| UNIPROT | Q00653 |
| Иммуноген | Рекомбинантный белок human NFkB p100 |
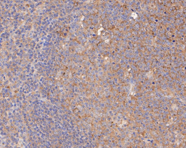
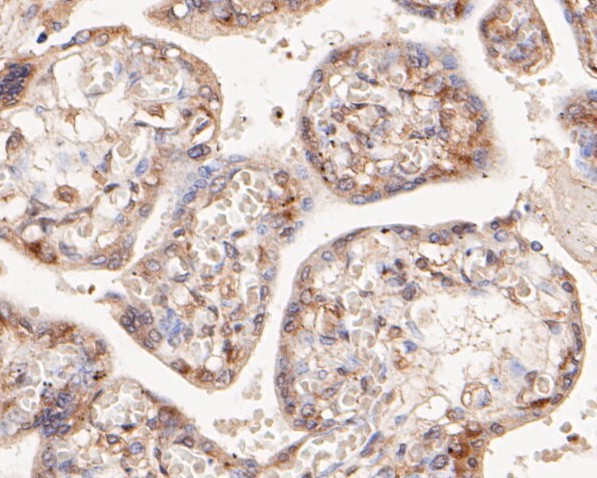
NF-KB p100 Recombinant Rabbit mAb (ARM2639)
Реактивность подтвержденная:
человек, мышь, крыса
Источник (хозяин):
кролик
Валидировано для:
IP
WB
IF
ICC
Характеристики
Техническое описание
| Каталожный номер | ARM2639 |
| Название антигена | Nuclear Factor Kappa B2 (NFkB2) |
| UNIPROT | Q00653 |
| Иммуноген | Рекомбинантный белок human NFkB p100 |
| Английские синонимы | LYT-10, H2TF1, Lymphocyte translocation chromosome 10, Nuclear Factor Of Kappa Light Polypeptide Gene Enhancer In B-Cells 2(p49/P100), Nuclear factor NF-kappa-B p52 |
Реактивность подтвержденная Нужна другая реактивность? |
человек, мышь, крыса |
| Источник (хозяин) | кролик |
| Изотип | IgG |
| Клональность | моноклональное |
| Рекомбинантное | да |
| Готовое к использованию | нет |
| Концентрация | 1 мг/мл |
| Конъюгат | По запросу: HRP, biotin, Cy3, Cy5, APC, AF488, AF594, AF405 |
| Валидировано для | IP WB IF ICC Иммунопреципитация; Вестерн-блоттинг; Иммунофлуоресценция; Иммуноцитохимия |
| Рекомендуемые разведения | WB 1:500~1:2000; IF/ICC 1:50~1:200; IP 1:50 |
| Метод очистки | Антигенспецифическая аффинная хроматография |
| Состав буфера | 50 нмоль Tris-Glycine(pH 7.4); 0.15M NaCl; 40% глицерин; 0.01% азид натрия и 0.05% БСА |
| Условия доставки | термобокс с аккумуляторами холода |
| Условия хранения | Сразу после получения аликвотировать и хранить при -20ºС до 12 месяцев с момента получения. Избегать повторения циклов замерзания/оттаивания |
| Срок хранения | 12 месяцев |
| Производитель | AssayVector |
|
Артикул
|
Наименование |
Производитель
|
|---|
|
Артикул
|
Наименование |
Производитель
|
|---|
|
Артикул
|
Наименование |
Производитель
|
|---|
|
Артикул
|
Наименование |
Производитель
|
|---|
|
Артикул
|
Наименование |
Производитель
|
|---|
Акции и предложения
Популярные продукты:
EGF Polyclonal Antibody (E-AB-66112)
Источник (хозяин): кролик
Реактивность подтвержденная: человек, мышь, крыса
Валидировано для: WB
Реактивность подтвержденная: человек, мышь, крыса
Валидировано для: WB
EGF Polyclonal Antibody (E-AB-60770)
Источник (хозяин): кролик
Реактивность подтвержденная: человек, мышь
Валидировано для: WB
Реактивность подтвержденная: человек, мышь
Валидировано для: WB
Recombinant Human Epidermal Growth Factor (HYC020M01)
Источник (хозяин): дрожжи
Организм: человек
Теги: без тегов
Биоактивность: да
Организм: человек
Теги: без тегов
Биоактивность: да

