| UNIPROT | P12036 |
| Иммуноген | Рекомбинантный белок human Neurofilament heavy polypeptide |
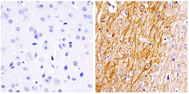
Neurofilament heavy polypeptide Recombinant Rabbit mAb (ARM1452)
Реактивность подтвержденная:
человек, мышь, крыса
Источник (хозяин):
кролик
Валидировано для:
IHC
WB
IF
ICC
Характеристики
Техническое описание
| Каталожный номер | ARM1452 |
| Название антигена | Neurofilament, Heavy Polypeptide (NEFH) |
| UNIPROT | P12036 |
| Иммуноген | Рекомбинантный белок human Neurofilament heavy polypeptide |
| Английские синонимы | NFH, 200 kDa neurofilament protein, Neurofilament triplet H protein |
Реактивность подтвержденная Нужна другая реактивность? |
человек, мышь, крыса |
| Источник (хозяин) | кролик |
| Изотип | IgG |
| Клональность | моноклональное |
| Рекомбинантное | да |
| Готовое к использованию | нет |
| Концентрация | 1 мг/мл |
| Конъюгат | По запросу: HRP, biotin, Cy3, Cy5, APC, AF488, AF594, AF405 |
| Валидировано для | IHC WB IF ICC Иммуногистохимия; Вестерн-блоттинг; Иммунофлуоресценция; Иммуноцитохимия |
| Рекомендуемые разведения | WB 1:500~1:2000; IHC 1:50~1:200; IF/ICC 1:50~1:200 |
| Метод очистки | Антигенспецифическая аффинная хроматография |
| Состав буфера | 50 нмоль Tris-Glycine(pH 7.4); 0.15M NaCl; 40% глицерин; 0.01% азид натрия и 0.05% БСА |
| Условия доставки | термобокс с аккумуляторами холода |
| Условия хранения | Сразу после получения аликвотировать и хранить при -20ºС до 12 месяцев с момента получения. Избегать повторения циклов замерзания/оттаивания |
| Срок хранения | 12 месяцев |
| Производитель | AssayVector |
|
Артикул
|
Наименование |
Производитель
|
|---|
|
Артикул
|
Наименование |
Производитель
|
|---|
|
Артикул
|
Наименование |
Производитель
|
|---|
|
Артикул
|
Наименование |
Производитель
|
|---|
Акции и предложения
Популярные продукты:
Sheep Phosphatidylinositol 3 kinase ELISA kit (E14P0185)
Организм: овца
Rat Bromodomain containing protein 2(BRD2) ELISA kit (E02B0834)
Организм: крыса
Rat Cutaneous T Cell Attracting Chemokine ELISA kit (E02C0595)
Организм: крыса
Canine Interleukin 23 ELISA kit (E08I0374)
Организм: собака

