| UNIPROT | P61916 |
| Иммуноген | Рекомбинантный белок human Niemann Pick C2 |
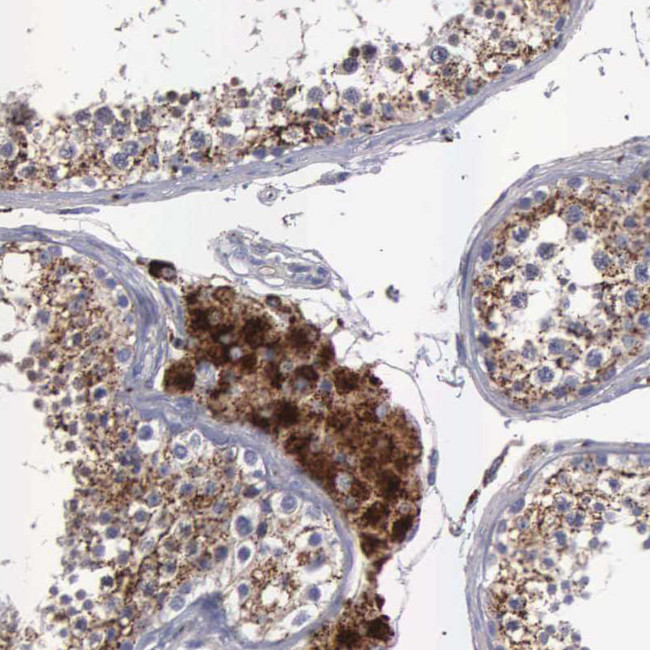
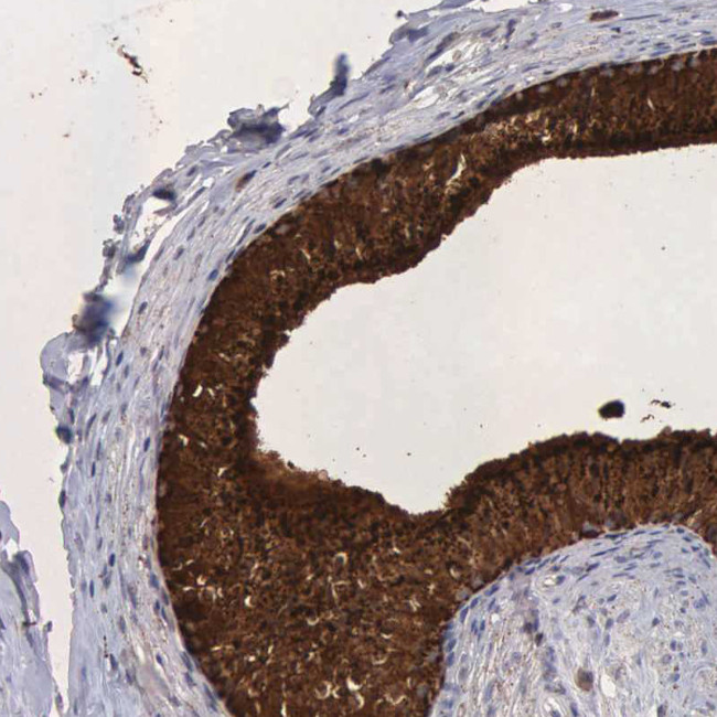
Niemann Pick C2 Recombinant Rabbit mAb (ARM1534)
Реактивность подтвержденная:
человек, мышь, крыса
Источник (хозяин):
кролик
Валидировано для:
IHC
WB
Характеристики
Техническое описание
| Каталожный номер | ARM1534 |
| Название антигена | Niemann Pick Disease Type C2 (NPC2) |
| UNIPROT | P61916 |
| Иммуноген | Рекомбинантный белок human Niemann Pick C2 |
| Английские синонимы | HE1, NP-C2, EDDM1, Epididymal Protein 1, Human epididymis-specific protein 1, Epididymal secretory protein E1 |
Реактивность подтвержденная Нужна другая реактивность? |
человек, мышь, крыса |
| Источник (хозяин) | кролик |
| Изотип | IgG |
| Клональность | моноклональное |
| Рекомбинантное | да |
| Готовое к использованию | нет |
| Концентрация | 1 мг/мл |
| Конъюгат | По запросу: HRP, biotin, Cy3, Cy5, APC, AF488, AF594, AF405 |
| Валидировано для | IHC WB Иммуногистохимия; Вестерн-блоттинг |
| Рекомендуемые разведения | WB 1:500~1:2000; IHC 1:50~1:200 |
| Метод очистки | Антигенспецифическая аффинная хроматография |
| Состав буфера | 50 нмоль Tris-Glycine(pH 7.4); 0.15M NaCl; 40% глицерин; 0.01% азид натрия и 0.05% БСА |
| Условия доставки | термобокс с аккумуляторами холода |
| Условия хранения | Сразу после получения аликвотировать и хранить при -20ºС до 12 месяцев с момента получения. Избегать повторения циклов замерзания/оттаивания |
| Срок хранения | 12 месяцев |
| Производитель | AssayVector |
|
Артикул
|
Наименование |
Производитель
|
|---|
|
Артикул
|
Наименование |
Производитель
|
|---|
|
Артикул
|
Наименование |
Производитель
|
|---|
Акции и предложения
Популярные продукты:
Sheep Testosterone, Free ELISA kit (E14T0561)
Организм: овца
Диапазон определения: 1-25 нг/мл
Чувствительность: 0.1 нг/мл
Диапазон определения: 1-25 нг/мл
Чувствительность: 0.1 нг/мл
Human Testosterone, Free ELISA kit (E01T0561)
Организм: человек
Диапазон определения: 25-500 пг/мл
Чувствительность: 1 пг/мл
Диапазон определения: 25-500 пг/мл
Чувствительность: 1 пг/мл
Mouse SET domain containing 1B ELISA kit (E03S0800)
Организм: мышь
Canine Proteoglycan 4 ELISA kit (E08P0163)
Организм: собака
Mouse Angiomotin like protein 2(AMOTL2) ELISA kit (E03A1427)
Организм: мышь
Sheep Caprin 2(CAPRIN2) ELISA kit (E14C1369)
Организм: овца

