| UNIPROT | A6NFN3 |
| Иммуноген | Синтетический пептид, соответствующий human NeuN |
NeuN Recombinant Rabbit mAb (ARM1400)
Реактивность подтвержденная:
человек, мышь, крыса
Источник (хозяин):
кролик
Валидировано для:
FCM
IHC
WB
IF
ICC
Характеристики
Техническое описание
| Каталожный номер | ARM1400 |
| Название антигена | RNA Binding Protein, Fox1 Homolog 3 (RBFOX3) |
| UNIPROT | A6NFN3 |
| Иммуноген | Синтетический пептид, соответствующий human NeuN |
| Английские синонимы | FOX-3, HRNBP3, NeuN, Hexaribonucleotide Binding Protein 3, Neuronal Nuclei |
Реактивность подтвержденная Нужна другая реактивность? |
человек, мышь, крыса |
| Источник (хозяин) | кролик |
| Изотип | IgG |
| Клональность | моноклональное |
| Рекомбинантное | да |
| Готовое к использованию | нет |
| Концентрация | 1 мг/мл |
| Конъюгат | По запросу: HRP, biotin, Cy3, Cy5, APC, AF488, AF594, AF405 |
| Валидировано для | FCM IHC WB IF ICC Проточная цитометрия; Иммуногистохимия; Вестерн-блоттинг; Иммунофлуоресценция; Иммуноцитохимия |
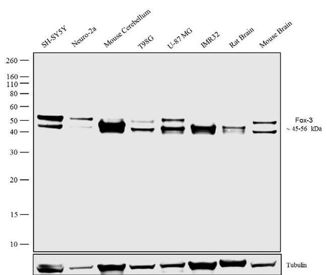
| Рекомендуемые разведения | WB 1:500~1:2000; IHC 1:50~1:200; IF/ICC 1:50~1:200; FCM 1:50 |
| Метод очистки | Антигенспецифическая аффинная хроматография |
| Состав буфера | 50 нмоль Tris-Glycine(pH 7.4); 0.15M NaCl; 40% глицерин; 0.01% азид натрия и 0.05% БСА |
| Условия доставки | термобокс с аккумуляторами холода |
| Условия хранения | Сразу после получения аликвотировать и хранить при -20ºС до 12 месяцев с момента получения. Избегать повторения циклов замерзания/оттаивания |
| Срок хранения | 12 месяцев |
| Производитель | AssayVector |
|
Артикул
|
Наименование |
Производитель
|
|---|
|
Артикул
|
Наименование |
Производитель
|
|---|
|
Артикул
|
Наименование |
Производитель
|
|---|
|
Артикул
|
Наименование |
Производитель
|
|---|
|
Артикул
|
Наименование |
Производитель
|
|---|
Акции и предложения
Популярные продукты:
Guinea Pig G protein coupled receptor 39(GPR39) ELISA kit (E05G0438)
Организм: морская свинка
Chicken Acetylcholine Receptor ELISA kit (E12A0126)
Организм: курица
Guinea Pig Galectin 9 ELISA kit (E05G0073)
Организм: морская свинка
Recombinant Human SERPINB1 Protein, N-His (YHD91001)
Источник (хозяин): E.coli
Организм: человек
Фрагмент: Leu13-Leu252
Теги: N-His
Биоактивность: нет
Организм: человек
Фрагмент: Leu13-Leu252
Теги: N-His
Биоактивность: нет
APC Anti-Human CD303/BDCA-2 Antibody[201A] (E-AB-F1162E)
Источник (хозяин): мышь
Реактивность подтвержденная: человек
Валидировано для: FCM
Реактивность подтвержденная: человек
Валидировано для: FCM
NeuN Recombinant Rabbit mAb (ARM1400)
Источник (хозяин): кролик
Реактивность подтвержденная: человек, мышь, крыса
Валидировано для: FCM, IHC, WB, IF, ICC
Реактивность подтвержденная: человек, мышь, крыса
Валидировано для: FCM, IHC, WB, IF, ICC

