяна
Monkey Adenylate cyclase type 8(ADCY8) ELISA kit (E09A1261)
Организм: обезьяна
Rabbit Chemokine C C Motif Ligand 16 ELISA kit (E04C0600)
Организм: кролик
Guinea Pig Interleukin 12 ELISA kit (E05I0033)
Организм: морская свинка
Диапазон определения: 50-1000 пг/мл
Чувствительность: 1 пг/мл
Диапазон определения: 50-1000 пг/мл
Чувствительность: 1 пг/мл

