| UNIPROT | Q8NF91 |
| Иммуноген | Синтетический пептид, соответствующий human Nesprin 1 |
Nesprin 1 Recombinant Rabbit mAb (ARM1152)
Реактивность подтвержденная:
человек, мышь, крыса
Источник (хозяин):
кролик
Валидировано для:
FCM
IHC
WB
IF
ICC
Характеристики
Техническое описание
| Каталожный номер | ARM1152 |
| Название антигена | Nesprin 1 (Nesp1) |
| UNIPROT | Q8NF91 |
| Иммуноген | Синтетический пептид, соответствующий human Nesprin 1 |
| Английские синонимы | SYNE1, C6orf98, 8B, MYNE1, CPG2, SCAR8, ARCA1, Enaptin, Myocyte nuclear envelope protein 1, Nuclear envelope spectrin repeat protein 1, Synaptic nuclear envelope protein 1 |
Реактивность подтвержденная Нужна другая реактивность? |
человек, мышь, крыса |
| Источник (хозяин) | кролик |
| Изотип | IgG |
| Клональность | моноклональное |
| Рекомбинантное | да |
| Готовое к использованию | нет |
| Концентрация | 1 мг/мл |
| Конъюгат | По запросу: HRP, biotin, Cy3, Cy5, APC, AF488, AF594, AF405 |
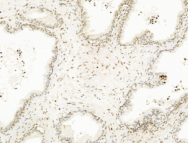
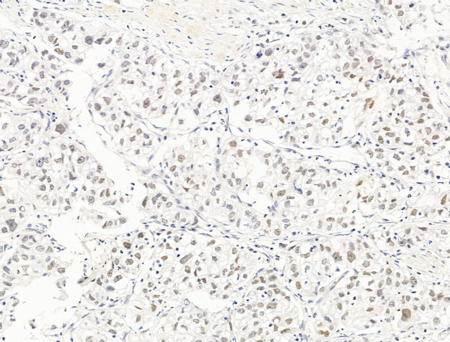
| Валидировано для | FCM IHC WB IF ICC Проточная цитометрия; Иммуногистохимия; Вестерн-блоттинг; Иммунофлуоресценция; Иммуноцитохимия |
| Рекомендуемые разведения | WB 1:500~1:2000; IHC 1:50~1:200; IF/ICC 1:50~1:200; FCM 1:50 |
| Метод очистки | Антигенспецифическая аффинная хроматография |
| Состав буфера | 50 нмоль Tris-Glycine(pH 7.4); 0.15M NaCl; 40% глицерин; 0.01% азид натрия и 0.05% БСА |
| Условия доставки | термобокс с аккумуляторами холода |
| Условия хранения | Сразу после получения аликвотировать и хранить при -20ºС до 12 месяцев с момента получения. Избегать повторения циклов замерзания/оттаивания |
| Срок хранения | 12 месяцев |
| Производитель | AssayVector |
|
Артикул
|
Наименование |
Производитель
|
|---|
|
Артикул
|
Наименование |
Производитель
|
|---|
Акции и предложения
Популярные продукты:
Human Actin like protein 7B(ACTL7B) ELISA kit (E01A1225)
Организм: человек
Диапазон определения: 25-500 нг/мл
Чувствительность: 1 нг/мл
Диапазон определения: 25-500 нг/мл
Чувствительность: 1 нг/мл
Bovine Annexin A8(ANXA8) ELISA kit (E11A1548)
Организм: корова
Canine Glyceraldehyde 3 Phosphate Dehydrogenase ELISA kit (E08G0305)
Организм: собака
Chicken Cytokeratin 17,CK 17 ELISA kit (E12C2327)
Организм: курица
Chicken Glutathione Reductase ELISA kit (E12G0238)
Организм: курица

